안녕하세요~
서울바르디치과 대표원장 이주리입니다. ^^
치아가 흔들려서
충치가 심해서
1-2개 뽑는다고 일상생활에 큰 지장을 주는 것은 아닙니다.
그렇지만..?
고덕동 치과 발치 후 방치하면 치아 쓰러짐 발생해요
사진으로 직접 인체의 신비..?를 보여드리겠습니다 ㅎㅎ

고덕동 치과를 찾아와주신 한 여성 환자분입니다.
코로나때 치료 시기를 놓치고 몇년만에 고덕동 치과를 방문해주셨다 하셨어요
"안봐도 엉망일꺼에요"
제가 구강을 보기도 전부터 걱정을 해주셨는데요

240423
사진만 봐도 오랜만에 오신 것을
확인할 수가 있었습니다.
-
발치 자국이 안보인다.
-
치아 쓰러짐 관찰

231219
발치 자국은 이런 치아 뿌리가 있었던 흔적을 뜻합니다.
시간이 지나면서 뼈가 아물기 때문에
이런 흔적들은 사라지기 마련이에요~
저런 모양이 있으면
아! 발치하신지 얼마 안됐구나!
추측할 수가 있습니다.
치아 쓰러짐?
치아가 쓰러질 수 있나?
뼈에 고정되어 있잖아~ 라고 생각하실 수 있습니다.
그렇지만 작물도 묶어주지 않으면
옆으로 기울어지죠?
치아도 비슷해요

240423
옆에 붙어있던 치아가 없어지면
시간이 지나면서 옆으로 점점 기울어지거든요
빈 공간으로 눕는거죠
등받이가 없으니까요
치아 쓰러짐의 문제
치아가 정상 위치에서 기울거나 옆으로 이동하니 치열의 균형이 깨지겠죠??
치아가 쓰러지면 교합(물림)이 잘 맞지 않아 씹는 기능이 저하되며,
비정상적인 교합으로 인해 턱관절에 무리가 갈 수 있습니다.
두번째로 임플란트가 어려워질 수 있습니다.
공간이 부족해서요

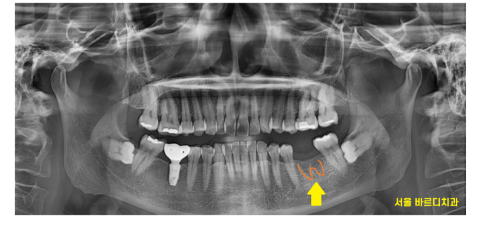
240423
문제는 육안으로 볼 때에는
티가 안납니다.
환자분은 그럭저럭 씹을 수도 있어서
문제가 없다 생각하시지만
x-ray를 찍어보면...

240423
이만큼 기울어져있답니다.
적당히 기울어졌으면 신경치료를 하고 치아를 깎는다거나
치아를 살려볼 수 있겠으나
이정도로 치아 쓰러짐 발생하면
뽑고 임플란트를 해야합니다..

240501
환자분도 고덕동 치과에서
치아 쓰러짐 치아 발치 후 임플란트 치료중이세요~
오늘 글 결론
치아가 쓰러지면 바로 임플란트 해라!
오늘은 바로 옆에 치아가 기울어진다는 얘기만 해드렸지만
대합되는 치아가 없으면
맞물리는게 없으니 반대편 치아는 혼자 키가 쑥쑥 자라요...
반대편 치아까지 망가질 수 있답니다.
(이 케이스도 준비해볼께요!!)
잇몸이 안좋으신 분들은
치아가 움직이는 속도가 더 빨라요!!1
치아 쓰러짐 발생하기 전에
얼른 병원 방문 하셔야겠죠~?
고덕동 치과에서 환자분들을 기다리고 있겠습니다.
감사합니다!!!
| 본 게시물은 의료광고 법 제56조 1항을 준수하여의료 정보 제공 및 병원 홍보 목적으로 서울 바르디 치과에서 직접 작성하였습니다.제공된 정보는 참고만 하실 것을 권유 드리며 증상 파악 및 정확한 관리 방법은 의료기관에 내원 후 의료진을 통해 안내받으시길 바랍니다.치과에서 진행되는 모든 시술 / 수술은 개인에 따라 (염증, 출혈, 부기 등) 가능성이 있습니다.사전에 의료진과 충분한 상담을 통해 결정하시길 바랍니다.게시물의 치료 사례는 실제 본원에서 치료를 마친 환자분들의 동의하에촬영되었으며 전, 후 사진은 동일 조건에서 촬영되었습니다. |
#고덕동치과 #치아쓰러짐