안녕하세요!
서울바르디치과 장태현 원장입니다.
치과 치료 중 성공률이 제일 낮다고 말할 수 있는 것이 신경치료입니다.
마지막으로 치아를 보존할 수 있는 치료법이지만
때때로 신경치료 후에도 통증이 지속되거나
치아 뿌리에 금이가서 결국 발치에 이르는 경우가 있는데요.
신경치료 후 통증 치아 뿌리 금으로 발치 후 강일역 임플란트
오늘 환자분도 신경치료 후에도 계속 아파
발치까지 하시게 되었습니다.
오늘은 신경치료가 실패하는 이유와
해결할 수 있는 방법을 알아볼께요!!

자연치아를 살리기는 어렵다 . 신경치료는 왜 실패할까?

231115
충치가 커도
치아 뿌리에 염증이 생겨도
치아에 금이 가도
다양한 이유로 신경치료를 하게됩니다.

231115
치아에 구멍을 뚫고 안쪽에 있는 신경을 제거하는 것을 신경치료라 말하는데
치아 내부는 마치 미로처럼 되어있습니다.
또한 신경은 인삼 뿌리처럼 굉장히 얽히고 설켜있어서
신경치료로 모든 신경 조직을 완전히 제거하는 것이 어렵습니다ㅠㅠ
그러다보니 신경치료 후 통증이 느껴질 수 있는데요.
일시적인 증상인지 문제가 있는지는 관찰하면서 지켜봅니다.
신경치료 후 통증 원인
-
감염의 재발
-
미세 금 또는 균열
-
치과 기술 및 기계의 한계
주로 3가지로 요약해볼 수 있습니다.
치아 뿌리의 끝 부분까지 미세한 감염이 있으면
완전히 제거가 되지 않았거나 세로운 세균이 침투해 염증을 일으키곤합니다.
치아 안쪽 부분이 워낙 미로처럼 복잡해
최대한 제거를 해드려도
미세하게 남아있을 수 있단 얘기죠ㅠㅠ
재신경치료라는 과정을 통해 다시 한번 치료해볼 수 있는데요.
성공을 하여 통증없이 사용하는 경우도 있지만...

231206
재신경치료 이후에도 계속 아픈 경우가 있습니다.
아픈 치아쪽으로 씹지 않아도 욱신 욱신
환자분들께서 뭘 씹을 수가 없다고 많이들 표현해주세요.
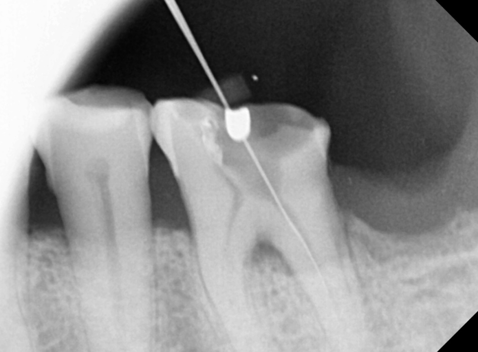
오늘 환자분도 계속된 통증으로 치아 뿌리 금이 강력하게 의심되었습니다.
그런데 이 미세 금이라는 것이ㅠㅠㅠ
뼈 안에 박혀있다보니 안보입니다.
x-ray에서는 뿌러지지 않는 이상 알 수가 없습니다ㅠㅠㅠ
환자분은 아프다고 하시는데
x-ray에서는 이상이 없어보이고 미치고 팔짝 뛰는거죠

240108
이런 경우 3차원적으로 볼 수 있는 ct를 찍어보는데
치아 뿌리에 금이 관찰됩니다.
금이 간 것을 다시 붙일 수가 없어요.
이럴경우에는 신경치료만으로는 문제를 해결하기 어렵습니다.
금이 점차 치아 내부로 확장되면서 세균이 침투
염증도 일으키고 씹을 때마다 벌어지기도 하고
이럴 경우에는 발치를 고려해야합니다.

240430
오늘의 환자분도 신경치료 후 통증으로 고생하시다가
발치 후 강일역 임플란트 진행했습니다.
이런 경우가 제일 안타깝습니다.
금이 빨리 발견되면 좋은데...
원인 없는 통증은 없기에
신경치료 후 통증 느껴지신다면 우선 치과로 내원 부탁드립니다.

240905 강일역 임플란트 결과
통증의 원인을 빠르게 파악하여
다시 치료할지 뽑을지 결정해
통증 타파!하겠습니다.
02-481-4278 (직접 통화)
위에 번호로 전화 후 내원 부탁드립니다.
요즘 환자분들이 많아 예약 없이는
무한 대기가 발생됩니다.
원하시는 시간대로 안내해드릴께요~!!
| 본 게시물은 의료광고 법 제56조 1항을 준수하여의료 정보 제공 및 병원 홍보 목적으로 서울 바르디 치과에서 직접 작성하였습니다.제공된 정보는 참고만 하실 것을 권유 드리며 증상 파악 및 정확한 관리 방법은 의료기관에 내원 후 의료진을 통해 안내받으시길 바랍니다.치과에서 진행되는 모든 시술 / 수술은 개인에 따라 (염증, 출혈, 부기 등) 가능성이 있습니다.사전에 의료진과 충분한 상담을 통해 결정하시길 바랍니다.게시물의 치료 사례는 실제 본원에서 치료를 마친 환자분들의 동의하에촬영되었으며 전, 후 사진은 동일 조건에서 촬영되었습니다. |
#길동치과 #임플란트대안