안녕하세요~
서울바르디치과 통합치의학과 전문의 장태현입니다.
이전에도 몇번 말씀드렸지만
어금니는 염증이 있어도 치료를 잘 안받습니다.
그렇지만 앞니는 통증 여부와 상관없이
조금이라도 문제가 있으면 바로 바로 치료를 받으시는데요.
솔직한 심정으로 지금 앞니 치료하실 때가 아닌데.. 싶을 때도 있습니다.
치아뿌리 염증 통증 유무 상관없이 치료를 받아야하는 이유
왜 통증이 없어도 치료를 받아야하는지
이유를 좀 알려드릴까 합니다.
만성 뿌리 끝 염증에 시달리고 계신 환자분들
3분만 집중해서 읽어주세요!!

치아뿌리 염증이 생기면?

240418
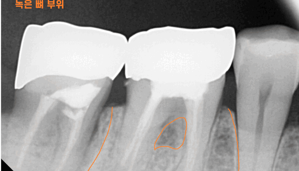
치아 뿌리 끝 염증은 주로 x ray 촬영을 통해 발견됩니다.
치료 여부와 상관없이
문제가 있는 부분은 모두 알려드리고 있기에
상태가 좋지 않다 설명드리면
10명 중에 9분은 안아파요! 라고 말씀하십니다.
그래서 치료의 중요성, 필요성을 잘 못느끼시더라고요~
치아뿌리 염증통증 없는 경우가 더 많습니다.
만성이니까요~
만성의 사전적 정의를 보면
병이 급하거나 심하지도 아니하면서
쉽게 낫지도 아니하는 성질이라 나와있습니다.
반대로 급성은 말 그대로 급하게 빠르게 진행되는데
그래서 아픕니다.
통증이 무지 막지해서
환자분들이 원장님 살려주세요!! 많이들 표현해주시죠..
치아뿌리 염증 만성 증상
아니 치아에 염증이 있는데 왜 몰라요...?
내가 내 자신을 몰라??
어떤 분들은 과잉 진료가 아니냐 생각하시기도 합니다.
환자분은 모르실 수 있습니다.
통증도 없을 수 있는걸요ㅠㅠ
대신 아래와 같은 신호가 있을 수 있어요
- 피곤하거나 컨디션이 안좋으면
잇몸이 한번씩 부어 오를 수 있습니다.
https://blog.naver.com/implant_master/223568580659
- 치아가 흔들릴 수 있어요

240418
염증이 있기에
주변 잇몸뼈를 녹이거든요~
그렇지만 큰 어금니는 보통 뿌리가 3-4개 되기에
뼈가 일부 녹아도 불편할 정도로 이가 흔들리지 않습니다.
- 가끔씩 느껴지는 기분 나쁜 통증
치아뿌리 염증 있으니까
아예 안아플 수는 없어요~
통증은 사람마다 다르지만
가끔씩 씹을 때 불편감, 통증 느끼실 수 있답니다.
- 구취, 잇몸에서 피는 set로 진행됩니다.
위에 4가지 증상이 있으시면
점검을 받으러 오셔야겠죠~?
지금 상태라도 확인하셔야하니까요!
| 상담 하러 가기 |
|---|
| 02-481-4278 |
치아뿌리 염증 통증이 없어도
치료를 받아야하는 이유
뼈를 계속 녹이니까요.
x-ray를 보여드려도 체감을 잘 못하세요~
평면 x ray보다 사실적인
3d ct를 보여드리겠습니다.

240418
뼈는 하얗게 보여야하는데요.
우리가 건강검진 할 때 흉부 엑스레이를 촬영하면
갈비뼈가 하얗게 해골처럼 나오잖아요~
그걸 떠올리면 뼈 = 하얗다
인식이 되실겁니다.
뿌리 염증으로 잇몸뼈를 녹이면
까맣게 변합니다.
뼈가 그만큼 없어지니까요~
치아뿌리 염증 통증은 없더라도 이 염증이 자꾸만 확산되는데
추후 임플란트 치료를 할 때
더 많은 뼈 이식이 필요해요~
당연히 임플란트 예후에도 좋진 않겠죠ㅠㅠ
염증을 제거하고 뼈이식을 하고
공사가 더 커지기도 하고요.
모든지 치료 초기에!
초장에 치료를 해야 뒤탈도 없고 편한 법입니다.

240418
또한 ct에서 6.4mm 보이시죠~?
신경관과 치아 뿌리 사이 간격이 6mm라는 뜻입니다.
어금니 임플란트는 최소 8-10mm를 식립하는데
잇몸뼈를 녹일 수록 위험 부담도 높아지는거죠~
물론 네비게이션 임플란트 기술을 사용하면
최적의 식립 위치를 확인할 수 있기야 하지만
신경관과 가까워 신경손상 가능성이 있다~
이런 주의사항을 말씀드릴때마다
환자분들은 얼마나 놀라시겠습니까
수술 하는거 그 자체로도 공포이실텐데요.

240501
빨간색 동그라미가 신경관인데
ct를 통해 1차 분석
2차로 네비게이션 임플란트 기술 활용
신경관을 피해 안전하게 임플란트 수술 완료하였습니다.
<수술 결과>

240501
오늘의 결론
치아뿌리 염증 통증 없어도 치료를 하는게 좋다.
치료의 결정은 환자분의 몫입니다.
강요는 절대 아니에요~
아프지 않으니 추후에 불편하면 그때 치료하셔도 됩니다.
그렇지만 자꾸 잇몸뼈가 녹는 것을 볼 때마다
안타까운 마음에 글을 작성해보았습니다.
제 마음을 조금이라도 알아봐주시길 바라면서...
오늘도 유익한 글이 되었으면 좋겠습니다.
감사합니다!!
.
| 본 게시물은 의료광고 법 제56조 1항을 준수하여의료 정보 제공 및 병원 홍보 목적으로 서울 바르디 치과에서 직접 작성하였습니다.제공된 정보는 참고만 하실 것을 권유 드리며 증상 파악 및 정확한 관리 방법은 의료기관에 내원 후 의료진을 통해 안내받으시길 바랍니다.치과에서 진행되는 모든 시술 / 수술은 개인에 따라 (염증, 출혈, 부기 등) 가능성이 있습니다.사전에 의료진과 충분한 상담을 통해 결정하시길 바랍니다.게시물의 치료 사례는 실제 본원에서 치료를 마친 환자분들의 동의하에촬영되었으며 전, 후 사진은 동일 조건에서 촬영되었습니다. |
#치아뿌리염증 #치아뿌리염증통증