안녕하세요 제대로 된 진료를 추구하는
서울바르디치과 대표원장 장태현입니다!!
지난 시간에 임플란트 수술 과정에 대해
안내해 드렸는데요.
상일동역 치과에서 알려드리는 임플란트 수술과정.. : 네이버블로그
길동 치과에서는 임플란트 수술을 2회에 걸쳐서 진행합니다.
뼈 상태에 따라 결정되는데
오늘은 2번 나눠서 수술하는 방법에 대하여
말씀드릴까합니다.
길동 치과 임플란트 2차 수술이요? 예전에 했잖아요
3분만 집중해서 읽어주세요.

임플란트 수술 후 혀로 수술 부위를 만져보면
잇몸 밖으로 무언가가 튀어나온 것을
확인하실 수 있습니다.
이것은 임플란트는 아니고요~~
임플란트와 연결해둔 뚜껑입니다.

221123
이렇게 뚜껑을 잇몸 밖에 두는 것을
임플란트 1회 수술법이라 합니다.
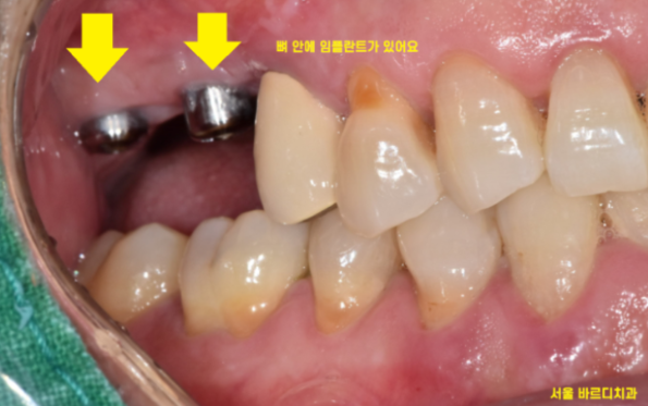
경우에 따라 잇몸 뼈가 많이 부족한 경우
잇몸 안에 임플란트를 묻어둬야 할 경우가 있습니다.
이럴 경우 묻어둔 임플란트를 잇몸 밖으로 노출 시키는
2차 수술이 필요한데요.
임플란트 심는 수술 1번
잇몸 밖으로 노출 시키는 수술 1번
2번에 걸쳐서 수술을 진행하여
임플란트 2회 수술이라 표현합니다.
잇몸 안에 임플란트를 묻어 둔 경우
임플란트 수술한게 맞냐는 질문을 많이들 해주십니다.

230707
그도 그럴 것이 사진과 같은 모습이기 때문이죠~!
잇몸밖에 안보이죠~?
뼈 사진을 보시게 되면
임플란트 잘 심겨져 있답니다.

230817
한번의 수술로 모두 끝내드리면 좋겠지만
2번에 걸쳐서 시행하는 이유
임플란트를 보호해 주기 위해서입니다.
수술의 성공도를 높이기 위해서죠~
매일 식사를 하고
양치를 하는 행위 자체가 자극이됩니다.
가뜩이나 뼈가 안 좋은데
음식물 등에 감염이 되면 안 되니까!!
안전하게 잇몸 안에 묻어두는 것입니다.

231111
충분한 시간이 지나 안전해졌다 판단되면
2차 수술을 진행합니다.
잇몸을 살짝 절개해서 노출 시켜야하다보니
마취가 필요하고
꼬매야하는 경우도 있습니다.
임플란트 수술에 비하면
시술 정도지만 마취를 해야한다는 그 자체만으로도
공포를 많이 느끼세요~
수술을 또 해요,,?
저번에 했잖아요.
아픈가요??
많은 질문을 해주시죠.
결론부터 말씀드리면..
임플란트 2차 수술
심을 때 보다 간단합니다.
시술 시간이 짧게 걸리고
잇몸 절개도 손톱만큼
아주 작은 부위만 진행됩니다.
너무 불안해하지 않으셔도 될 것 같아요~~
잇몸 밖으로 꺼내는 과정만 추가되지
그 이후 임플란트 과정은 똑같습니다.

231221
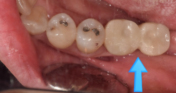
임플란트와 내 뼈가 충분히 붙으면
기둥을 끼우고 보철물을 만들어줍니다.

231221
스캔 기계를 사용하여 뽄을 뜨고 보철을 만들어줍니다.

240110
완성!!!

240110
오늘 글을 정리해 드릴께요~
수술 과정이 한 개 더 추가되는 것이다!!
수술을 두번하는건 아닙니다.
외부 자극에 노출되면 안좋다는 얘기 때문에
처음부터 임플란트를 묻어두면 안되는건가?
생각하실 수 있습니다.
2차 수술로 진행하면
불필요한 마취, 잇몸절개를 해야하고
치료 기간도 길어지고 있습니다.
때문에 처음부터 2회법으로 수술하지 않고
선택적으로 진행하는 거랍니다.
환자분 상황에 맞추어 진료를 진행하기에
병원에 오시면 수술 방법이 어떻게 진행될지
설명 드릴께요~~~
정확한 것은 x ray를 찍어봐야 상태 파악이 가능하거든요~
5호선 상일동역 4번 출구에 위치합니다.
역에서 1분이라 쉽게 접근하실 수 있을 거예요~!
| 예약 전화하러 가기 |
|---|
| 02-481-4278 |
어떤 경우이든 환자분들에게
좋은 방법으로!!
장단점을 따져서 길동 치과에서는 진단하는데요.
예약 후 내원해 주시면 감사하겠습니다.
▼진료 예약▼
☎02-481-4278
대표원장 장태현이었습니다~!!
| 본 게시물은 의료광고 법 제56조 1항을 준수하여의료 정보 제공 및 병원 홍보 목적으로 서울 바르디 치과에서 직접 작성하였습니다.제공된 정보는 참고만 하실 것을 권유 드리며 증상 파악 및 정확한 관리 방법은 의료기관에 내원 후 의료진을 통해 안내받으시길 바랍니다.치과에서 진행되는 모든 시술 / 수술은 개인에 따라 (염증, 출혈, 부기 등) 가능성이 있습니다.사전에 의료진과 충분한 상담을 통해 결정하시길 바랍니다.게시물의 치료 사례는 실제 본원에서 치료를 마친 환자분들의 동의하에촬영되었으며 전, 후 사진은 동일 조건에서 촬영되었습니다. |
#길동치과 #임플란트2차수술