안녕하세요~
서울바르디치과 이주리 원장입니당ㅎㅎㅎ
요즘 환자분들의 "심미"에 대한 관심도가 아주 뜨겁습니다!!
어금니 뿌리 염증은 치료를 안하는 경우가 많지만
앞니가 조금이라도 맘에 안들면
바로 치료하는 경우가 많은데요.
오늘 환자분도 오래된 앞니로 인해 고민을 털어놓으셨습니다.
앞니 잇몸 검은색 라인 오래된 pfm 보철 교체하세요!!
집! 중!!

앞니가 보기 싫어요

240622
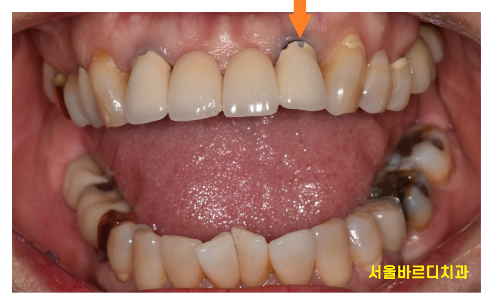
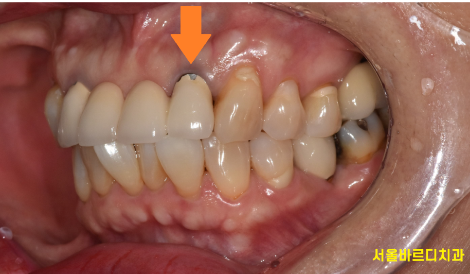
앞니 보철이 깨졌네요~
깨진 것도 그렇지만
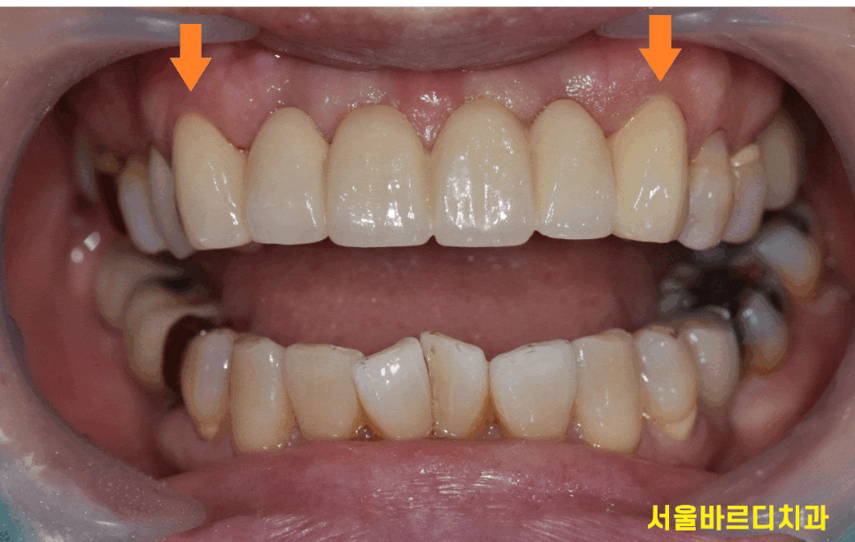
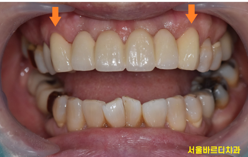
앞니 잇몸 검은색 라인 까매서 보기 싫다고 하셨는데요.
"충치먹은건가요~?" 물어보셨습니다.

240622
약간 잇몸이 거뭇거뭇하게 보이는걸
보실 수 있으실텐데요~
충치는 아니고 pfm 보철로 하셔서
저렇게 보이는겁니다!
앞니 잇몸 검은색 라인은?
검은색 라인을 설명하기 전 보철 설명을 먼저 하겠습니다.
pfm 예전에 많이 사용하던 보철입니다.
2겹으로 되어있는데
내부는 금속
외부는 도자기로 덮어 씌워져있죠~

그래서 아까 환자분도 보철이 깨졌던 것이
겉에 부분이 도자기라 그렇습니다.
접시 깨지듯 탕~
앞니 잇몸 검은색 라인 왜그런 것일까요?
보철 내부가 금속이라고 말씀 드렸는데
시간이 지나면서 잇몸이 점점 퇴축하거든요~
쉽게 말해 밑으로 내려간다는 뜻입니다.
잇몸이 내려가면서 쇠 부분이 노출
잇몸 부분이 검게 비춰 보이는거랍니다~!

240622
해결책은 어떻게 해야하나요?
앞니 잇몸 검은색 라인이 신경쓰이시면
오래된 보철을 교체해주면 됩니다.
사실 기능적으로 문제가 없으면 그냥 쓰셔도 무방하지만
문제는 앞니라는 겁니다.
앞니는 눈에 잘보이는 심미적인 부분이기에
신경이 많이 쓰이실텐데요~

240622
오늘 환자분은 앞니가 보기 싫을 정도로
오래된 pfm 교체를 원하셨습니다.
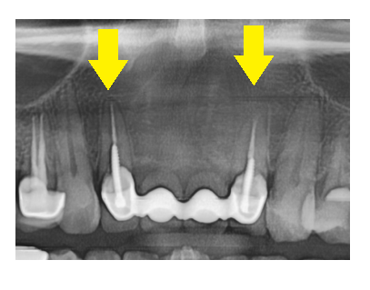
x-ray를 찍어보니 신경치료와 함께
기둥도 심어져있는게 확인됐는데요~
치아가 약해 보강한 증거입니다.
환자분께는 우선 오래된 pfm 보철 제거 후
치아를 재평가를 해봐야한다.
치아 내부에 충치도 있을 수 있고
상태가 안좋으면 발치까지 할 수 있다.
지금은 4개의 보철로 앞니가 연결되어있지만
상태가 안좋을 경우 6개로 치료해야한다
충분히 설명드렸습니다.
또한 앞니 잇몸 검은색 라인을 해결하기 위해서는
기존에 한 pfm 보철이 아닌 지르코니아를 추천드렸습니다.

내부까지 하얀 지르코니아
pfm으로 또다시 하게 되면
일시적으로는 해결이 되지만
시간이 지나면 잇몸 부분이 또 까맣게 보일꺼니까요~
환자분이 동의를 해주셔서
보철을 제거해보았습니다.

240701
역시나 하신지 10년이 넘었고
치아를 보강했던 흔적이 있던만큼
내부 상태가 좋지 않았습니다.
내부가 다 삭아있었는데요.
이대로 치료를 하게되면
오래 못쓸것이 분명하여 발치 후
송곳니부터 송곳니까지
6개의 치아를 걸어 치료하기로 하였습니다.
앞니는 자르는 기능을 수행하고
힘이 많이 안닿기에 가능한 일이죠~

240719
지르코니아 보철로 앞니를 교체하였습니다.
예전에는 pfm 보철을 많이 사용하였지만
오늘 환자분처럼 깨질 수 있고
시간이 지나면서 잇몸 부분이 까맣게 보일 수 있는 단점이 있어
요즘에는 강도도 튼튼하고
심미적인 지르코니아 보철을 대부분 사용하고 있습니다.
시간이 지날수록 재료는 계속 개발되니까요~
오늘의 치료방법
앞니 잇몸 검은색 라인은 충치가 아니다.
오래된 pfm 보철을 교체하면 해결된다!
치료는 기능과 통증을 개선하는 것은 맞지만
심미적인 부분도 무시할 수 없습니다.
자연스럽고 아름다운 치아는
자신감이 훨씬 올라가기 때문이죠!
환하게 미소를 보이고 싶으신 환자분
앞니 때문에 자신감이 없으신 환자분
궁금하신 사항 언제든지 문의 주세요.
| 예약 전화하러 가기 |
|---|
| ☎02-481-4278 |
환자분의 니즈가 충족될 수 있도록
자신감을 찾으실 수 있게
도와드리겠습니다!!
대표원장 이주리였습니다!!
.
| 본 게시물은 의료광고 법 제56조 1항을 준수하여의료 정보 제공 및 병원 홍보 목적으로 서울 바르디 치과에서 직접 작성하였습니다.제공된 정보는 참고만 하실 것을 권유 드리며 증상 파악 및 정확한 관리 방법은 의료기관에 내원 후 의료진을 통해 안내받으시길 바랍니다.치과에서 진행되는 모든 시술 / 수술은 개인에 따라 (염증, 출혈, 부기 등) 가능성이 있습니다.사전에 의료진과 충분한 상담을 통해 결정하시길 바랍니다.게시물의 치료 사례는 실제 본원에서 치료를 마친 환자분들의 동의하에촬영되었으며 전, 후 사진은 동일 조건에서 촬영되었습니다. |
#앞니잇몸검은색라인 #오래된pfm보철