안녕하세요~
서울바르디치과 이주리 대표원장입니다.
연예인처럼 하얀 치아는 누구나 동경하는 대상입니다.
연예인 같이 밝고 고른 치아를 만드는 대표 치료로
치아 미백과 라미네이트를 꼽을 수 있는데요.
두 시술을 동시에 하는 경우도 있습니다.
그렇지만 두가지를 함께 진행할 때는 순서를 잘 정해야해요!
하나하나 천천히 설명 드리겠습니다.
고덕동 치과에서 시행한 라미네이트와 치아 미백 과정 및 순서
let's go!

- 정밀 진단 및 상담
시술 전에 치아의 상태를 정확히 파악하기 위해 구강 검사와 엑스레이 촬영을 진행합니다.
라미네이트와 치아 미백 모두
현재 환자분이 가지고 있는 본연의 치아 색을 파악하는게 제일 중요해요!!
그리고 치아 형태를 파악
어디까지 라미네이트를 할지
치아미백으로 할 것인지
상의가 필요합니다.
그리고 시술을 받으려는부위에 충치나 잇몸 질환이 있을 경우
이를 먼저 치료해야합니다.

230523
고덕동 치과 아래 앞니가 벌어져서 내원하셨는데요.
보니까 치아 주변으로 치석이 쌓여있네요~
1차적으로 치석부터 제거하고 재평가를 해보았습니다.

230523
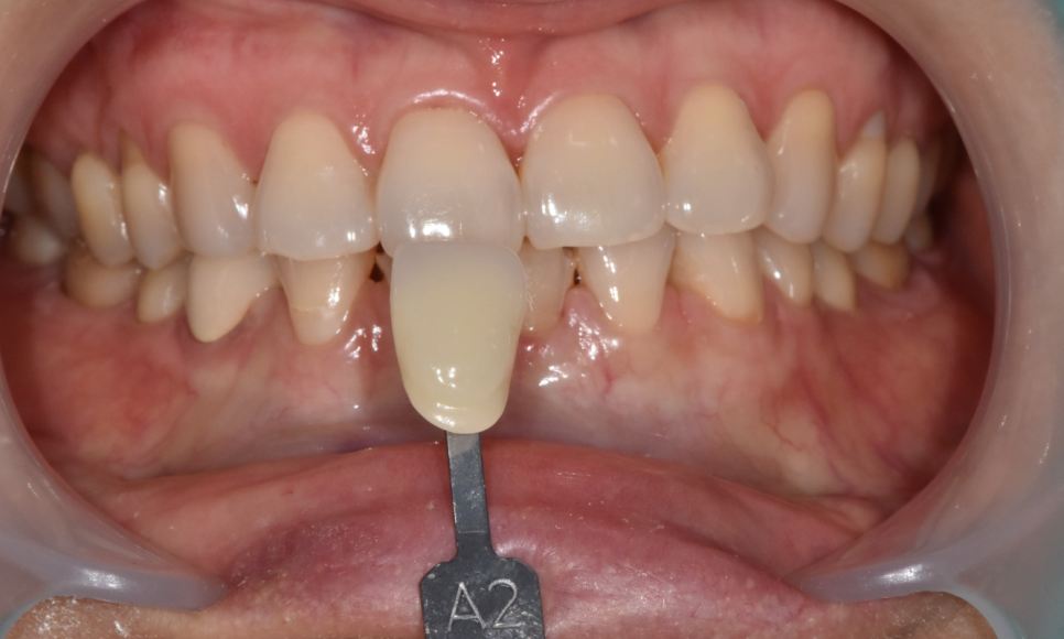
현재 환자분이 가지고 계신 색상은 A2정도입니다.
숫자가 작아질수록 밝아진다 생각하시면 되는데요.
A3 -> A2 -> A1 순서일수록 밝은 것이죠!
앞니는 심미적인 부위라 환자분의 니즈를 파악해보았습니다.
심미 치료는 치과의사인 저의 판단보다
환자분의 의사가 중요한 경우가 많거든요~
1)아래 앞니 벌어짐을 해결
- 색상을 밝게
2가지를 원하셨습니다.

230523
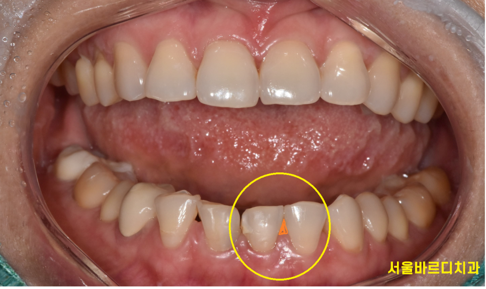
벌어진 아래 앞니 2개만 라미네이트를 우선 진행
주황색으로 표시한 부분을 사이가 보이지 않게
최대한 메꿔드리기로 하였습니다.
그리고 전반적으로 약간 회백색을 띄는 치아 색깔을
미백으로 하얗게 만들기로 상담해드렸습니다.
라미네이트와 치아 미백 두가 진료를 같이하다보니
치료 시간보다 상담 시간이 길었던 기억이 납니다 ㅎㅎㅎ
- 치아 미백 진행
라미네이트와 치아 미백 두가지를 같이 할 때는
치아 미백을 먼저 진행하는 것이 일반적입니다.
치아 미백 후 치아 색상이 밝아지면
라미네이트 색상을 이에 맞춰 제작할 수 있거든요~
염색이 잘 먹는 사람이 있듯
치아 미백으로 치아가 하얗게 되는 것도 잘되는 사람
잘 안먹는 사람 다양합니다.
그래서 어느정도 하얗게 될지 치아 미백부터 하고
그에 맞춰 보철을 제작하는거죠.

230703
오늘 환자분도 2번의 미백을 통해
기존 A2 색상을 A1까지 만든 후
라미네이트 제작을 진행했습니다.
- 라미네이트 디자인 및 제작
미백으로 치아 색상이 안정되면 라미네이트 제작을 시작합니다.
치아 형태, 크기 , 색상을 설계하고
본을 떠서 라미네이트를 제작해요!

230523
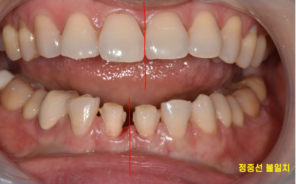
환자분은 치아의 가운데 선
정중선이 어긋난 안면 비대칭 상황이었습니다.
보철로도 맞출 수 없다는 것을 인지 후
라미네이트를 제작해드렸습니다.
- 라미네이트 부착
제작된 라미네이트를 치아에 부착하며 시술을 마무리합니다.

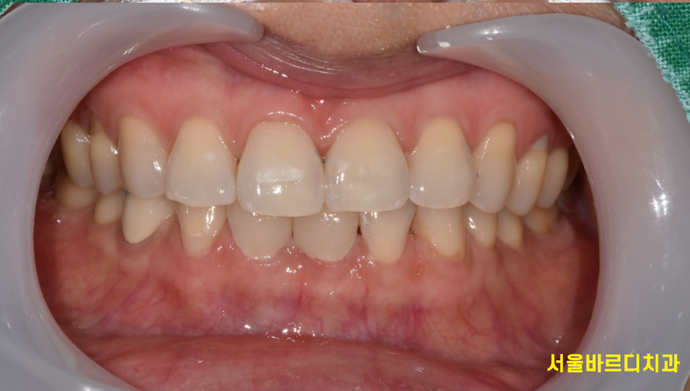
230608
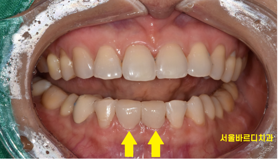
앞니 벌어진 부분 틈새를 라미네이트를 통하여
메꿔드렸습니다.
치아 색상도 훨씬 밝아졌죠~?
- 시술 후 관리
여기서 끝나지 않았습니다.
라미네이트 치아가 깨질 수 있기 때문에
딱딱한 음식을 앞니로 드시는 것은 피해달라 말씀드렸습니다.
또한 치아 미백은 색깔이 강한 음식을 드시게되면
다시 원상 복귀 될 수 있기에
커피 , 와인, 짙은 색소가 있는 음식을 피해달라 말씀드렸습니다.

230608
이제 환하게 웃으세요 환자분~
결론
라미네이트와 치아 미백 동시에 할 경우에는
치아 미백으로 색깔을 먼저 밝게 한다.
하지만 이것도 경우에 따라 달라질 수 있기에
우선 고덕동 치과에 내원하셔서 상담 받아보세요!!
| 앞니 예뻐지는 상담 진행 |
|---|
| 02-481-4278 (직접 통화) |
최근 고덕동 치과를 내원하시는 환자분들이 많아져
대기시간이 있을 수 있습니다.
그렇지만 환자 한분 한분 진심으로 봐드리는
서울바르디치과의 진료철학은 변하지 않겠습니다.
기다리고 싶지 않은 마음 알고 있습니다.
오시기 전에 전화 꼭! 부탁드릴께요!!
.
| 본 게시물은 의료광고 법 제56조 1항을 준수하여의료 정보 제공 및 병원 홍보 목적으로 서울 바르디 치과에서 직접 작성하였습니다.제공된 정보는 참고만 하실 것을 권유 드리며 증상 파악 및 정확한 관리 방법은 의료기관에 내원 후 의료진을 통해 안내받으시길 바랍니다.치과에서 진행되는 모든 시술 / 수술은 개인에 따라 (염증, 출혈, 부기 등) 가능성이 있습니다.사전에 의료진과 충분한 상담을 통해 결정하시길 바랍니다.게시물의 치료 사례는 실제 본원에서 치료를 마친 환자분들의 동의하에촬영되었으며 전, 후 사진은 동일 조건에서 촬영되었습니다. |
#고덕동치과 #라미네이트치아미백