안녕하세요!
서울바르디치과 대표원장 장태현입니다.
요즘 치과 정말 많죠~?
하남 치과도 계속해서 생기고 있는데요.
오늘은 먼거리에서 치료를 받으러 오셨던
특별한 환자분 이야기를 해드릴까 합니다.
무려 강원도에서 치료를 받으러 오셨던 환자분입니다.
정말 멀리서 오셨죠?
무엇때문에 하남 치과를 방문해주셨는지
3분만 집중해주세요!!!!

비용 상담만 해주세요
2-3군데 더 다녀볼꺼에요.
강원도에서 수술 할 수도 있어서 ...
사는 곳은 강원도 주문진
따님이 있는 곳은 하남 미사
강원도와 서울을 몇달에 한번씩 왔다갔다 하신다 하셨습니다.

230526
처음 오셨을때 윗니 어금니 6개가 빠져있었는데요.

230526
양쪽 작은 어금니 1개로 식사를 하고 계셨습니다.
아래 치아도 염증도 있고
목 부분이 부러져 건들 건들거리는 상황
비용 상담만 원하셨지만
궁금하더라고요.
불편한게 많으신데 치료를 당장 안하시는 이유요.
한 두곳이 아니라 전체가 불편하실텐데...
"어머니 왜이렇게 참고 계시나요~?"
치료를 미루고 계신 상황이 궁금했습니다.

230728 부러져서 흔들거리는 상황
치료를 해야하는 것을 알지만
아무래도 치과치료는 한번 시작하면 쭉
오랫동안 계속 다녀야할꺼같다 생각하시더라고요~
왔다갔다해야해서...
환자분의 고민을 확인하였으니
비용을 설명드리면서
저희 하남 임플란트 치과에서 치료를 받게 되시면
몇번정도 오시면 되는지
치료 기간은 어떻게 되는지
왼쪽, 오른쪽 중에 같이 수술을 하는 법
한쪽씩 수술을 하는 법
최대한 자세하게 설명드렸습니다.
그리고 환자분께 언제든지 다시 오셔도 되니까
부담 갖지 마시라 하고 돌려 보내드렸죠.
3일뒤...
왼쪽 아래가 아파서 왼쪽 부터 수술을 당일에 할 수 있냐
전화가 오셨습니다.
오른쪽은 8월쯤에 다시 서울가는데
그때 할까해요.
환자분의 제일 고민이 되는 부분을
어떤 방법으로 해결해 드릴수 있는지
방법을 알려주신게 병원을 결정하는데 도움이 되셨다고 하더라고요~
자주 못오시는 점을 고려하여
한번에 치료를 많이하기로 진행하고
치료 일정을 잡았습니다.

상담 일지 중 일부.

230728
목이 부러져서 건들거리는 왼쪽 아래가
제일 불편하다고 하셔서
위 아래 임플란트를 왼쪽부터 1차 진행
일하러 주문진에 바로 가셔야하는 상황이라
실밥은 강원도 가서 뽑고
한달뒤에 뵙는걸로 약속을 다시 잡아드렸습니다.
한달 뒤 오른쪽 임플란트 수술을 진행했습니다.

230526
오른쪽 위에 어금니는 치아가 없고
아래 어금니의 경우 염증으로 잇몸 뼈가 녹아있었는데요.
아래 치아의 경우 문제가 되는 부분만 1)임플란트를 한다.
- 브릿지 치료를 한다
2개의 선택지가 있었습니다.
각각의 장단점을 설명드렸고
브릿지 치료로 진행하기로 하였습니다.

230526
문제가 되는 치아와 앞에 치아가 묶여 있어
잘라내서 새로 씌워줘야하고
맨 끝에 치아도 치료 후 보철이 필요하다보니
브릿지로 3개 한번에 씌우는 것을
선택해주셨습니다.

230829
오른쪽 수술을 마친 직후입니다.
하남 임플란트 치과 치료 도와드렸습니다.
수술 후 이번에도 곧바로 주문진으로 가셨고
환자분은 뽄 뜰때 다시 뵐 수 있었습니다.
자주 내원하시기 어렵기 때문에
보철 만드는 것은 양쪽 한번에 진행
그리고 보철 제작 기간을 최소로 진행 하기로
상담해드렸습니다.
https://blog.naver.com/implant_master/223643115036
병원 내에 보철을 만드는 기공소가 있다보니
빠른 완성이 가능했는데요.

240202
딱 5번 내원하셔서 치료를 끝내드렸습니다.
상담
왼쪽 수술
오른쪽 수술
인상채득
보철 부착

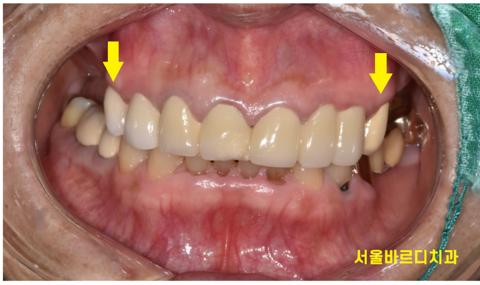
24.2.2

24.2.2
이가없던 위 어금니도
문제가 있던 아래 어금니도
문제가 있는 부분 싹 고쳐드렸습니다.
1)네비게이션 임플란트 도움
2)하남 임플란트 치과의 준비성
3)환자분의 주의사항 잘 지킴
3박자가 잘 맞았기에
서울 강원도를 최소로 왔다갔다 하면서
치료를 끝낼 수 있었습니다.
서울과 강원도
도시를 왕복하며 치료한 환자분의 이야기
이분이 특별한 경우가 아닐 수 있습니다.
우리 엄마, 아빠의 치아 상태가 어떤지
한번 살펴보세요.
치료를 안받는다 하시진 않는가
식사를 잘 하고 계신지요
우리의 소중한 부모님이잖아요~
우리의 부모님도 치료가 필요한데
여러 이유로 망설여질 때
하남 임플란트 치과에 전화 부탁드립니다.
| 예약 전화하러 가기 |
|---|
| 02-481-4278 |
오늘 환자분 뿐만 아니라
지방에 살고계신 부모님을
저희 병원에서 치료하는 경우가 꽤 있거든요~
▼완도에서 올라와 치료받으신 분 ▼
https://blog.naver.com/implant_master/223534562694
언제든지 제 도움이 필요할 때
손을 잡아드리겠습니다!!
감사합니다!!
.
| 본 게시물은 의료광고 법 제56조 1항을 준수하여의료 정보 제공 및 병원 홍보 목적으로 서울 바르디 치과에서 직접 작성하였습니다.제공된 정보는 참고만 하실 것을 권유 드리며 증상 파악 및 정확한 관리 방법은 의료기관에 내원 후 의료진을 통해 안내받으시길 바랍니다.치과에서 진행되는 모든 시술 / 수술은 개인에 따라 (염증, 출혈, 부기 등) 가능성이 있습니다.사전에 의료진과 충분한 상담을 통해 결정하시길 바랍니다.게시물의 치료 사례는 실제 본원에서 치료를 마친 환자분들의 동의하에촬영되었으며 전, 후 사진은 동일 조건에서 촬영되었습니다. |
#하남임플란트치과 #하남치과