안녕하세요 정직한 치과의사
서울바르디치과 대표원장 장태현입니다!!
오늘은 다수의 치아가 빠지고
치료가 필요할 때 하나의 치료법이 될 수 있는
"임플란트 틀니" 설명을 드릴까 합니다.
치아 상실의 치료 방법은 임플란트가 가장 좋지만
빠진 치아가 많아지면 비용 부담이 되시잖아요~
이럴 경우 해결책이 될 수 있습니다.
임플란트 틀니 치아가 없을 때
하남미사치과에서 해결하세요.
정직한 치과의사가 말씀드립니다~!!
3분만 집중해 주세요.

임플란트 틀니는 무엇인가요?
임플란트 + 틀니를 더한 말입니다.

오버덴쳐, 자석틀니, 똑딱이
모두 같은 방식입니다.
임플란트를 부분적으로 2개~ 4개 정도 심고
그 위에 틀니를 얹어놓는 형태입니다.
임플란트 금액적인 부담
틀니가 잘 빠지는 단점
두가지 치료 방식의 단점을 개선한 치료법이죠.
물론 임플란트 없이 틀니로만 제작하는 것도 방법입니다.
임플란트 몇개라도 심는게 식사가 편해지실겁니다.
씹는 힘 자체가 틀리거든요~

230809
치아가 거의 없는 상태로 하남미사치과 내원해 주셨습니다.
위에 치아는 뿌리만 남고
아래 치아도 1개만 남아있네요.

230809

230809
틀니를 기존에 쓰시던 분이라
뼈가 많이 퇴축된 것이 보이네요~
아래 치아 같은 경우 뼈 자체가 얇았습니다.
위에 치아는 상대적으로 입천장이 있어
틀니가 빠지거나 큰 불편감이 없지만
아래 치아는 혀가 있어서
틀니가 잘 빠질 수 있습니다.
뼈도 얇아 틀니를 만들게 되어도
잇몸에 눌려 아프거나 불편하실 수 있을듯 하였습니다.
이대로 완전 틀니를 만들어 드리면
뼈는 더 퇴축되어
나중에는 임플란트를 하고 싶어도 못할 수 있는데요.
지금이 수술할 수 있는 마지막 기회일지 몰라
하악은 임플란트를 부분적으로 심고
그 위에 틀니를 올리자 설명드렸습니다.

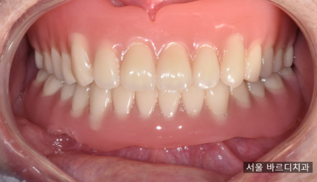
240103
완성한 사진입니다.
겉으로 보기에는 틀니이죠~?
x-ray로 확인해 보면 임플란트가 잘 심어진 것을
확인하실 수 있습니다.

231115
임플란트가 치아 역할을 해주기 때문에
기존 틀니에 비해 씹는 힘이 강하고
잘 안 빠지는 장점이 있습니다.
임플란트를 전체하는 것에 비해
비용도 저렴하고요.
결론
임플란트와 틀니를 결합한 치료도 있다!
위 환자분은 4개의 임플란트만 심으셨지만
구강 상태에 따라 식립 개수는 달라질 수 있습니다.
하남미사치과에 내원해 주시면
환자분 맞춤 상담을 진행해드릴게요~!
▼진료 예약▼
☎02-481-4278
▼치과 위치 확인▼
개개인별 맞춤 진료를 시행하는 서울바르디치과
5호선 상일동역에 위치합니다.
| 예약 전화하러 가기 |
|---|
| 02-481-4278 |
저는 교과서적인 진료가 정답이라고 생각하진 않습니다.
개개인별 맞춤 진료가 정답이죠~
불필요한 것은 말씀드리지 않습니다.
꼭 필요한 진료만 권유 드립니다.
하남미사치과에 방문 주시면
맞춤형 진료 진심으로 진료해 드리겠습니다.
대표원장 장태현이었습니다.
| 본 게시물은 의료광고 법 제56조 1항을 준수하여의료 정보 제공 및 병원 홍보 목적으로 서울 바르디 치과에서 직접 작성하였습니다.제공된 정보는 참고만 하실 것을 권유 드리며 증상 파악 및 정확한 관리 방법은 의료기관에 내원 후 의료진을 통해 안내받으시길 바랍니다.치과에서 진행되는 모든 시술 / 수술은 개인에 따라 (염증, 출혈, 부기 등) 가능성이 있습니다.사전에 의료진과 충분한 상담을 통해 결정하시길 바랍니다.게시물의 치료 사례는 실제 본원에서 치료를 마친 환자분들의 동의하에촬영되었으며 전, 후 사진은 동일 조건에서 촬영되었습니다. |
#하남미사치과 #임플란트틀니