안녕하세요!
서울바르디치과 장태현 원장입니다.
무엇이든 처음 시작이 중요합니다.
첫 단추를 잘 끼워야 마지막 단추를 잘 끼우듯 말이죠.
생애 첫 임플란트 수술을 앞두고
제 글을 검색해보셨을텐데요.
감일동 치과 첫번째 임플란트 시작이 중요합니다.
3분만 집중해 주세요.

이가 안 좋아서 뽑아야 할 거 같은데..
첫번째 임플란트에요.
잘한다고 해서 왔어요
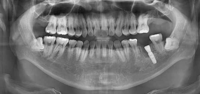
23년 11월 4일 환자분을 처음 보았습니다.
어디가 불편하신지 파악하기 위해
x-ray 사진을 한 장 찍었습니다.

231104
2개 부위가 문제가 보이네요
두개 다 왼쪽 부위가 문제가 있었는데요.

231104
제일 먼저 첫번째 부위
왼쪽 위 치아입니다.
맨 끝 어금니인데
육안으로 보아도 머리 부분이
거의 남아있지 않았습니다.
부러져버렸네요~
(침때문에 가려진게 아쉽습니다ㅠㅠ)
부러졌지만
1%라도 살릴 가능성이 있을지
작은 x-ray를 촬영하여 정밀검사를 해보았습니다.
감일동 치과는 자연치아를 살리는 것을
최우선으로 생각하니까요

231104
혹시나 했지만 역시나..
신경치료까지 다 되어있는 상태네요~
잇몸 뼈 위로 머리가 일부분이라도 올라와 있으면 살려볼 수 있는데...
잇몸 뼈 안쪽까지 부러져서
살릴 수 없겠네요.
발치 후 임플란트가 필요했습니다.

231104
두 번째 부위
왼쪽 아래입니다.
신경치료도 되어있고
뿌리 끝에 염증도 있네요..
환자분께서는 아프진 않지만
불편하다고 해주셨어요
물집처럼 뭐가 한번씩 올라오기도 하고
치아도 흔들린다고요.
단순 염증만 있으면 재신경치료로
살려볼 수 있겠지만

231104
치근 분지 부위
그러니까 치아 뿌리가 나눠지는 부분이
그 부위가 까맣죠..?
뼈가 녹아서 까맣게 보입니다.
문제는 이 가운데 부분은
치료하기가 어렵습니다.
갈라져있어서 어떤 기구를 사용해도
염증 제거가 잘 안되는데요.
이대로 그냥 쓰시는 것은
뼈를 계속 녹일 수 있고
앞 뒤 치아로 염증이 퍼질 수 있어서
발치 필요함을 상담해드렸습니다.
위 아래 한개씩
임플란트 치료가 필요했는데..
위에 어금니는 당장 불편한게 없어서
아래 치아부터 임플란트를 시작하고 싶다 하셨습니다.
환자분은 임플란트를 한번도 안해보셨습니다.
처음이라 위아래 동시에 하기에는
두려우실 수 있죠~
첫번째 임플란트셨기 때문에
임플란트가 무엇인지?
소요 기간, 치료 방식 , 부작용 등등
자세하게 설명드렸는데요.
감일동 치과에서는 3가지 기준으로
임플란트 수술을 진행했습니다.
https://blog.naver.com/implant_master/223631776451

240125
임플란트 수술 후 사진입니다.
왼쪽 위 어금니
왼쪽 아래 치아 모두 발치 후 임플란트가 필요했지만
왼쪽 위 문제가 있는 치아를 발치만 진행
아래부터 수술하고
위에를 진행하기로 하였습니다.

240125
왼쪽 아래 수술 시
치아 염증으로 이미 뼈가 많이 녹아
웅덩이처럼 파여 있었는데요.
내비게이션 임플란트 장비를 사용하여
뼈가 많은 부위에 식립할 수 있었습니다.

240208
수술 후 한 달 뒤
뼈와 잘 붙어서 바로 머리를 올렸습니다.
하악은 일반적으로 3개월 정도 기다리는데요.
어라? 너무 빨리 뽄뜬거 아닌가요?
생각하실 수 있습니다.
저희가 뼈와 임플란트가 잘 붙었는지
확인 후 머리를 만들어드렸습니다.
수술 후 임플란트와 뼈가 얼마나 잘 붙었는지
▼수치화해주는 기계▼를 통해 검사합니다.

해당 환자분은 한 달 뒤에
검사를 해보았을 때
뽄을 뜨기에 충분히 수치가 나와서
머리 만드는 작업을 바로 진행했습니다.

240222
아래 치아이기 때문에
입을 크게 벌리면 보일 수 있는 부위입니다.
때문에 티가 안나는
치아 색깔로 예쁘게 만들어드렸습니다.
▼치과 위치 확인▼
체계적인 진단을 시행하여
디지털 치료를 선두하는 병원
서울 바르디 치과는 5호선 상일동역에 위치합니다
.
| 예약 전화하러 가기 |
|---|
| 02-481-4278 |
임플란트를 처음 경험해 보시는 환자분들은
아프지 않을까? 이 치과 잘하나?
걱정을 많이 하시는데요.
무엇보다 임플란트는 의료진의 숙련도가 1순위입니다.
경험이 많고 디지털 임플란트로 체계적인 진료가 가능한 병원
감일동 치과 대표원장 장태현이었습니다!
| 본 게시물은 의료광고 법 제56조 1항을 준수하여의료 정보 제공 및 병원 홍보 목적으로 서울 바르디 치과에서 직접 작성하였습니다.제공된 정보는 참고만 하실 것을 권유 드리며 증상 파악 및 정확한 관리 방법은 의료기관에 내원 후 의료진을 통해 안내받으시길 바랍니다.치과에서 진행되는 모든 시술 / 수술은 개인에 따라 (염증, 출혈, 부기 등) 가능성이 있습니다.사전에 의료진과 충분한 상담을 통해 결정하시길 바랍니다.게시물의 치료 사례는 실제 본원에서 치료를 마친 환자분들의 동의하에촬영되었으며 전, 후 사진은 동일 조건에서 촬영되었습니다. |
#감일동치과