안녕하세요
디지털 기계로 체계적인 진료를 시행하는
서울바르디치과 대표원장 장태현입니다!!
오늘은 상악 임플란트를 할 때 문제가 되는 "상악동염"에 대하여
말씀드릴까 합니다.
미사역 임플란트 상악동염으로 치아를 발치한 사연
3분만 집중해 주세요!
치아와 상악동염이 어떤 관계가 있는지
알아가실 수 있습니다.

상악동염??
처음 들어보시는 분들도 계실 겁니다.
다른 말로 부비동염이라 하기도 합니다.

230214
염은 염증이라는 뜻이고..
상악동은 윗턱
상악 쪽에 위치하는 구조물입니다.
코 옆에 양쪽으로 동굴처럼 구멍이 있는데요.
상악동을 통해 공기가 드나들고
머리 무게를 줄여주는 기능을 하는 곳입니다.
이곳에 염증이 생기면 상악동염이라 한답니다.
원인이 어떤 것이느냐에 따라
상악동염 종류가 나눠지게 됩니다.
오늘 소개해 드릴 환자분은 치아로부터 상악동 염증이 발생한 분입니다.

230214
윗니 어금니 쪽에 통증이 있어요
증상을 호소하셨습니다.
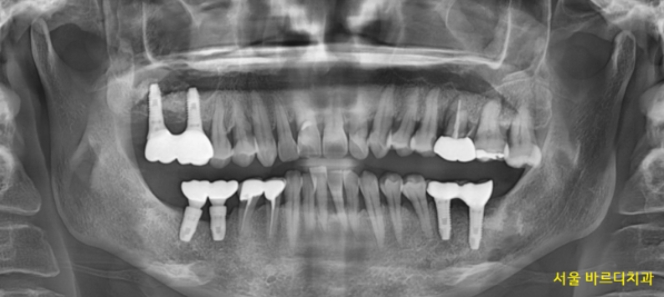
원인 파악을 위하여 전체 x-ray 촬영
역시나 왼쪽 윗니 치아에 문제가 있었습니다.
뿌리쪽에 문제가 있어보여
한 장 더 찍어보았는데요.

뿌리 끝에 염증이 발견되었습니다.
염증이 있어서 어금니가 아프셨던 거네요~~
치아에 염증이 있다 보니
주변 잇몸뼈를 녹은 상황
신경치료도 다 되어있는 상황이라
더 이상 치료할 수 있는 방법이 없었습니다.

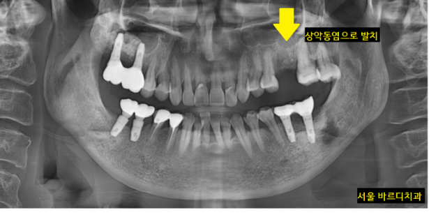
230321
윗니 어금니라 상악동과 근접해 있어서
추가 확인이 필요했습니다.
상악동까지 염증이 퍼졌는지 확인하기위해
3d-ct까지 촬영해 보았습니다.
상악동을 관찰하는데 ct만한게 없거든요~~

230321
ct에서 상악동까지 염증이 번진 게 확인됩니다.
어금니 염증이 상악동염을 유발했네요.
치아로부터 원인이 발생하였다고 하여
"치성 상악동염"이라 불립니다.
그대로 두다가는 잇몸뼈를 더 많이 녹이고
통증이 지속되어 발치 후 임플란트 하기로 하였습니다.

230321
염증이 너무 심하여 임플란트를 바로 심기보다
기다렸다가 심기로 하였습니다.
발치 후 바로 임플란트를 하기도 하지만
염증으로 잇몸뼈가 녹은 경우는
뼈가 만들어질 때까지 기다리기도 합니다.
간혹 이 부분에 대하여
더 오래 기다리면 뼈이식을 안할 수 있나요?
많이들 물어보시는데요.
100% 채워지는 것은 아니라
부족한 부분은 잇몸뼈를 이식하여
보충해주어야한답니다.
환자분마다 치료방법이 다르기에
정확한 것은 내원하셔서
상담받아주세요!~
(예약 문의) ☎02-481-4278

230610
3월에 염증을 긁어내고
1차 뼈이식을 진행
3개월 정도 지나 뼈가 어느 정도 찼을 때
2차 뼈이식과 미사역 임플란트를 진행하였습니다.
▼상악동 거상술 알아보러 가기▼
https://blog.naver.com/implant_master/223407832925
2차 뼈이식을 진행하면서
상악동도 들어올리는 부가적인 수술을 같이했습니다.
상악동거상술이 무엇인지는
위에 글을 참고해주세요!!!

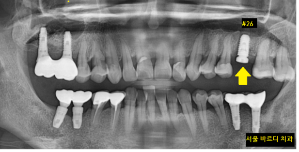
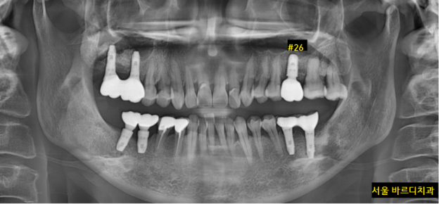
231120
미사역 임플란트 식립 후 5개월이 지나
보철을 완성한 사진입니다.
발치 후 3개월
뼈이식 후 5개월
8개월이 지나 진료가 끝났습니다.
결코 짧은 시간이 아니죠~?
지금 진단받으셔도 내년에 치료가 마무리됩니다.
문제를 방치할수록 치료 기간은 길어지기에
조기 발견, 조기 치료가 중요해요!!!
디지털 진료로 원인을 명확히 파악하는
서울바르디치과입니다.
오늘은 치아 염증으로 상악동염이 발생하여
발치한 사연을 들려드렸습니다.
8개월의 대장정이었습니다.
시간이 걸려도 확실하게
올바른 방향으로 걸어갑니다.
그것이 제가 운영하는 서울바르디치과의
진료 철칙입니다.
| 예약 전화하러 가기 |
|---|
| 02-481-4278 |
진료시간 확인하시고 내원해 주시면 감사하겠습니다.
궁금하신 점은 덧글 달아주시길 바랍니다.
대표원장 장태현이었습니다.
| 본 게시물은 의료광고 법 제56조 1항을 준수하여의료 정보 제공 및 병원 홍보 목적으로 서울 바르디 치과에서 직접 작성하였습니다.제공된 정보는 참고만 하실 것을 권유 드리며 증상 파악 및 정확한 관리 방법은 의료기관에 내원 후 의료진을 통해 안내받으시길 바랍니다.치과에서 진행되는 모든 시술 / 수술은 개인에 따라 (염증, 출혈, 부기 등) 가능성이 있습니다.사전에 의료진과 충분한 상담을 통해 결정하시길 바랍니다.게시물의 치료 사례는 실제 본원에서 치료를 마친 환자분들의 동의하에촬영되었으며 전, 후 사진은 동일 조건에서 촬영되었습니다. |
#미사역임플란트