안녕하세요~
서울바르디치과 대표원장 이주리입니다.
치아교정 주로 성장기에
학생분들이 대부분 하다보니
나이먹었는데 할 수 있나요..?
이런 질문들을 정말 많이 해주세요.
고덕역 교정치과 40대인데도 치아 교정 가능한가요?
왜 못하나요~~
질문에 답변 드릴께요!!

학생들만 교정하는 것은 아니다!!
치아 교정은 청소년들만 받는 치료라고 생각하기 쉽지만
나이에 상관없이 필요한경우에는 진행 가능합니다.
특히 40대 치아교정 예뻐지기 위해서 하는 것이 아니라
잇몸과 치아 건강 향상을 위해서 필요합니다.
중년으로 갈 수록 치아의 배열이나 교합 상태가
건강에 직접적으로 영향을 미칠 수 있기 때문에 오히려 중요할 수 있죠~

241118
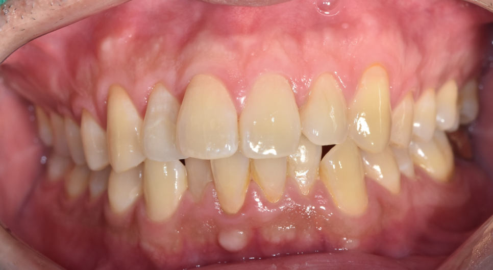
오늘의 주인공 환자분도 40대 치아교정을 문의주셨습니다.
한눈에 보기에도 치아가 삐뚤빼뚤하죠~?
먹고 살기 바빠서 신경을 못썼는데
더 늦기전에 치아교정 해보고싶어서요.
눈으로 잘 보여지는 부분이기에
치아가 삐뚤빼뚤하면 자꾸 가리게 되고
자신감을 잃게 됩니다.

241118
40대 치아 교정, 왜 필요할까요?
고덕역 교정치과에서는 다양한 이유로
중년분들의 교정을 환영합니다!!
-
나이가 들수록 잇몸이 약해져 치아 배열이 흐트러지기에
-
잘못된 교합상태는 음식물을 제대로 씹지 못해 소화기 기능에 악영향
-
턱관절에도 무리를 준다.
-
치열이 고르지 않아 충치나 잇몸 질환의 위험이 높아진다.
40대 치아 교정, 어렵지 않을까요?
못할꺼 같다고 추측들을 많이 해주세요.
물론 임플란트나 보철을 많이 할 경우
치아 교정에 제약이 있는 것은 맞습니다.

240924
치아 교정은 치아 뿌리를 움직여 하는데
임플란트는 뼈에 고정되어있잖아요~
그래서 개수가 많으면 치아 교정 어렵긴 합니다.
그렇지만 불가능한 것은 아니에요!
요즘에는 기술력이 워낙 좋아져
투명 교정, 자가결찰 브라켓 , 설측 교정 등등
다양한 교정 방법이 있고 치아에 부담을 주지 않으면서
원하는 결과에 도달할 수 있습니다.
고덕역 교정치과에는 교정만 하시는
원장님도 계시고요.
(환자분들을 위하여 모셔왔습니다~~)
https://blog.naver.com/implant_master/223660923335
물론 성인의 경우 뼈 성장이 완료했기 때문에
치료 기간이 청소년보다 조금 더 길 수 있습니다.
노화가 시작되기 때문에 잇몸과 뿌리의 유연성이 떨어지거든요
그래서 조심스럽게 진행해야하는 것도 맞고
잇몸 상태를 계속 체크도 필요해요
그렇지만...
학생들만 교정하는 건 아니다!!
나이와 관계없이 건강과 자신감을 되찾기 위해 필요하다!!!
이 글을 읽고 계신 환자분이 40대라면
한살이라도 더 빠르게!!!
더 늦기 전에 전문의와 상담을 통해 치아 교정을 시작해 보세요.

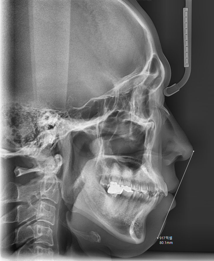
241118
x-ray, 구강 상태, 교합 확인
다양한 검사를 시행
고덕역 교정치과에서 환자의 건강한 미소를 되찾을 수 있도록 도와드리겠습니다!
| 교정 상담하러가기 |
|---|
| 02-481-4278 (직접 통화) |
저희는 예약제로 운영되고 있어
사전 연락을 통해 보다 편리하게 상담을 받으실 수 있습니다.
긴 글 읽어주셔서 감사해요!
오늘 하루도 행복하세요~
.
| 본 게시물은 의료광고 법 제56조 1항을 준수하여의료 정보 제공 및 병원 홍보 목적으로 서울 바르디 치과에서 직접 작성하였습니다.제공된 정보는 참고만 하실 것을 권유 드리며 증상 파악 및 정확한 관리 방법은 의료기관에 내원 후 의료진을 통해 안내받으시길 바랍니다.치과에서 진행되는 모든 시술 / 수술은 개인에 따라 (염증, 출혈, 부기 등) 가능성이 있습니다.사전에 의료진과 충분한 상담을 통해 결정하시길 바랍니다.게시물의 치료 사례는 실제 본원에서 치료를 마친 환자분들의 동의하에촬영되었으며 전, 후 사진은 동일 조건에서 촬영되었습니다. |
#고덕역교정치과 #40대치아교정