안녕하세요 디지털 기계로 체계적인 진료를 시행하는
서울바르디치과 대표원장 장태현입니다!!
"앞니"
제일 앞에 있는 치아입니다.
그러다 보니 웃을 때, 말할 때
여간 신경 쓰이는 게 아닌데요.
오늘 제 글을 찾아오신 분들은
앞니가 어떤 이유로 손상되어
임플란트를 하기 위해 검색하셨을 겁니다.
강동구 치과 앞니 흔들림 임플란트 케이스
다뤄보겠습니다.
3분만 집중해서 읽어주세요!
▼오늘 글 예고편▼

앞니를 해야 할 거 같은데..
좀 봐줘!!
70대 남성 환자분이 오셨습니다.
이미 다른 치과에서 진료 중인데
진단을 다시 받고 싶다 하셨습니다.
x-ray 촬영 말고
그냥 육안으로만 보고 말씀해 달라고 하셨는데요.
이럴 때 의료진으로써 참 난감한 순간이긴 합니다.
눈으로 보는 것은 뿌리 쪽과
잇몸 뼈 상태를 확인할 수 없기 때문입니다.
육안 검사 후 필요시 x-ray를 찍기로 하고
환자분을 만나 뵙게 되었습니다.

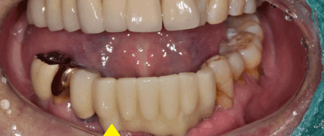
230524
환자분의 요청대로 육안 검사를 시행
보철이 한지 오래되어 뿌리가 노출되고
손으로만 건드려도 흔들거리는 상황
"환자분 x-ray를 찍어보지 않았지만
치아 흔들림이 너무 많아요.
이건 잇몸뼈가 많이 녹아서 그런건데
뽑고 임플란트가 필요합니다"
환자분께 왜 치료를 해야 하는지?
어떤 치료가 필요한지?
그냥 두면 어떻게 되는가?
과정을 설명드리고 첫 번째 만남은 마무리 지었습니다.
그리고 며칠 뒤 환자분이 다시 오셨습니다.
"여기서 할라고"

230627
강동구 치과에서 앞니를 치료받기로 하셨습니다.
(✌)
"어르신 이제 x ray 촬영 해도 될까요~???"
동의를 구하고 뼈 상태를 체크해보았습니다.

230627
정확한 검사를 시행해 보니
더욱더 확실해졌습니다.
까맣게 된 것이 다 뼈가 녹은 부위입니다.
치아가 손으로 밀어도 흔들린다는 것은
잡고 있는 뼈가 거의 없다는 것
역시나 사진에서 잇몸뼈가 녹아내린 것이 확인
그냥 손으로 잡아 뽑아도 뽑힐 정도였습니다.

230627
발치 후 바로 강동구 치과에서
앞니 임플란트 수술을 진행하였습니다.
어금니는 이를 뽑고 기다리기도 하지만
앞니는 뼈가 얇아
주로 발치와 동시에 수술을 진행합니다.
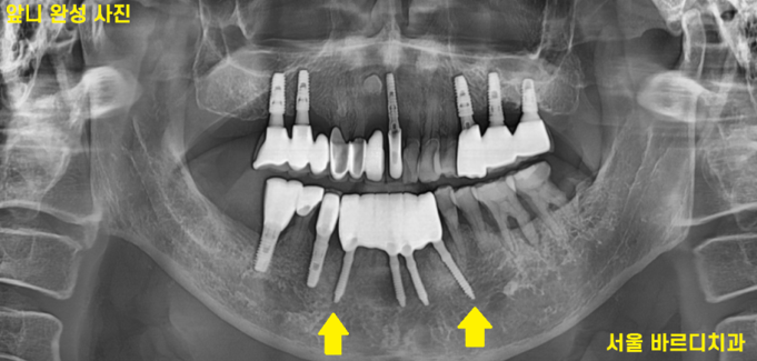
6개의 앞니가 없었지만
4개의 임플란트 식립하고
머리는 6개로 만들어드리는 것으로
계획을 잡아 진행하였습니다.

230725
수술 한 달 뒤 사진입니다.
앞니는 무엇보다도 중요한 것이 예.뻐.야 합니다.
남녀노소
연령 상관없이 예뻐야합니다. (몹시 중요)
기능적으로는 면을 자르는 정도이지만
눈으로 잘 보이는 부위이기 때문에
환자분의 사회 생활을 위해
임시치아를 만들어드렸습니다.
앞니 임플란트 후 3-4개월은
치아 없이 쓰셔야 하는데
남들에게 이 없는 모습을 보여주기가 참 어렵죠~
강동구 치과에서는 환자분에 사정에 맞춰
임플란트 치료 후 임시치아를 제작해 드립니다!!
뼈와 붙을 때까지 임시치아를 사용하시다가..

231027
수술 후 3개월 뒤
충분히 임플란트와 내 뼈가 붙고 난 것을 확인
임플란트 머리를 만드는 작업을 했습니다.
앞니 보철물을 만들 때 중요한 것은
색깔을 맞춰 주는 일입니다.
너무 하얗지도 누렇지도 않게
내 본연 치아 색깔에 맞춰서요.
안그러면 보철인게 티가 나거든요~

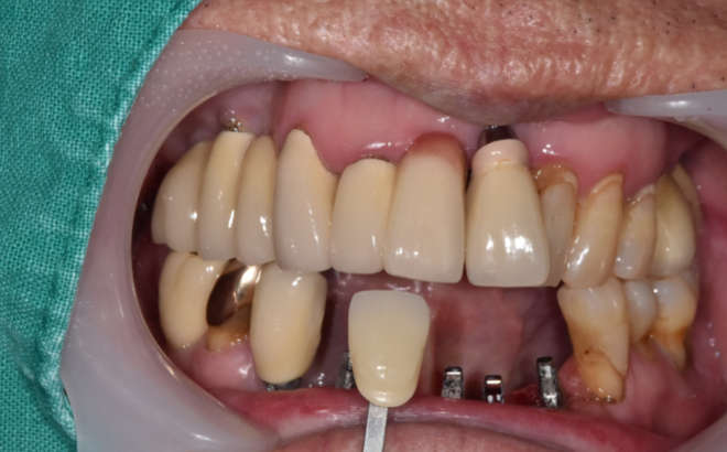
231120
강동구 치과 앞니 임플란트 완성 사진입니다.
실제 보철물을 보실까요~?

231120
옆에 치아와 색깔이 잘 맞게 나왔습니다.
앞니 임플란트의 경우
뼈가 얇고 없습니다.
뼈 있는 부위에 식립하다 보면
깊숙히 심게 되고
단점이 치아가 길어 보일 수 있는데요.
비율상 예쁘지 않기 때문에
잇몸 부분을 만들어드렸습니다.

231120
잇몸 부분은 티가 나지 않게
아래 입술 덮이는 부분까지 제작
입술을 까서 보지 않으면
다른 사람은 눈치 못 챌 정도입니다.
앞니 임플란트는 기능 + 심미
두 가지 모두 잡아야 합니다.
병원 내에 보철 제작 기계가 있어
제가 직접 한 분 한 분 확인을 하고 있습니다.
치아 흔들림이 느껴지시면
뼈가 다 녹을 때까지 방치하지 마세요.
모든 치료에는 골든 타임이 존재하니까요.
궁금하신 점은 댓글 달아주시면
빠른 답변드리겠습니다!!
| 다른 글 보러 가기 |
|---|
| 1) 앞니 임플란트 또 다른 케이스 2) 원내 기공소가 있는 서울바르디치과 |
.
| 본 게시물은 의료광고 법 제56조 1항을 준수하여의료 정보 제공 및 병원 홍보 목적으로 서울 바르디 치과에서 직접 작성하였습니다.제공된 정보는 참고만 하실 것을 권유 드리며 증상 파악 및 정확한 관리 방법은 의료기관에 내원 후 의료진을 통해 안내받으시길 바랍니다.치과에서 진행되는 모든 시술 / 수술은 개인에 따라 (염증, 출혈, 부기 등) 가능성이 있습니다.사전에 의료진과 충분한 상담을 통해 결정하시길 바랍니다.게시물의 치료 사례는 실제 본원에서 치료를 마친 환자분들의 동의하에촬영되었으며 전, 후 사진은 동일 조건에서 촬영되었습니다. |
#강동구치과 #치아흔들림 #앞니임플란트