안녕하세요~
서울바르디치과 대표원장 장태현입니다.
많은분들이 충치를 무서워하시지만
진짜 신경써야할 것은 "풍치" 잇몸병인데요.
잇몸 뼈가 무너지는 것은 한순간이 아니라
조금씩 진행됩니다.
고덕 치과 잇몸 무너짐 천천히 진행되어서 더 무섭다.
아프지 않아도 치과를 오셔야하고
스케일링을 받아야하는 이유
집중해서 읽어주세요~!

먹는 약도 없고 치료도 안되는 잇몸 무너짐

221216
잇몸 무너짐은 잇몸뼈가 내려가는 현상을 뜻합니다.
잇몸이 치아를 제대로 지탱하지 못하고 내려앉는것이죠.
치주질환으로 인해 발생하며 잇몸이 내려가면서
치아가 흔들리는 현상으로 이어질 수 있습니다 .
문제는 약을 먹는다고 내려간 잇몸이 차오르지를 않아요!!
만성으로 서서히
아주 조금씩 진행되기 때문에
증상이 심각해지고 나서야 발견하는 경우가 많습니다.
예방해주는 수밖에 없어요.
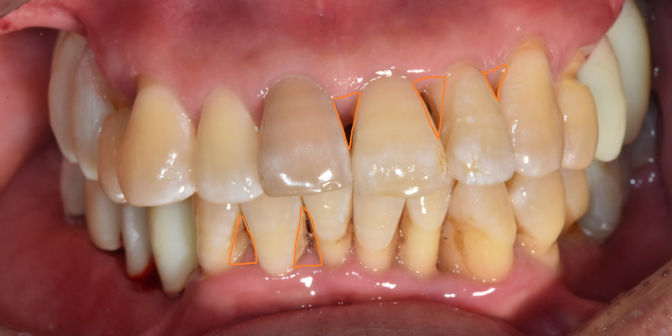
잇몸 무너짐의 주요 특징
- 잇몸 퇴축
잇몸이 치아 뿌리 부분까지 내려가면서
치아가 길어보이거나 치아 뿌리가 드러나게 됩니다.

240105
나이가 들면서 치아가 길어보이거나
치아 사이 사이 틈이 벌어졌다면 잇몸이 내려갔나?
의심해보셔야해요!!
- 치아 흔들림

230703
잇몸뼈가 치아를 딱 붙잡고 지지를 해줘야하는데
잇몸이 주저앉고 무너짐이 발생하면
치아 뿌리를 붙잡는 부분이 점점 없어지게 됩니다.
그래서 치아가 흔들리게 되고 이것을 "풍치"라 표현하는데요.
잇몸뼈가 특정 치아만 녹아 없어지는 것이 아니고
연쇄적으로 일어나기 때문에
치아 전반적으로 흔들거리는 증상이 생깁니다.
(가장 큰 문제이죠..)
- 잇몸에서 피가 남
잇몸이 약하기 때문에
작은 자극에도 피가 날 수 있습니다.
고덕 치과를 방문해주신 환자분의 이야기를 들어보면
양치도 아파서 못하겠다고 하시더라고요ㅠㅠ
- 구취 입냄새

240725
잇몸에 염증이 있기 때문에
구취가 날 수 있습니다.
잇몸 무너짐은 정상적인 잇몸에서는 일어나지 않거든요~
잇몸이 붓고 피가 난다거나
질병이 있는 것이 치료가 되지 않다보니 서서히 진행됩니다.
- 이가 시림

240725
치아도 시릴 수 있습니다.
잇몸이 내려가면서 치아 뿌리가 노출되고
신경과 가깝기 때문에 시큰 시큰 시릴 수 있습니다 .
잇몸 무너짐 예방하는 방법 고덕 치과에서 알려드려요!!
정기적인 스케일링 몹시 중요합니다!!
치석이 세균들이 모여서 만들어진 것인데
이 치석들이 모여서 잇몸을 파괴시켜요
단단하게 굳었기 때문에 칫솔질로는 절대 제거가 되지 않습니다.
치과에 적어도 1년에 한번씩은 방문하셔서
스케일링을 받아주셔야해요.
https://blog.naver.com/implant_master/223556994606
스케일링의 중요성에 대한 것은
위에 글에 자세히 작성해두었습니다!
무엇보다도 조기 발견과 치료가 중요해요
잇몸에 문제가 생기면 약으로도 재생되지 않고
잇몸치료를 진행하거나
관리를 아무리 잘해주셔도 재생시켜주지는 못합니다.
단지 더 파괴되는 것을 막아줄 뿐이죠!!
양치하다가 피가 난다거나
잇몸이 붓는 증상을 경험하셨다면 그 즉시 고덕 치과를 방문해주세요!!
오늘의 한마디
잇몸 질환은 천천히 진행되지만, 발견되는 순간 데미지가 크다!!
잇몸 건강은 유전적인 영향을 받는 경우가 많습니다.
우리 어머니가 치아가 약하시다면??
나이가 젊을때부터 철저하게 관리를 해주셔야해요.
잇몸은 끊임없이 신호를 보내고 있습니다.
아프지 않을 때도 주기적으로 스케일링!!
고덕 치과를 방문해주세요!!
.
| 본 게시물은 의료광고 법 제56조 1항을 준수하여의료 정보 제공 및 병원 홍보 목적으로 서울 바르디 치과에서 직접 작성하였습니다.제공된 정보는 참고만 하실 것을 권유 드리며 증상 파악 및 정확한 관리 방법은 의료기관에 내원 후 의료진을 통해 안내받으시길 바랍니다.치과에서 진행되는 모든 시술 / 수술은 개인에 따라 (염증, 출혈, 부기 등) 가능성이 있습니다.사전에 의료진과 충분한 상담을 통해 결정하시길 바랍니다.게시물의 치료 사례는 실제 본원에서 치료를 마친 환자분들의 동의하에촬영되었으며 전, 후 사진은 동일 조건에서 촬영되었습니다. |
#고덕치과 #잇몸무너짐