안녕하세요!
서울바르디치과 장태현 원장입니다.
치아가 빠졌을 때 90% 이상 임플란트로 대체 치료를 진행하고 있습니다.
그렇지만..?
수술에대한 부담감
비용으로 인하여
나이가 많아서
약 먹는게 많아서
다양한 이유로 임플란트를 꺼리게 되는데요.
길동 치과 임플란트 수술 대안은 없을까요????
왜 없겠습니까~
그럼에도 불구하고
임플란트를 추천하는 이유에 대해 작성해보겠습니다.

임플란트가 없었을 때에는? 대안
"브릿지 치료"
임플란트가 개발되기 전에는 치아 상실 대안으로
브릿지가 있었습니다.

240508
브릿지 bridge
다리라는 뜻인데요.
치아가 빠진 양 옆 치아를 이용하여
결손 부위를 메우는 방법입니다.
짧은 시간내에 치료가 완료되고
(1-2주 이내)
치아가 빠져 흉한 것도 가려주니
예전에는 많이 사용되었습니다.
초기에 임플란트 비용이 워낙 비싸기도 했고요

240508
그렇지만 임플란트 대안 브릿지 치료는
치아를 깎아야합니다.
쌩니를 깎아야하는거죠.
양 옆의 건강한 치아를 상당히 갈아내야고...
1개 치아라도 문제가 생기면
브릿지 전체를 통으로 제거해합니다.
이러한 치명적인 문제 때문에
길동 치과에서는 치아 상실 환자분
90% 이상이 임플란트 치료로 진행합니다.
임플란트 치료는?
임플란트는 인공 뿌리를 턱뼈에 심어 자연 치아와 비슷한 기능을 수행하는 방식입니다.

.240508
주위의 건강한 치아를 건드리지 않고 결손 부위만을 복구할 수 있죠
이게 제일 큰 장점입니다.
임플란트 대안 브릿지 치료보다는 치료기간이 길지만
장기적인 관점에서는 안정적인 해결책이 될 수 있거든요~~
자연 치아에 준하는 씹는 힘도 제공하고요.
예전에는 임플란트 1개 가격이 워낙 비쌌지만
요즘은 브릿지와 비교하였을 때
더 저렴한 경우도 많습니다.
이러니 길동 치과에서는 임플란트가
치아 상실의 가장 이상적인 대안으로 추천드리고 있죠
그렇지만 ..?
브릿지가 더 추천되는 경우는..?

240417
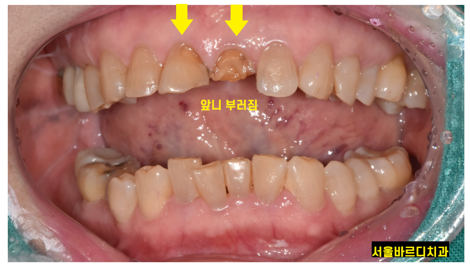
앞니 치료는 심미적인 이유로 브릿지를 추천하기도 합니다.
앞니 뼈가 얇아 고난이도 수술 부위이기도 하고
시간이 지나 앞니 뼈가 꺼지면 안예쁜 경우가 있거든요~
그리고 앞니 상실을 몇달간 겪기에는
일상 생활이 힘들어지기에ㅠㅠ

240408
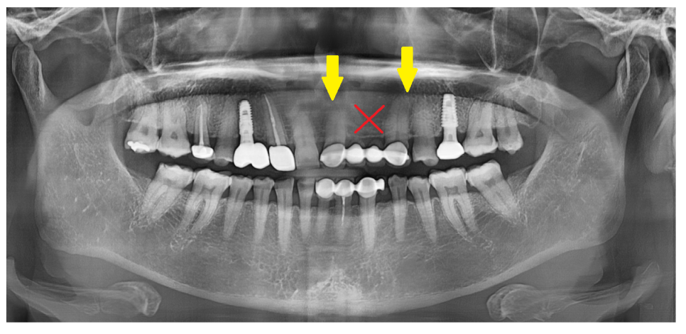
그리고 치아가 상실된지 오래되어
치아가 쓰러져 자리가 부족할 때
임플란트 수술 대안으로 브릿지를 합니다.
위에 환자분도 치아가 빠진지 워낙 오래되어
저 좁은 공간에 치아 3개가 들어가야했습니다.

240408
임플란트는 뼈에 심는건데
공간이 안나오면 브릿지로 대체하죠~
마지막으로 골다공증 약을 오래 드셔서
수술이 불가하거나
당 조절이 안되거나..
전신질환이 심할 경우에도 임플란트 대안으로 브릿지를 진행합니다.
브릿지는 어쨌든 수술은 아니라
부담이 확! 줄어들거든요
결론
임플란트 수술 대안 브릿지가 있다.
그렇지만 주변 치아를 깎아야하고
가격적으로도 메리트가 없어서 요즘은 거의... 안한다.
브릿지 치료가 유리할 때도 있어서
병원 상담은 필수다.
환자분 전신질환 상태, 구강 환경에 따라
최적의 치료법은 달라지기 마련입니다.
병원에 오셔서 전문가와 상의해보시길 바랍니다!!
| 예약 전화하러 가기 |
|---|
| 02-481-4278 |
상담은 최소 30분 이상 걸리기에
오시기 전 예약 부탁드릴께요~!!
▼길동 치과 위치 확인▼
.
| 본 게시물은 의료광고 법 제56조 1항을 준수하여의료 정보 제공 및 병원 홍보 목적으로 서울 바르디 치과에서 직접 작성하였습니다.제공된 정보는 참고만 하실 것을 권유 드리며 증상 파악 및 정확한 관리 방법은 의료기관에 내원 후 의료진을 통해 안내받으시길 바랍니다.치과에서 진행되는 모든 시술 / 수술은 개인에 따라 (염증, 출혈, 부기 등) 가능성이 있습니다.사전에 의료진과 충분한 상담을 통해 결정하시길 바랍니다.게시물의 치료 사례는 실제 본원에서 치료를 마친 환자분들의 동의하에촬영되었으며 전, 후 사진은 동일 조건에서 촬영되었습니다. |
#길동치과 #임플란트대안