안녕하세요!
서울바르디치과 이주리 대표원장입니다.
치아 교정 진료를 도입하면서
많은 환자분들이 저희 병원을 찾아와주시는데요.
단순히 예뻐지기 위하여 교정을 시작하시는 분들이 계십니다.
절대 절대 말리고 싶어요~
교정은 단순히 예뻐지기 하기 위한 것이 아니고
기능적인 부분을 개선하기 위해 만들어졌으니까요.
어떤 치료든 부작용이 있고
단순히 치아를 고르게 만드는 것을 넘어 장기적인 영향을 미칠 수 있으므로
신중하게 고민해야합니다.
오늘은 치과의사로 치아 교정 시 이것만큼은
꼭!! 고려해보아야한다
2가지에 대하여 안내해드릴께요~~.


- 치료 목적: 심미적 개선 vs 기능적 문제 해결
무엇이든 목적이 명확해야합니다.
목적이 명확해야 치아 교정이 끝난 후에도 만족하실 수 있는데요.
내가 지금 교정을 하고 싶은게
예뻐지기 위해 하고싶은 것인지..
잘 안씹히는 부분을 개선하고 싶은지?
교정을 결심하기 전 한번 생각해보세요.

241116 해당 환자분은 앞니를 개선하고 싶으시겠죠?
치아 교정은 치과 치료 중에서 기간이 가장 깁니다.
최소 6개월에서 길게는 2-3년씩 걸리는 진료거든요.
길고 긴 시간을 투자해서 치료하는데 만족스럽지 못하다??
돌려줘 내 시간과 비용!!!!
후회가 막심이거든요.
치아 배열이 고르지 않다
씹는 기능이 어렵다
라면이 잘 안잘린다
위에 같은 증상이 있다면 상일동 치아 교정 원장님이
본인 상황에 맞는 교정 방법을 추천 드릴께요~
- 시간과 비용
치아 교정은 단기간에 끝나는 치료가 아닙니다.
결혼 전에 끝내주세요. 이게 어려울 수 있다는 말입니다...
사람마다 치아 상태가 다르고 하다보니
내 의지에 따라 진료가 진행되기 어려울 수 있습니다.
예를들어 나는 꼈다뺐다하는 투명교정을 하고 싶은데
치아 상태가 브라켓을 붙여야 할 수 있고
이를 안뽑고 진행하는 발치 교정을 진행하고 싶은데
이를 꼭 뽑아야 문제점이 해결될 수 있다거나...
결론적으로는 시간적 경제적으로 충분히 여유가 되었을 때
치아 교정 시작하시는 것을 추천드립니다!

241122 치아를 움직이는데 이렇게 과학적이랍니다~~~
결론 가장 중요한 환자분의 의지
1)치료 목적을 뚜렷히 해라
- 시간과 경제가 뚜렷한가
상일동 치아 교정 전 두가지
고려해야할 부분에 대해 언급해드렸습니다.
결론은 환자분의 의지가 뚜렷해야한다는 말입니다.
가끔 어린 학생들이 부모님 의지로 교정을 시작했다가
치료 기간이 한없이 길어지곤합니다.
매달, 몇개월에 한번씩 치아 변화에 맞춰
추가적인 변화를 주어야하는데...
마냥 귀찮고 치과 가기 싫고 하다보니
치료가 제대로 진행되지 않는 경우가 많거든요~

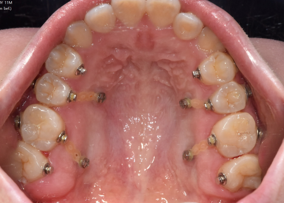
231017 입안에 장치를 달아야할 경우 양치가 어렵겠죠?
또한 입안에 장치가 많다보니 양치하는 데도
시간을 투자해야하고
먹는 음식도 조절이 필요합니다.
상일동 치아 교정 원장님과와 함께라면 걱정 no!!
치아 교정이 많은 결심과 계획이 필요한 치료인 것은 맞지만
고민을 덜어줄 수 있는 믿음직한 치과가 있다면
얘기는 달라지겠죠??

서울 바르디 치과에서는 4명의 원장님과 함께 협진 진료를 시행하기에
교정 과정에서 일어날 수 있는 이벤트에 대처
교정 담당 원장님께서 빠르고 환자분께 적합한
맞춤형 교정 진단을 제공합니다.
여러분의 미소를 위해 첫발을 내딛어 보세요! 😊
| 교정 진단 예약 하러 가기 |
|---|
| 02-481-4278 |
비발치 교정이 가능한지
꼈다 뺐다하는 투명교정이 가능한지
안된다면 왜 안되는 것인지 자세한 설명 드릴께요~~
.
| 본 게시물은 의료광고 법 제56조 1항을 준수하여의료 정보 제공 및 병원 홍보 목적으로 서울 바르디 치과에서 직접 작성하였습니다.제공된 정보는 참고만 하실 것을 권유 드리며 증상 파악 및 정확한 관리 방법은 의료기관에 내원 후 의료진을 통해 안내받으시길 바랍니다.치과에서 진행되는 모든 시술 / 수술은 개인에 따라 (염증, 출혈, 부기 등) 가능성이 있습니다.사전에 의료진과 충분한 상담을 통해 결정하시길 바랍니다.게시물의 치료 사례는 실제 본원에서 치료를 마친 환자분들의 동의하에촬영되었으며 전, 후 사진은 동일 조건에서 촬영되었습니다. |
#상일동치아교정