안녕하세요 ^^
서울바르디치과 이주리 대표원장입니다.
우리의 구강은 예민한 존재입니다.
입병이 나도 바로 알아차리고
잇몸에 여드름같은 물집이 나도 바로 알아차리는데요.
이 아이의 정체가 무엇인지
원인과 함께 해결 방법알려드릴께요~

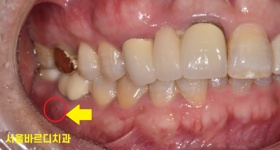
왼쪽 아래 잇몸 물집이 가끔 생겨요
아프진 않고요

230516
스켈링 하러 오셨다가
어디 불편하신 부분은 없으세요~? 여쭤보니
왼쪽 아래가 잇몸 물집이 한번씩 생긴다 하셨습니다.
아프지도 않고
냅두면 알아서 없어져요~
생겼다 없어졌다 한다는 것을 보니 만성이라는 것이고
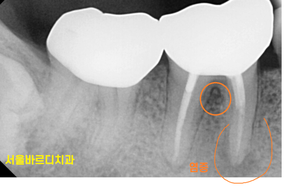
뿌리 끝에 무언가 있어 보였습니다.
처음에는 스케일링만 해달라고 하셨는데
이거 촉이 옵니다.
안좋은 무언가가 있을 것같은..
환자분께 말씀드려서 엑스레이를 찍어 보았어요.

230516
역시나 치아 뿌리 끝 염증으로
주변 뼈가 녹은게 관찰됩니다.
염증이 커지면 물혹처럼 잇몸이 부풀어오르셨네요.
그냥 잇몸 물집이 생겼을 리가 없습니다.
우리 몸은 어떻게든 계속해서 신호를 보내는데요~
원인
해당 치아도 신경치료를 했네요~
치아 신경 내부가 오염되거나
잇몸 주변 염증이 생겼거나
세균 감염 등으로
고름이 생깁니다.
문제점
고름이 곪으면 터져버리죠?
아프진 않지만
주변으로 염증이 확산됩니다.
주변 잇몸뼈를 자꾸 자꾸 녹여요ㅠㅠ
컨디션이 안좋으면 또 붓고 가라앉고 반복하면서
상태를 계속 악화시키죠

230516
잇몸 물집이라 표현하신 부분이에요~
하얗게 보이기도 하여
헐어보이기도 하지만
2번 이상 같은 증상이 반복되셨다면
강일역 치과를 내원하셔야해요.
원인이 해결되지 않으니까 재발되는 것인데
주변 치아들도 위험하게 만드는
시한폭탄같은 존재거든요ㅠㅠ
신경치료까지 다 되어있는 상태라
뽑고 임플란트 하는 것이 최선의 방법이었습니다.
주변 뼈도 다 녹아있어서
뽑고 염증을 긁어주지 않으면 해결 방법이 없었거든요.
5월달에 오셨을때에는 아프진 않아서
지켜보고 싶다고 말씀하셨습니다.
생각하지도 못했는데 발치를 해야한다 들으셨으니
많이 당황하셨을꺼같아요
원인이 해결되지 않으면
같은 증상이 또 다시 반복될 것이다.
의료진으로 의견을 전달해드렸습니다.
우선 급한불만 끄고..
(고름을 빼줬어요!)
치료를 했는데도 또 부으면
그땐 진짜 뽑으셔야한다 약속을 했습니다.


231004
6개월이 되지 않아
뽑을 때가 된 것 같다면서 강일역 치과를 방문해주셨습니다.
이미 뽑아야하는 상황임을 5개월 전에 인지를 하셔서
잇몸 물집이 재발 되었을 때 뽑으러 와주셨어요.
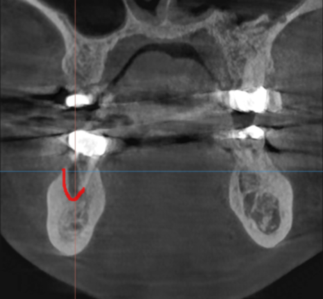
ct를 찍어 얼마나 잇몸뼈가 녹았는지
상태를 보았는데요.
하얗게 차 있어야할 부위가
까맣네요.

231004
염증 지독한 것이
뿌리 모양까지 변화시켰네요.
이전 사진에 비하여 약간 짧아진 게
뿌리까지 흡수되었습니다.
해결방법

231004
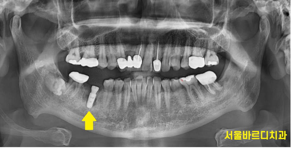
문제의 치아는 발치 후
염증을 깨끗하게 제거해주었습니다.
임플란트 식립 한 시간보다
염증 제거한 시간이 길 정도로
최대한 고름을 긁어내고
깨끗하게 만들어주었습니다.
염증이 남아있으면 임플란트에도 좋지 않기 때문이죠~
뼈와 잘 붙지 않고
문제를 일으킬 수 있어요

240208
염증이 있던 부위라
임플란트 골유착이 잘될 때까지 충분히 기다려주었습니다.
ct 상에서 임플란트 주변으로 잇몸뼈가 잘 찬 것을 확인후
머리를 만들어 주었어요
오늘의 글
잇몸 물집의 원인, 문제점, 해결방법
3가지를 안내해드렸습니다.
| 비슷한 케이스 보러가기 |
잇몸 물집, 뾰루지, 여드름 등등
부풀어 오르고 터지면서 짭짤한 맛이 나고
한번이 아니라 두번 이상 재발되었다면
병원에 오셔서 원인 해결을 하시길 바랍니다.
다른 치아를 살리기 위해서라도...
| 예약 전화하러 가기 |
|---|
| 02-481-4278 |
강일역 치과에서 기다리고 있겠습니다.
염증이 심하면 치료 후 붓기와 통증이 오래갈 수 있어요.
무엇이든 초기에 치료해야
예후가 제일 좋습니다.
오래 냅두지 말아요 우리
| 본 게시물은 의료광고 법 제56조 1항을 준수하여의료 정보 제공 및 병원 홍보 목적으로 서울 바르디 치과에서 직접 작성하였습니다.제공된 정보는 참고만 하실 것을 권유 드리며 증상 파악 및 정확한 관리 방법은 의료기관에 내원 후 의료진을 통해 안내받으시길 바랍니다.치과에서 진행되는 모든 시술 / 수술은 개인에 따라 (염증, 출혈, 부기 등) 가능성이 있습니다.사전에 의료진과 충분한 상담을 통해 결정하시길 바랍니다.게시물의 치료 사례는 실제 본원에서 치료를 마친 환자분들의 동의하에촬영되었으며 전, 후 사진은 동일 조건에서 촬영되었습니다. |
#강일역치과