안녕하세요
디지털 장비를 활용한 정확한 진료를 시행하는
서울바르디치과 대표원장 장태현입니다!
저희 아버지가.. 70대신데
이전에 치료받은 치아를 불편해하세요
어느날 보호자분께 전화 한통을 받았습니다.
예약 날짜를 잡아드리고 환자분을 뵙게되었죠.
이전에 타원에서 치료받았던 치아들이 불편해 하셨습니다.
불편한데 나이가 많아서 주저하셨다고ㅠㅠㅠㅠㅠ
오늘은 미사 임플란트 70대 연령과 상관없는
치료 과정에 대한 이야기입니다.

처음 내원 시 사진입니다.
전반적으로 풍치가 진행되셨네요~
풍치
바람만 불어도 치아가 흔들린다는 뜻입니다.
그만큼 전반적으로 잇몸뼈가 내려가
흔들리는 것으로 안좋다는 것입니다.
여기 저기 안좋기 때문에
어디가 제일 불편하신가 여쭤보았습니다.
왼쪽 위가 불편하신 게 가장 크다고 하셨는데요.

좀 특이한 모양이죠~?
맨 끝 치아가 머리만 둥둥 떠있네요.
예전에 많이 쓰이던 치료법으로
캔틸레버 브릿지라 불립니다.
한쪽만 지지된 채로 다른 끝은 공중에 떠있는 형태를 뜻해요.

이러다 보니 허공에 떠 있는 치아의 힘까지
앞쪽 치아가 받게 되어서
무리를 주게 됩니다.
오랜 시간 이런 힘이 축적이 되면
멀쩡했던 앞쪽 치아들까지 상하게 되는데요.
▼상한 치아 확인하기▼

힘이 누적해서 가해져서
잇몸 속의 뼈와 치아의 뿌리도 계속해서 손상되게 되는데요.
그래서 사진을 보시면 앞쪽 치아 뿌리가 드러났죠~?
잇몸뼈가 내려가서 그런건데
바로 손상되었다는 증겁니다!!!
그래서 요즘은 거의 안 하는 추세에요~
음식물이 자꾸 들어가서 미치겠어요
환자분의 말씀
노인 환자분들이 제일 힘들어하시는 것은
치아 사이사이 음식물이 끼는 것입니다.
뭐만 드시면 음식물이 푹푹 끼셨을겁니다.
음식물 끼는 고통에서 해방드리려면
발치 후 미사 임플란트 방법을 추천 드렸습니다.
치아가 흔들리기도 흔들리고
잇몸뼈도 많이 녹은 상태라 ...

미사 임플란트를 위해 ct 촬영을 시행하였습니다.
x-ray 상에서 까맣게 보이는 부분이
뼈가 녹은 부분입니다.
70대 연령이신 점
고혈압약과 당뇨약을 드시고 계셔서
유독 신경을 많이 쓴 환자분입니다.
최대한 자세히 주의사항을 알려드리고
깨끗한 환경에서 시술을 진행하였습니다.

미사 임플란트 전 뼈이식만 했을 때의 사진입니다.
잇몸 뼈가 많이 녹은 상태라
발치를 하면서 뼈이식이 동시에 진행되었습니다.
아래 글에 잘 설명되어있으니
참고해주세요!!
https://blog.naver.com/implant_master/223546942941
일반적으로는 임플란트와 함께 뼈 이식을 하지만
많은 양이 필요할 때,
잇몸 뼈가 너무 없는 경우 뼈이식만 먼저 하는데요.
뼈가 어느정도 만들어지고 나서
임플란트를 심게됩니다.

그래도 부족한 뼈는 임플란트 수술을 하면서
추가 이식을 하는데
2차 뼈이식과 임플란트 식립한 사진입니다.
5월에 발치 후 2개월 뒤 뼈가 만들어졌을 때
수술을 진행하였습니다.
그리고나서 3개월 뒤
임플란트가 뼈와 잘 붙었음을 확인

임플란트와 머리를 연결하는 중간 기둥을 디자인하였습니다.
상악
그러니까 윗니 어금니 수술 시
평균적으로 3-4개월 정도 기다리는데요.
발치와 동시에 뼈 이식을 해둔 덕분에
3개월 만에 머리를 만들어 드릴 수 있었습니다

기둥을 디자인했으면
보철도 만들어야겠죠~?
바르디지털치과인만큼 모든 것을
디지털로 제작합니다!

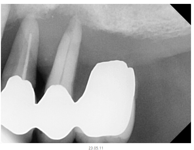
완성 후 사진입니다.
70대 고령이시고
전신질환이 있어서 환자분이 걱정을 많이 하셨지만
무사히 끝냈습니다.
결론
임플란트는 연령과 무관합니다.
평균수명이 크게 늘어
100세 시대를 달려가고 있습니다.
언제까지 이제 곧 죽을 건데
그냥 살 거야!! 하실 건가요~?
치아가 없으면 소화 능력이 떨어지는 만큼
전신 건강에 영향을 끼칠 수 있습니다.
이가 불편한데 나이 때문에 참지 마세요~!
▼치과 위치 확인▼
서울바르디치과는 5호선 상일동역에 위치합니다.
진료시간
월~금 10:00 ~ 19:00
토요일 09:30 ~ 13:00
점심 13:00 ~ 14:00
▼진료 예약▼
☎02-481-4278
혼자 걱정하지 마시고
전화 주시면 친절히 상담해 드리겠습니다.
| 본 게시물은 의료광고 법 제56조 1항을 준수하여의료 정보 제공 및 병원 홍보 목적으로 서울 바르디 치과에서 직접 작성하였습니다.제공된 정보는 참고만 하실 것을 권유 드리며 증상 파악 및 정확한 관리 방법은 의료기관에 내원 후 의료진을 통해 안내받으시길 바랍니다.치과에서 진행되는 모든 시술 / 수술은 개인에 따라 (염증, 출혈, 부기 등) 가능성이 있습니다.사전에 의료진과 충분한 상담을 통해 결정하시길 바랍니다.게시물의 치료 사례는 실제 본원에서 치료를 마친 환자분들의 동의하에촬영되었으며 전, 후 사진은 동일 조건에서 촬영되었습니다. |
#미사임플란트 #70대임플란트