안녕하세요~
서울바르디치과 이주리 대표원장입니다 ㅎㅎㅎ
지난 시간 치아를 방치하고 그대로 두면
옆으로 쓰러질 수 있는 케이스를 보여드렸는데요.
오늘은 맞닿는 치아가 없었을 때
위 아래로도 움직일 수 있는 부분을 언급해드리려고 합니다.
하남 미사 치과 치아 방치하다 올라옴 케이스 보여드립니다.
케이스로 살펴보는 쉽게 공부하기
3분만 집중해주세요!!

https://blog.naver.com/implant_master/223638168924
지난 시간 발치 후 방치하게 되면
치아가 옆으로 팍팍 쓰러진다고 말씀 드렸는데요~
이번에는 위 아래로 변화 케이스입니다.

240329
하남 미사 치과에
윗니 치아가 1개 빠져서 내원하신 환자분
이가 빠지고 나서 바로 치료를 하면
움직임이 없지만
사정에 따라 뒤늦게 치료를 해야할 때가 있습니다.

240329
치아는 1개씩 서로 맞물리는 짝궁이 있는데
어느 한쪽이 빠져버리면
맞닿이는 치아가 없겠죠~?
그러다 보면 맞닿이던 방향으로
치아가 움직이게 됩니다.
이런 현상을 "치아 정출"이라 말합니다.
참 신기하죠~?
턱뼈에 고정되어있는 것처럼 보이는 치아들인데..
치아 올라옴 원인
치아는 예전 상태로 돌아가려는 움직임을 가지고 있습니다.
반대편 치아가 빠져버렸으니
혼자 남게된 치아는 이때다!! 싶은거죠
맞물리는게 있다가 없어지니
혼자 자유롭게 움직일 수 있고
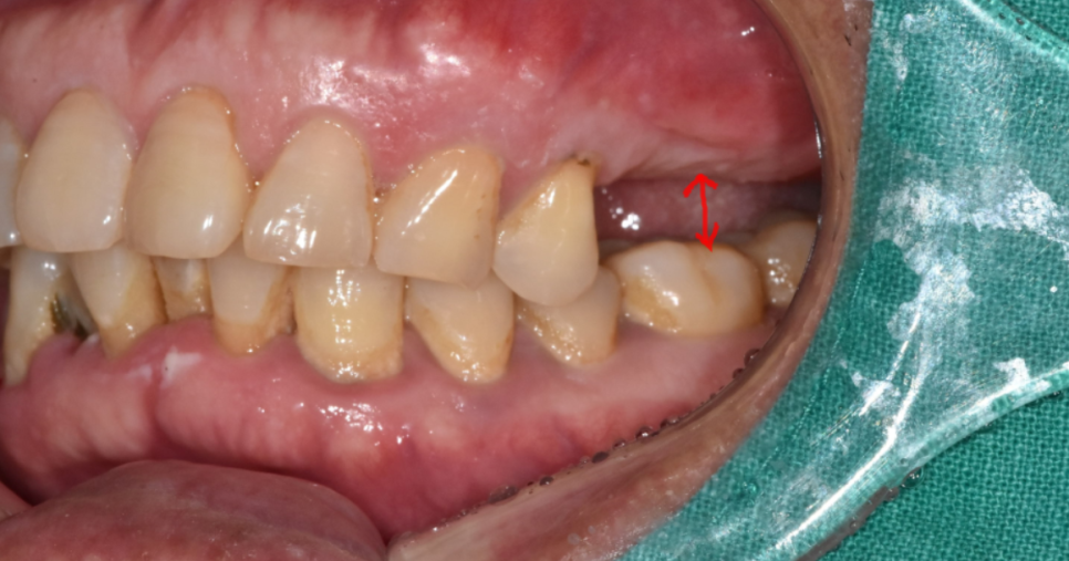
오늘 환자분처럼 위에 치아가 없는 경우 치아 올라옴
아래 치아가 없는 경우 위에 치아 내려감 현상이 생겨요.
문제점

240329
이러한 치아 올라옴과 치아 내려감의 문제가 무엇이냐
음식물이 낄 수 있다는 단점이 생깁니다.
끼는 것 자체로도 굉장히 불편하지만..

240329
끼고 나서 음식물 제거가 잘 안되면
붙어있는 옆에 치아가 썩게 됩니다.
충치가 생긴다는 말이죠~
두번째 문제점은 나중에 임플란트를 하게 되었을 때
높이가 나오지 않게 될 수 있습니다.
무슨 말이냐하면..

231019
반대편 치아 올라옴으로 앙 물었을 때
높이가 안나오는거죠~
이렇게 되면 임플란트를 해도
보철 머리 길이가 짧아지거나
반대편 치아를 신경치료 후
보철을 할 때 치아를 깎아 높이를 맞춰주거나...
해야합니다.
결론
치아를 뽑고 방치하면 위아래로 옆으로 움직인다.
턱 뼈에 고정되어 있는 것처럼 보여도
치주 인대에 의하여 움직인다.

특히나 잇몸이 안좋으신 분들은
움직임이 빠르기 때문에 빠른 시간안에 치료를 해주셔야합니다.

임시 틀니를 해주는 것도 하나의 방법!
당장 치료할 수 없다면
치아가 움직이지 않게 와이어 등으로 고정하거나
임시틀니를 해주는 것도 방법인데요
하남 미사 치과에 오셔서
어떤게 치아 손상을 최소화하면서
지킬 수 있는지 상담해드릴께요~
치료가 빠지고 방치하지 말아야하는 이유는
다른 치아를 보호하기 위해서입니다.
다른 치아에 문제가 생기지 않게
바로바로 해결해주는거죠~

병원 전체 리모델링 이후 환자분들이 많이 찾아와주고 계십니다.
저 보고 싶으시다고 그냥 오시게 되면
아주 오래 기다리실 수 있어요..
| 하남 미사 치과 예약 전화하러 가기 |
|---|
| 02-481-4278 |
예약을 해주시면 붐비지 않는 시간
기다리지 않고 바로 진료보실 수 있도록
도와드릴테니 오시기 전 전화 한통 부탁드리겠습니다!!
감사해요~!
| 본 게시물은 의료광고 법 제56조 1항을 준수하여의료 정보 제공 및 병원 홍보 목적으로 서울 바르디 치과에서 직접 작성하였습니다.제공된 정보는 참고만 하실 것을 권유 드리며 증상 파악 및 정확한 관리 방법은 의료기관에 내원 후 의료진을 통해 안내받으시길 바랍니다.치과에서 진행되는 모든 시술 / 수술은 개인에 따라 (염증, 출혈, 부기 등) 가능성이 있습니다.사전에 의료진과 충분한 상담을 통해 결정하시길 바랍니다.게시물의 치료 사례는 실제 본원에서 치료를 마친 환자분들의 동의하에촬영되었으며 전, 후 사진은 동일 조건에서 촬영되었습니다. |
#하남미사치과 #치아올라옴