안녕하세요
체계적인 진단, 정직한 진료를 시행하는
서울바르디치과 대표원장 장태현입니다!!
치과는 과잉진료가 심해~~
아직도 이렇게 생각하시고 계신가요?
환자분들의 편견을 확! 깨부수기 위해
천호동 치과 과잉 진료를 피하는 방법 대공개합니다.

치료할 것이 있다고 무작정 치료하지 마세요!!
최소한 3가지 조건에 부합하는지
따져보고 치료하세요.
첫 번째, 과잉진료를 피하는 방법

첫 번째, x-ray를 촬영한다.
x-ray 꼭 찍어야 해요?
과잉 같은데..
많은 환자분들께서 x-ray를 찍는 것에 대하여
거부감을 가지시는 환자분들이 많은데요.
방사선이 유해하다는 말 때문에 꺼려지기도 하고
지금 불편한 게 없는데...
꼭 찍어야 하나? 싶은 마음이 드실 겁니다.
치과 엑스레이 꼭 찍어야하나요? 암사역 치과에.. : 네이버블로그
많은 분들이 우려해주시는 방사능
치과 엑스레이 안전하다는 위에 글에 자세히 설명해두었으니
읽어봐주시면 감사하겠습니다.
다시 본론으로 돌아와서...
천호동 치과에서 x-ray를 찍어야 한다고
말씀드리는 이유

230120
1차적으로 육안 검사를 시행하긴 하지만
눈으로 볼 수 없는 부분이 있습니다.
뿌리 쪽 부분이죠~

만성 염증
그러니까 치아가 오랫동안 염증으로
안 좋은 경우에는
잇몸뼈가 녹고 뿌리 끝에 염증이 있더라도
안 아프신 경우가 많습니다.
만성이니까요.
눈으로만 검사해서는 놓칠 수 있는 부위가 있기에
x-ray를 촬영하는 거랍니다~!

이것은 파노라마라고 하는
잇몸과 치아 전반적으로 볼 수 있는 사진인데요.
약 8,000원 정도 나오니까
최소 파노라마는 찍고 진료 보시는 것을
추천드립니다.
찍고 안찍고 검사하는데 큰 차이가 있거든요~
파노라마에서 1차 판별해 보니
의심되는 부분이 있다!!
그러면 추가 검사가 들어가게 됩니다.

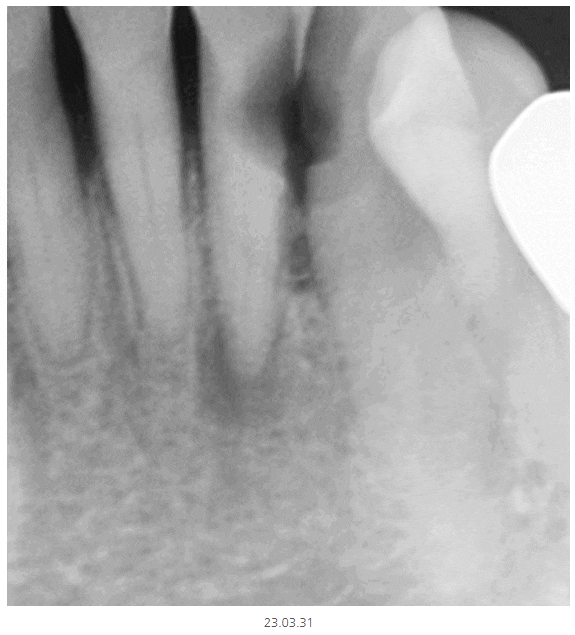
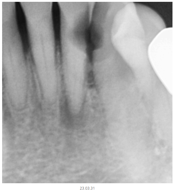
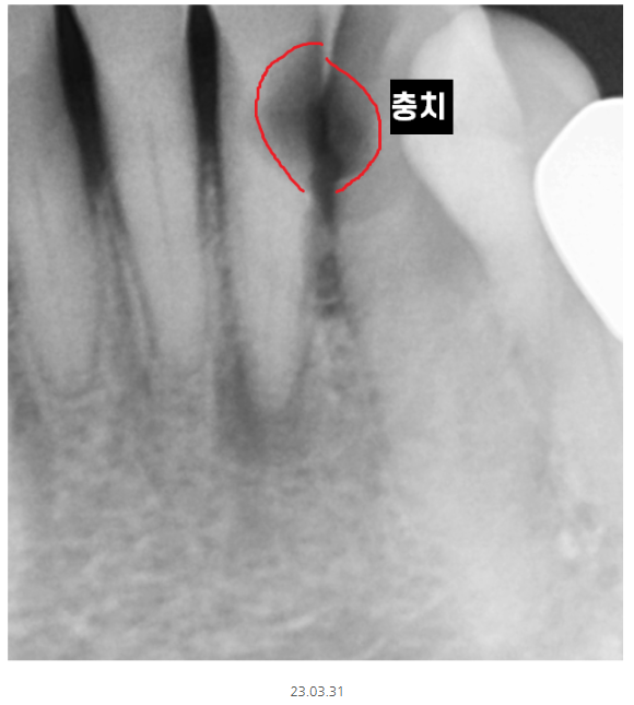
이럴 때 선택적으로 작은 x-ray를 촬영합니다.

부분적으로 확대하여 촬영하기 때문에
더 자세히 볼 수 있습니다.

정상적인 치아는 하얗게 속이 보이지만
충치가 파먹은 부분은
까맣게 나타나거든요~
텅~ 속이 비어있기 때문이죠.
두 번째, 구강 사진 촬영 여부 확인하기
여기에 치료 전후 설명이 자세한지
확인해 볼 수 있는 두번째 요소.
2️⃣두 번째, 구내 사진을 촬영하는지 보기
천호동 치과에서는 환자분들이 처음 오시면
꼭 지키는 원칙이 있습니다.


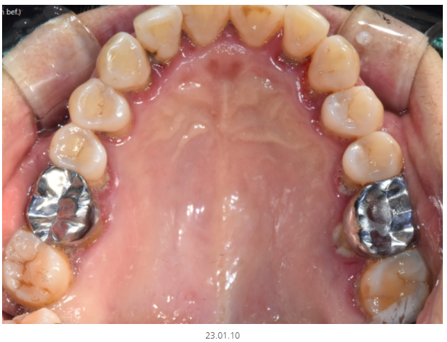
처음 상태를 그대로 카메라로 촬영합니다.
치아가 물리는 교합도 확인하는데요.
환자 1분당 최소 10분씩 걸리는 과정입니다.
엑스레이만으로도 진단이 가능하지만
그럼에도 시간투자를 하여 전체 사진을 찍어두는 이유
1️⃣확실하게 치료 전, 후 비교가 가능하다.
2️⃣환자분께 눈으로 확인시켜드릴 수 있다.
환자분들께 이해시켜드리기에는
눈으로 직접 보여드리는 수밖에 없더라고요~

처음과 치료 후 사진 말고도
천호동 치과는 치료 중간에도 사진을 남겨둡니다.
해당 환자분은 보철을 벗겼더니
충치가 있는 것을 찍어둔 사진입니다.
치아 상태가 이래서 치료를 할 수 밖에 없었다
최대한 자세히 설명드리고 싶거든요~
세 번째, 정기검진으로 지켜보는 병원
세 번째, 초기 충치는 정기검진하면서
지켜보라는 병원
점으로 되어있는 미세한 충치는
관리만 잘해도 멈춘답니다!
https://blog.naver.com/implant_master/223597861950
이전에도 한번 언급을 했었는데요
이럴 경우 3개월 6개월 주기로 정기검진을 하면서
충치가 커지면 치료하자~
지켜보자고 하는 병원을 찾으면 좋습니다.
또한 치료할 치아가 있을 때
자세한 설명과 대안을 얘기해주는지 확인하세요!!
무엇이 문제인지?
어떻게 치료해야 하는지?
치료를 안 했을 때 어떻게 되는지?
설명을 충분히 듣고
환자분 스스로 납득이 되셨을 때 결정하세요.
▼과잉 진료를 피하는 3가지 방법 요약▼
1️⃣x-ray 사진을 찍으세요
2️⃣구내 사진을 촬영하는 병원
3️⃣설명이 자세하고
초기 충치는 지켜보라고 하는 병원
서울 바르디 치과는 3가지 모두 시행하고 있습니다.
시간이 걸리더라도 진단은 꼼꼼하게
절대 대충 하지 않습니다.
첫 단추가 틀려지면
마지막 단추는 끼울 수 없듯
치료 결과가 달라지기 때문입니다.
진료시간
월~ 금 10:00 ~ 19:00
토요일 09:30 ~ 13:00
점심시간 13:00 ~ 14:00
진료시간 내에 최선을 다하기 위해
예약제를 시행하고 있습니다.
▼진료 예약▼
☎02-481-4278
오시기 전 꼭! 연락하시고 와주시면
감사하겠습니다.
대표원장 장태현이었습니다.
| 본 게시물은 의료광고 법 제56조 1항을 준수하여의료 정보 제공 및 병원 홍보 목적으로 서울 바르디 치과에서 직접 작성하였습니다.제공된 정보는 참고만 하실 것을 권유 드리며 증상 파악 및 정확한 관리 방법은 의료기관에 내원 후 의료진을 통해 안내받으시길 바랍니다.치과에서 진행되는 모든 시술 / 수술은 개인에 따라 (염증, 출혈, 부기 등) 가능성이 있습니다.사전에 의료진과 충분한 상담을 통해 결정하시길 바랍니다.게시물의 치료 사례는 실제 본원에서 치료를 마친 환자분들의 동의하에촬영되었으며 전, 후 사진은 동일 조건에서 촬영되었습니다. |
#천호동치과