안녕하세요~
환자분들을 예쁘게 변신시켜드리는
서울바르디치과 장태현 원장입니다.
살면서 치아를 제일 많이 보는 부위는
윗 앞니 부분인데요.
입술로 덮여지는 아래 치아와 달리
웃을 때 너무나도 잘 보이는 부위가 앞니이기 때문이죠!
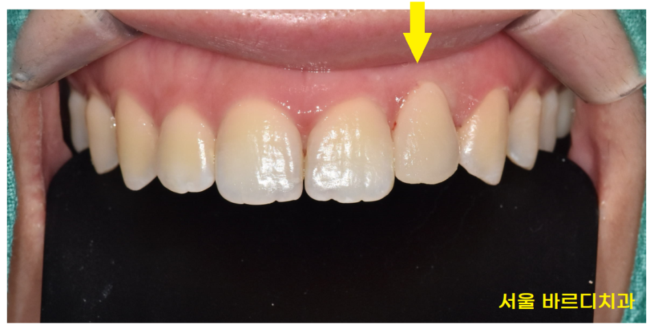
앞니 레진 변색으로 무삭제 라미네이트 진행했습니다.
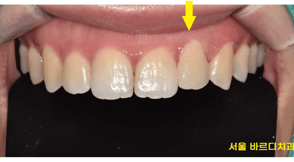
오늘 환자분 예전에 치료 받은 부위가 색깔이 변해
상담을 요청해주셨습니다.

앞니 떼운곳 밥풀 붙여놓은거 같아서
보기 싫어요
환자분께서 말씀하신 그대로입니다.
얼마나 티가 나는지
입안 상태를 보았더니
앗...!

241102
정말 밥풀 붙여둔 것처럼 레진 치료가 되어있네요~
치료했던 원인은 알 수 없으나
치아가 깨졌던가
치아와 치아 사이에 공간이 있어서
메꾸기 위해 "레진"이라는 재료로 떼우신듯 합니다.

230130
위에 사진을 저희 서울 바르디치과를 내원해주신 환자분
앞니 사이 벌어짐을 레진으로 떼워드린 케이스인데
티가 나지 않게
내 치아처럼 떼우는게 포인트입니다!
자세한 내용은 아래 글을 읽어주세요~
고덕 그라시움 치과 벌어진 앞니 메꾸기 당일 .. : 네이버블로그

230130
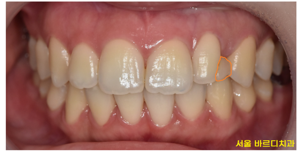
오늘 내원해주신 환자분은
앞니 레진 변색도 보이고
귀퉁이 부분이 깨지기도 했네요~
전문가가 아니더라도
누가봐도 뭐를 붙여놨구나...
알 수 있었습니다.

230130
치료하는 방법은 1) 기존 레진을 제거하고 다시 레진 치료를 한다.
- 무삭제 라미네이트 치료를 한다.
부위가 넓지 않아 레진 치료도 하나의 방법이지만
기존 앞니 레진 변색이 문제였습니다.
레진 자체의 성질이
시간이 지나면서 붙여놓은 경계부위가
까맣게 색깔이 변하거든요~
잘 보이는 앞니 부위다 보니
앞니 레진 변색의 위험이 있는 치료보다
색깔 변할일 없는
무삭제 라미네이트 치료로 진행하기로 하였습니다.

정말 얇죠~?
앞니 무삭제 라미네이트란?
앞니 무삭제 라미네이트는 치아를 손상시키지 않으면서
얇은 세라믹을 치아에 덧붙이는 형식입니다.
최소 두께로 라미네이트를 제작하는데
0.10.3mm 정도 정말 얇게요
치아를 시리지 않을 정도로
겉 표면 부분만 살짝 다듬어 무삭제 라미네이트를 제작합니다.
그러다보니 하고 싶다고 할 수 있는것이 아니라
적용범위에 "한계"가 존재합니다.
치아 배열이 비교적 고른데
치아 색상이나 모양이 살짝 수정하고 싶을 때
치아 배열이 많이 삐뚤거리거나 한 경우에는
적용할 수가 없어요~
기존 치아에 무삭제 라미네이트를 붙이면
치아 크기가 더 뚱뚱해져서
비대칭적으로 보이거든요~
오늘 환자분은 나머지 치아가 고르게 되어있는 상태고
특정 1개 치아만 앞니 레진 변색과 함께
사이즈가 작아서
무삭제 라미네이트로 크기를 키워주는 치료를 진행했습니다.

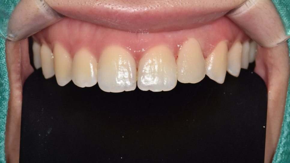
241116
어떤 치아가 보철 치아인지 찾으셨나요???
처음 상태를 모르셨다면
찾기 어려우셨을꺼 같네요~~

241116
정말 자연스럽죠?
옆에 치아와 비교해보았을 때
색깔도 티가 안나고
모양까지 비슷하게 만들어졌으니요
덧붙이는 세라믹 재료가 얇고 투명도가 높아서
심미적인 효과가 뛰어나요!
시술 시간도 짧고
치아 삭제량도 적으니
심미 개선을 원하는 환자분들께는
적합한 치료가 아닐까 싶습니다.
오늘 환자분 앞니 밥풀 붙여놓은 것 같다
고민 라미네이트로 해결 완료~~~~~
| 또 다른 라미네이트 케이스 보러가기 |
|---|
| 1) 왜소치 탈바꿈 케이스2) 앞니 삐뚫음 해결 케이스 |
아까도 말씀드렸다싶이
앞니 무삭제 라미네이트 모든 케이스에 해당하지 않습니다.
어느정도 치아 삭제가 필요할 수도 있고
크라운을 하셔야할 경우도 있어요.
정확한 것은 병원에 방문해주시면
직접 진단해드리겠습니다~!
▼치과 위치 확인▼
상담 당일 무삭제 라미네이트 진행 시 뽄뜨는 거 한번
붙이는 날 한번
최소 2번의 방문이 필요하다는 것
알아가시면됩니다.
소요 기간은 일주일 간격이에요~
| 예약 전화하러 가기 |
|---|
| 02-481-4278 |
요즘 환자분들이 많아
그냥 내원하셨을 경우 무한 대기 시간을 겪으실 수 있습니다.
반드시 예약을 하고 방문해주세요!!
안기다리고 바로 치료받으실 수 있도록
도와드릴께요~!
| 본 게시물은 의료광고 법 제56조 1항을 준수하여의료 정보 제공 및 병원 홍보 목적으로 서울 바르디 치과에서 직접 작성하였습니다.제공된 정보는 참고만 하실 것을 권유 드리며 증상 파악 및 정확한 관리 방법은 의료기관에 내원 후 의료진을 통해 안내받으시길 바랍니다.치과에서 진행되는 모든 시술 / 수술은 개인에 따라 (염증, 출혈, 부기 등) 가능성이 있습니다.사전에 의료진과 충분한 상담을 통해 결정하시길 바랍니다.게시물의 치료 사례는 실제 본원에서 치료를 마친 환자분들의 동의하에촬영되었으며 전, 후 사진은 동일 조건에서 촬영되었습니다. |
#앞니레진변색 #무삭제라미네이트