안녕하세요
디지털 진료로 오차 없는 진료를 추구하는
서울바르디치과 대표원장 장태현입니다!!
한번 치료를 하고 나서
문제가 없이 계속 쓸 수 있으면 좋겠지만..
보철물에도 수명이 존재합니다.
인공적으로 해서 넣은 치아이기 때문이죠~
오늘은 보철이 빠져서 치료하신 환자분 이야기입니다.
치아 크라운 빠짐 살릴 수 없을 때 강일역 임플란트
3분만 집중해 주세요!


230627
23.06.27 환자분과의 첫 번째 만남을 가졌습니다.
스케일링을 원하셔서 오셨는데요.
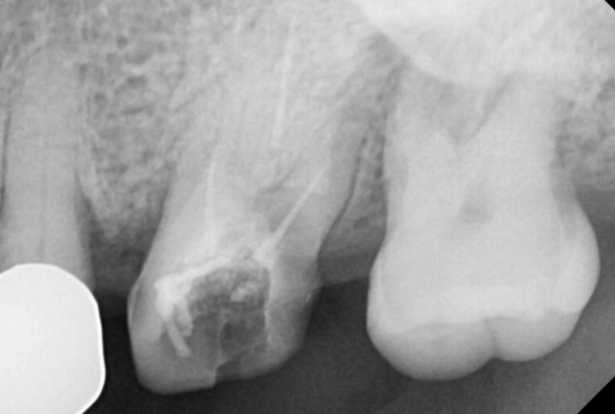
검진을 위해 X-RAY를 촬영해 보았더니
보철 수명이 다 된 것이 보이네요~

230627
두 가지 문제가 있었습니다.
첫번째, 잇몸도 많이 내려가
맨 끝 치아는 흔들려 강일역 임플란트가 필요
두번째, 보철을 씌운 치아는 충치가 생긴 게 확인이 됩니다.
벗기고 치료를 해야 함을 설명드렸으나
환자분께서 연세가 있다 보니 그대로 쓰고 싶다 하셨습니다.
불편한 것도 크게 못느끼신다 하셨어요.
문제가 언제라도 나타날 수 있음을 말씀드리고
불편 시 방문하시라고 치료를 마무리지었습니다.

231010
4개월 뒤 환자분이 다시 오셨습니다.
보철이 빠졌어!!
네 어르신~
보철이 빠지고 나서
안쪽 상황을 보았는데요.
사진을 한번 확인해 보겠습니다.

231010
치아 크라운 빠짐 내부 모습입니다.
보철이 빠진 부분에 충치로 인해
치아가 깨지고
색깔이 노랗죠~?
한마디로 삭았습니다.
치아가 푸석푸석
기구가 닿기만 해도
부서져서 뽑고 강일역 임플란트 하기로 상담해드렸습니다.

231030
임플란트는 뼈에 심기 때문에
뼈 상태를 확인하기 위해 3d ct를 촬영하였습니다.
내비게이션 임플란트 기술로 분석을 시행
오차 없이 진행할 수 있었습니다.
▼바르디 치과 디지털 임플란트 과정 확인하기▼
https://blog.naver.com/implant_master/223638111533

231030
강일역 임플란트 치료 후 사진입니다.
치아 크라운 빠짐 부분과
잇몸이 내려갔던 치아
문제의 2개 치아를 발치 후
임플란트 완료하였습니다.

240329
상악 어금니 임플란트의 경우 평균 4-6개월 정도 기다리는데요.
연세가 있으셔서
예방적으로 더 기다렸다
보철을 올렸습니다.

240415
강일역 임플란트 완성 사진입니다.
불편하시던 치아 크라운 빠짐이 해결되셨으니
이제 식사 잘하시고 오래오래 건강하시길 바랍니다.
▼치아 크라운 빠짐 치료 가능한 치과 위치 확인▼
치아 크라운 빠짐 이후 임플란트로 100% 치료하는 것은 아닙니다.
내부가 깨끗하면 다시 붙이면 끝~입니다.
다시 붙일 수 있으면 붙이고
내부 충치가 있거나 깨졌으면
일부 보완해서 다시 크라운을 씌워주면 됩니다.
오늘 환자분은 치아가 깨지고
삭아있어서 발치를 할 수밖에 없었는데요.
환자분마다 상황이 다르기에
내원 후 자세히 상담 도와드리겠습니다.
▼진료 예약▼
☎02-481-4278
궁금하신 점은 블로그 댓글로 달아주시길 바랍니다.
빠르게 확인 후 답변드리겠습니다.
대표원장 장태현이었습니다!!
| 본 게시물은 의료광고 법 제56조 1항을 준수하여의료 정보 제공 및 병원 홍보 목적으로 서울 바르디 치과에서 직접 작성하였습니다.제공된 정보는 참고만 하실 것을 권유 드리며 증상 파악 및 정확한 관리 방법은 의료기관에 내원 후 의료진을 통해 안내받으시길 바랍니다.치과에서 진행되는 모든 시술 / 수술은 개인에 따라 (염증, 출혈, 부기 등) 가능성이 있습니다.사전에 의료진과 충분한 상담을 통해 결정하시길 바랍니다.게시물의 치료 사례는 실제 본원에서 치료를 마친 환자분들의 동의하에촬영되었으며 전, 후 사진은 동일 조건에서 촬영되었습니다. |
#치아크라운빠짐 #강일역임플란트