안녕하세요~
서울바르디치과 대표원장 장태현입니다.
밥을 먹다가 이가 부러지면
굉장히 당황스럽죠~?
보철만 쏙! 빠져 나온 것이 아니라
치아가 부러졌을 때 말입니다.
걱정되어 놀라 달려오셨을 환자분들을 위하여
어떻게 치료하는지 말씀드릴까합니다.
보철 부러짐 발생으로 치아 뿌리만 남았을 때 치료 방법 임플란트

우선 속상하고 화가나고 놀라셨을 마음
잘압니다.
치아가 부러져 얼마나 놀라셨을까요?
내가 왜 그 음식을 먹었을까 자책도 하셨을텐데요.
위로의 한마디 드리자면
부러질 치아가 부러졌다 생각하시면 됩니다.
원래 안좋은 치아였다는 뜻이죠.
언젠가는 부러졌을꺼라는 말...
보철이 부러졌어요
미치겠어요
오늘 소개해드릴 환자분도 보철 부러짐으로
급하게 저희 병원을 찾아오신 분입니다.

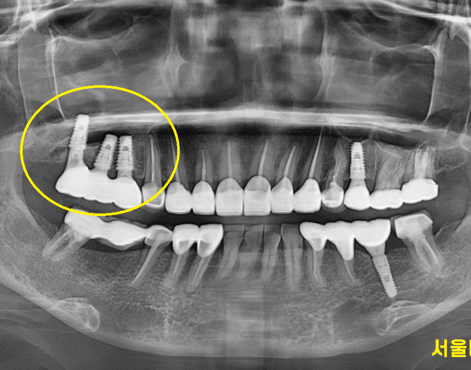
240208
사실상 치아가 제 기능을 다하고 부러진거죠
내부가 까만 것이 다 썩었습니다.
남아있는 치아 부분도 거의 없네요.
사실 이 환자분은 계속해서 저희 병원에서 치료중이셨습니다.
다른 부분을요..

230814
맨 처음 저희 병원 오셨을 때부터
뿌리쪽 충치도 보이고
치아가 안좋지만 뽑기에는 아까우니
쓸 때까지 쓰라고 말씀드렸던 부분입니다.

230814
겉으로 눈으로 보기에는 멀쩡해보이는데
x-ray를 찍으면 다 보입니다~
어쨌든..
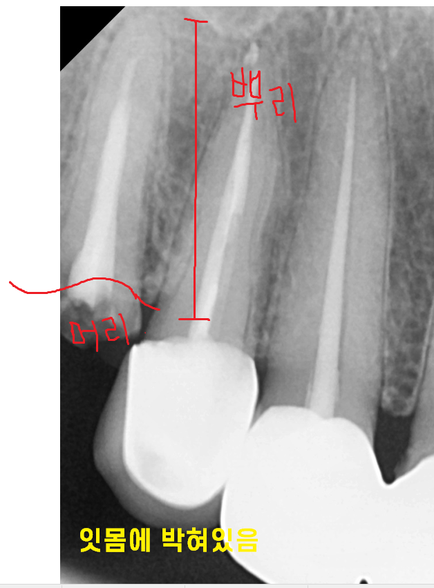
보철 부러짐 주요 증상은
치아가 부러지면서 보철 안에 박히게 됩니다.
치료 방법은 남아있는 치아 상태가 결정합니다.
치아의 양이 많이 남아있고
내부 상태가 깨끗하면 보강해서 사용해 볼 수 있겠으나
오늘처럼 내부가 까맣고 푸석푸석
뿌리 부부만 남아있으면
뽑는게 답입니다.

240313
머리 부분이 아주 조금만 남아있죠?
단단한 치아는 쉽게 부러지지 않는데요.
사람의 몸에서 제일 단단하거든요
(뼈보다 강합니다!!)
그런 치아가 보철과 함께 부러진거라면
이제 보내줘야합니다...
안타깝지만....

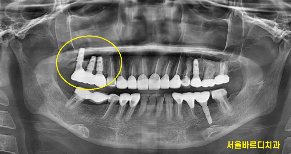
240415
발치 후 임플란트를 해주었습니다.
기존에는 치아 1개가 없지만
양 옆 치아를 깎아서 보강해준 브릿지 형태였지만
이번에는 부러지거나 탈나지 않게
임플란트 치료로
모자른 개수 없게 치아 원래 개수대로
만들어주었습니다.

240208
수술 진단 시 문제가
상악동과 근접한거였는데요.
임플란트 길이가 5.4mm정도 부족한 것은
상악동 거상을 동반한 뼈이식으로 해결하였습니다.
상일동 임플란트 상악동 거상술을 동반한 수술 .. : 네이버블로그
위에 제가 쓴 글에 자세하게 설명이 되어있습니다!
<완성 사진>

241031
보철 부러짐 감쪽같게 임플란트로
치료 완료하였습니다.
이미 부러져
치아 뿌리만 남은 것은 어쩔 수 없습니다.
일어난 것을 되돌릴 수도 없고요.
일어날께 일어났다 생각하고
어떻게 해결할지 우리 같이 고민해보아요.
제 도움이 필요할 때
언제든 전화 주세요!!
감사합니다.
02-481-4278 (바르디치과 직통 연결)
| 본 게시물은 의료광고 법 제56조 1항을 준수하여의료 정보 제공 및 병원 홍보 목적으로 서울 바르디 치과에서 직접 작성하였습니다.제공된 정보는 참고만 하실 것을 권유 드리며 증상 파악 및 정확한 관리 방법은 의료기관에 내원 후 의료진을 통해 안내받으시길 바랍니다.치과에서 진행되는 모든 시술 / 수술은 개인에 따라 (염증, 출혈, 부기 등) 가능성이 있습니다.사전에 의료진과 충분한 상담을 통해 결정하시길 바랍니다.게시물의 치료 사례는 실제 본원에서 치료를 마친 환자분들의 동의하에촬영되었으며 전, 후 사진은 동일 조건에서 촬영되었습니다. |
#보철부러짐 #치아뿌리만남았을때