안녕하세요 정직하고 바른 진료를 시행하는
서울바르디치과 대표원장 장태현입니다!!
오늘은 어떤 글을 적을까 고민하다가
수술이 끝나고 자주 듣는 질문 중에 추려보았습니다.
"원장님 임플란트가 안 보여요!"
혹은 "머리가 없는데요..?"
"심은 거 맞나요?"를 참 자주 듣습니다.
임플란트 수술을 경험해 보시는 분들은
잘 알고 계시지만
처음 해보시는 분들은 뭐가 뭔지 모르실겁니다.
오늘 글은 임플란트를 처음 식립 하시는 분들께
도움이 될만한 콘텐츠를 준비했습니다.
상일동역 치과에서 알려드리는 임플란트 수술과정 대공개
3분만 집중해서 읽어주세요.

제일 먼저 임플란트 수술 과정을 알려면
이게 무엇인지부터 알아야겠죠?
임플란트란?

230912
충치, 풍치, 치아 금, 외상 등
다양한 이유로 치아를 뽑아야할 때가 있습니다.

230912
이럴 때, 상실된 치아를 대체하는 것을
임플란트라고 합니다.
치아 뿌리 부분에 해당하는데요.
그래서 임플란트를 심어도
머리부분이 보이지 않는 것이
뼈 안에 심으니까요~~
임플란트 수술과정

230921
상일동역 치과 수술 직후의 사진입니다.
사진을 보시면 나사가 하나 들어간 것을
확인하실 수 있는데요.
"머리는 언제 올라가요~?"
임플란트는 골 유착,
그러니까 내 뼈와 잘 붙는 기간이 필요합니다.
뼈 안에 심어두기만 한 것이지
뼈와 붙은건 아니거든요~

231216
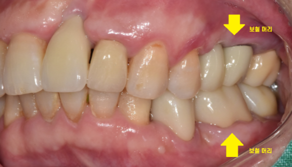
환자분이 생각하시는 머리는 이런 형태이실겁니다.
무언가를 씹을 수 있는..
충분히 뼈와 붙지 않은 상태에서 힘을 받게 되면
임플란트가 실패하게 됩니다.
심어두었던 나사가 빠질 수 있어요.

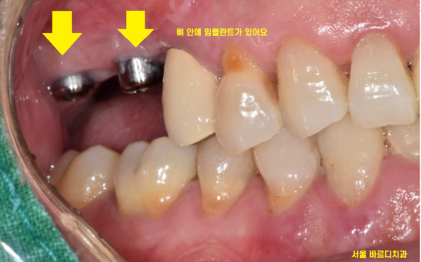
221123
때문에 임플란트 수술을 하고 나면
머리 대신에 작은 나사만 연결해둡니다.
뼈가 거의 없는 경우에는
임플란트를 잇몸 안에 묻어두기도 하는데요.
이럴 경우에는 잇몸밖에 안느껴지기 때문에
임플란트 심은게 맞나.. 싶기도 합니다.

230707
겉으로 봤을 때는 잇몸만 느껴지지만
x-ray를 보실까요~?

230717
임플란트가 잘 심어져있습니다.
이럴 경우 잇몸 밖으로 나사를 연결하는
2차 수술을 진행해야 하는데..
https://blog.naver.com/implant_master/223635338982
2차 수술에 대한 내용은
위에 글 참고해주세요!!
수술까지 완료되었다면
다음 과정으로는 내 뼈와 임플란트가 잘 붙기를
기다려 주어야 합니다.
상악 치아는 평균적으로 4-6개월
하악은 2-3개월 후에 진행하는데요.

231216
시간이 흘러 기계로 얼마나 내 뼈와 잘 붙었는지 수치를 측정하고
이제 잘 붙었다면 뽄을 떠주는 단계입니다.
수치가 약하다면 조금 더 기다려주기도 해요~
뽄을 뜨는 것은 머리 부분에 해당하는
씹을 수 있는 무언가를 만들어주기 위해서입니다.

231221
상일동역 치과에서는 디지털 장비를 사용해
이 모든 과정을 진행합니다.
때문에 구강 내를 그대로 재현해 주고
오차 없이 보철물 제작이 가능합니다.
상일동역 임플란트 구강스캐너로 디지털 진료 선.. : 네이버블로그
구강 스캐너를 사용하여
뽄 뜨는 과정은 위에 글을 참고해주시고요~!

231221
모든 과정이 디지털이기에
보철물이 들어갈 모습을 예측 할수도 있답니다.

240110
보철 제작을 완료하면
구강 내에 접착을 시행합니다.
이제 씹기도 하고 양치도 가능하며
내 치아처럼 사용이 가능합니다!!
오늘은 임플란트 수술 과정을 설명드렸는데요.
생각 같아서는 수술 후 바로 씹을 수 있을 것 같지만
무엇이든 시간이 필요한 법입니다.
상악 치아는 4-6개월,
하악 치아는 2-3개월 이것은 어디까지나 평균입니다.
완성되는 기간은 환자분 구강상태에 따라
달라질 수 있다는 점
참고 부탁드려요~!
▼치과 위치 확인▼
어떤 이유에서라도 내 치아를 상실한 것은 참으로 속상한데요.
빨리 식사하시고 싶으신 마음 잘 알고 있습니다.
그렇지만 시간이 걸리더라도
제대로 치료하는 것
서울 바르디 치과의 철칙입니다.
| 진료 예약 전화번호 |
|---|
| 02-481-4278 |
급하게 치료하지 않고
한 분 한 분 제대로 진료를 시행하다 보니
진료 예약은 필수입니다!
오시기 전 전화 한통 꼭! 해주세요~~
궁금하신 점은 "댓글" 부탁드리겠습니다.
| 본 게시물은 의료광고 법 제56조 1항을 준수하여의료 정보 제공 및 병원 홍보 목적으로 서울 바르디 치과에서 직접 작성하였습니다.제공된 정보는 참고만 하실 것을 권유 드리며 증상 파악 및 정확한 관리 방법은 의료기관에 내원 후 의료진을 통해 안내받으시길 바랍니다.치과에서 진행되는 모든 시술 / 수술은 개인에 따라 (염증, 출혈, 부기 등) 가능성이 있습니다.사전에 의료진과 충분한 상담을 통해 결정하시길 바랍니다.게시물의 치료 사례는 실제 본원에서 치료를 마친 환자분들의 동의하에촬영되었으며 전, 후 사진은 동일 조건에서 촬영되었습니다. |
#상일동역치과 #임플란트수술과정