안녕하세요
서울바르디치과 대표원장 장태현입니다!!
사랑니
대학병원 가서 뽑아야한다는데 혹시나 해서요
여기서도 되나요??
다른 부위 치료를 위해 내원하신 20대 환자분
묻혀있고 누워있는 사랑니라
대학병원 가서 뽑아야 한다는 말을 들으셨다고 하셨습니다.
치료 받는김에 사랑니도 뽑을 수 있는지 물어보셨는데요.
강동구 사랑니 묻혀있는 매복치아 꼼짝마!!! 뽑아줄테니까
공포의 사랑니
대학병원 가지 않으셔도 뽑아드립니다!!
3분만 집중해서 읽어주세요!

사랑니
사랑을 시작 할 때쯤 올라온다고 해서 붙여진 이름인데요.
예쁜 이름과 달리
묻혀있거나 누워있거나
올라오는 형태는 예쁘지않습니다ㅠ
맨~~~ 끝에 위치하는데
아프지 않거나 문제를 일으키지 않으면
굳이?
뽑을 필요는 없습니다.
사랑니 없이 태어난 분도 많습니다.
이런 분들은 축복받으신겁니다..ㅎ

240214
그렇지만..?
사랑니로 인해 자꾸 잇몸에 염증이 생기거나
아프다!! 증상을 느끼시면 발치를 추천드리는데요.
불편하면 뽑아야한다는 이야기입니다.

240214
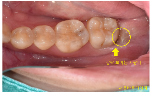
환자분은 사랑니가 살짝 보이는
머리 일부만 올라와있는 상황이었습니다.
그러다보니 잇몸 틈새 사이로 음식물이 자꾸 끼고
붓고 아프시다고 하셨어요.
강동구 사랑니 발치를 원하셨습니다.
사랑니 발치의 경우 왜 자꾸 대학병원을 가라하냐
뽑고 나서 신경이 손상될 가능성이 있기 때문입니다.
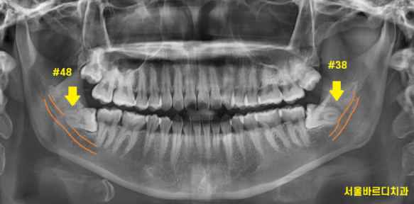
x-ray와 ct를 찍으면
지금 현재 상태를 정확하게 파악이 가능한데요

24.02.14
환자분은 위아래 4개의 사랑니를 모두 가지고 계셨습니다.
잇몸이 붓고 불편한 부분은
아래 사랑니였습니다.
모양이 누워있죠??
잇몸 안에 숨어있는 것이
"매복 사랑니"네요.

240214
"하치조 신경관"과 겹쳐 있다 보면
뽑고 나서 손상이 있을 수 있는데요.
이때 발생할 수 있는 후유증으로
운동 신경은 아니라 말하고 식사하는 데에는 문제가 없지만...
감각신경이라 입 주변에 느낌이 없을 수 있습니다.
그래서 대학병원 가서 뽑으라고 하는것인데
안전한 발치가 가능할지는 ct를 보면 가능합니다.

240214
바르디 치과에서는 최신 3d ct 장비가 있어서
사랑니와 신경과의 위치를 파악할 수 있는데요.
사랑니 주변 앞뒤좌우로 발치 시 위험한 요소가 있는지 확인
파노라마 상에서는 붙어있는것처럼 보여도
ct에서는 떨어져있는 경우도 많습니다.
신경관과 사랑니가 떨어져 있는것을 확인
발치가 가능하다 말씀드렸습니다.

240214
발치 후 사진입니다.
발치 확인을 위하여 촬영하였는데
강동구 사랑니 깨끗하게 뽑힌 거 보이시죠~??
이제 잘 아물기를 기다리기만 하면 됩니다.
아까 말씀드린 신경 손상 가능성
마취가 풀리고 나서 확인해보았습니다.
바르디 치과에서는 발치 후 꼭 전화를 드립니다.
혹시 모를 후유증에 대비하기 위해서요
입술 주변 감각이 느껴지시냐
마취는 다 풀리셨나요~?
피는 멈추셨는지
붓기는 없는지요.
"원장님 뽑아서 속 시원해요~
입술 주변 느낌도 다 나요!!"
환자분의 말씀을 듣는 것으로
강동구 사랑니 발치가 완료되었습니다.
입술 주변 감각이 살아있다는 것은
신경이 손상되지 않았다는 증거거든요~~
사랑니 발치 예약 관련, 진료 관련하여
언제든지 궁금하신 부분은 병원으로 연락 주세요!
▼치과 전화 연결하기 ▼
☎02-481-4278
진료가 끝나도 회복까지 책임지는 서울바르디치과
5호선 상일동역에 위치합니다.
디지털 장비로 체계적인 진단
안전한 발치가 가능한
서울 바르디 치과 대표원장 장태현이었습니다!!
| 본 게시물은 의료광고 법 제56조 1항을 준수하여의료 정보 제공 및 병원 홍보 목적으로 서울 바르디 치과에서 직접 작성하였습니다.제공된 정보는 참고만 하실 것을 권유 드리며 증상 파악 및 정확한 관리 방법은 의료기관에 내원 후 의료진을 통해 안내받으시길 바랍니다.치과에서 진행되는 모든 시술 / 수술은 개인에 따라 (염증, 출혈, 부기 등) 가능성이 있습니다.사전에 의료진과 충분한 상담을 통해 결정하시길 바랍니다.게시물의 치료 사례는 실제 본원에서 치료를 마친 환자분들의 동의하에촬영되었으며 전, 후 사진은 동일 조건에서 촬영되었습니다. |
#강동구사랑니