안녕하세요!
서울바르디치과 장태현 원장입니다.
한 병원을 계속 다니면 참 좋은데
변수가 생길 수 있습니다.
임플란트 수술한 병원이 폐업을 했거나
타 지역으로 이사를 올 수도 있고요.
예전 병원을 다시 갈 수 없어
난감한 경우가 있는데요.
오늘 선동치과에서 치료한 환자분도
이사를 오셔서 수술하신 병원을 못 가는 상황이었습니다.
아주 오래전 다른 병원에서 수술을 받으시고
보철 머리만 다시 만든 케이스를 소개해드릴게요.
타치과 임플란트 as 수리 가능한 선동치과
3분만 집중해 주세요!!

임플란트도 해야하고 다른 병원에서 한 임플란트가 없어졌어요
환자분이 표현해주셨습니다.
임플란트가 없어졌다니
식립한 임플란트가 빠졌나..?
처음에는 임플란트 실패를 의심했었는데요.
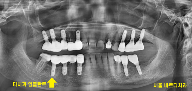
x-ray를 찍어보았습니다.

22.11.24
아하~
임플란트는 잘 남아있고
머리부분인 보철이 없어졌네요.
치아 뿌리를 임플란트라 표현하지만
환자분들은 머리 부분을 임플란트라 생각하는 경우가 많죠~
환자분께는 임플란트는 잘 붙어 있다.
위에 씹는 머리가 없어진건가요~?
여쭤봤습니다.
보철물을 가지고 오셨으면
다시 붙여드리는 게 가능한데 ..
없어지셨다고ㅠㅠ
보철이 워낙 작아서 잃어버리기 경우도 꽤 많습니다 ㅎㅎ
이럴 경우 새로 만들어야 하는데요.
가장 좋은건 하셨던 병원에 가시는게 제일 좋지만
이사를 오셔서 수술 했던 병원을 방문하시는게
어렵다고 하셨습니다.
부득이한 경우 제가 최대한 해결해드립니다.

221124

221124
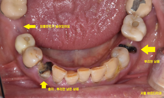
임플란트 머리 빠진 것 뿐만 아니고
전반적으로 치료는 필요했습니다.
다른 부분도 충치도 있고
뿌리만 남은 게 있어서
치료가 필요했습니다.
뿌리만 남은 부분은 발치 후 임플란트
타 치과 임플란트는 as 해서 쓰기로 상담해 드렸습니다.
타 치과 임플란트는 뽄만 뜨면 되기 때문에
사실상 치료 과정은 간단한데요.
처음에 하셨던 병원을 가는게 제일 좋다고 말씀 드렸잖아요?
이유가 다~ 있습니다.
설명좀 드릴께요~

221219
뿌리만 남은 부분 뽑고 임플란트 한 사진입니다.
임플란트와 내 뼈가 붙을 동안
그 사이 다른 부위 충치 치료도 하고..
잇몸 관리도 해드렸습니다.

230428
보시면 양쪽 임플란트 모양이 다르게 생겼죠?
다른 회사 제품이라는 뜻입니다.
임플란트 만드는 회사마다 디자인도 규격도 다 다릅니다~!
임플란트 as 할 때 제일 문제점은
어떤 회사 임플란트인지 알아내는 것입니다.
임플란트는 나사 구조로 쪼였다 풀었다 하면서
사용을 하는데요.
회사별로 나사를 쪼이고 푸는 기구를
다 다르게 만듭니다!
다양한 회사 제품을 보유하지 않으면
기구가 안 맞아서
임플란트 as가 어렵습니다.
이러한 이유로 하셨던 병원에 가서
임플란트를 하시라고 듣기도 하는데요.
회사만 찾아내면 수리하는 것은 일도 아닙니다.

230630
뿌리 끝 다른거 보이시죠?
수백개의 임플란트 회사 제품 사진을 비교하여
제품을 알아내긴 했는데...
해당 환자분도 저희 병원에서 사용하는 임플란트는 아니었습니다.
(모든 회사의 제품을 다 보유하지는 않아요...)
여기서 물러설 저 장태현이 아니죠??
기구를 구하여 치료를 마무리했습니다.

240118
제품만 알아내면 치료는 금방입니다.
앞으로 임플란트 관리까지 저희 병원에서 진행해드릴게요~!
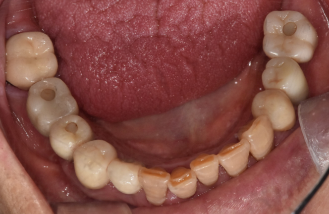
<완성 사진>

240118

240118
여기저기 충치도 있고
뿌리만 남아있었는데 싹~ 치료하신 모습을 보니
뿌듯합니다.
깔끔해졌습니다.
더 이상 문제 생기시지 않도록
정기 점검 약속을 잡아드렸습니다.
참고적으로 선동 치과에서는 4가지 제품을 사용합니다.
오스템, 덴티스, 포인트 임플란트, 메가젠까지
다양한 회사의 임플란트를 취급해서
환자분 잇몸에 제일 적합한 제품을 추천드리는데요.
환자분들은 임플란트 어디껄로 하셨어요?
물어보면 많이들 모른다고 얘기해주십니다.
일단 임플란트 as 수리가 필요한 것 같다?
저희 병원을 방문해 주세요.
최대한 치료해 드리겠습니다!!
☎02-481-4278
저희 병원을 찾아오신 환자분들
치과가 없어져서 곤란하시지 않게
선동치과의 대표 병원이 되겠습니다.
한자리에서 오랫동안
주민분들의 치아를 지키겠습니다.
대표원장 장태현이었습니다!!.
| 본 게시물은 의료광고 법 제56조 1항을 준수하여의료 정보 제공 및 병원 홍보 목적으로 서울 바르디 치과에서 직접 작성하였습니다.제공된 정보는 참고만 하실 것을 권유 드리며 증상 파악 및 정확한 관리 방법은 의료기관에 내원 후 의료진을 통해 안내받으시길 바랍니다.치과에서 진행되는 모든 시술 / 수술은 개인에 따라 (염증, 출혈, 부기 등) 가능성이 있습니다.사전에 의료진과 충분한 상담을 통해 결정하시길 바랍니다.게시물의 치료 사례는 실제 본원에서 치료를 마친 환자분들의 동의하에촬영되었으며 전, 후 사진은 동일 조건에서 촬영되었습니다. |
#선동치과 #임플란트as #임플란트수리