안녕하세요~
서울바르디치과 대표원장 이주리입니다.
강동구 교정치과 교정 진단비와 관련된 공지를 드릴까합니다.
환자분들이 앞니만 교정할 수 있나요?
투명 교정 가능할까요?
이 안뽑고 교정하고 싶어요.
많은 요청을 해주시는데요.
이러한 모든 답에 질문을 드리기 위해서는
정확한 교정 진단이 필요합니다.

꼭 교정 진단을 해야 알 수 있는건가요?
그런데 이 교정 진단은 눈으로만 할 수 있는게 아니다보니
이러한 질문을 많이 받습니다.
진단비는 단순한 상담료 이상의 중요한 역할을 한다는 것을
알려드릴까합니다.
교정 진단, 그 시작이 왜 중요한가요?
임플란트 치료든 교정이든 첫 진단이 제일 중요합니다.
치료 계획에 따라 치료 결과가 달라질 수 있기 때문이죠.
특히나 치아 교정은 치아를 가지런히 배열하는 그 이상으로
환자의 얼굴형, 턱관절, 기도로 숨쉬는 것까지 관여하거든요~
(놀랍지 않나요~? 무엇이든 다 연관되어있습니다. )
교정 진단은 바로 이 모든 것을 위한 첫걸음입니다!!!
교정 진단 과정: 이렇게 진행됩니다
강동구 교정치과에서는 교정진단비 5만원을 받고 있습니다.
과정을 설명드리면 납득이 가실꺼같아요~
- 1단계: 구강 상태 정밀 검사

230613
기본적인 치아 상태, 잇몸 건강, 충치 유무 등을 확인합니다.
교정을 시작하면 최소 6개월~ 2년 가까이 걸리기 때문에
교정 시작 전 미리 필요한 치료를 끝내야하거든요~
이건 치과를 가도 시행하는 기본 검사니까~
교정 진단은 뭐가 다르냐!!
2단계: 정밀 검사 (X-ray 촬영 및 구외 사진)
치아 교정 치료만큼 사진을 많이 찍는 치료가 없어요~
얼굴 변화, 치아 움직임을 확인해야하기 때문에
사진을 정말 많이 찍는데요.


241115
얼굴 옆 모습을 찍는 x-ray도 찍고

출처 photoalign
증명 사진 찍듯 얼굴 모습도 기록해두죠.
정확한 검사를 위해 머리띠를 쓰고 찍을 때가 있는데
환자분들이 싫어하시더라고요ㅠㅠ

241116



241116

241116

241116
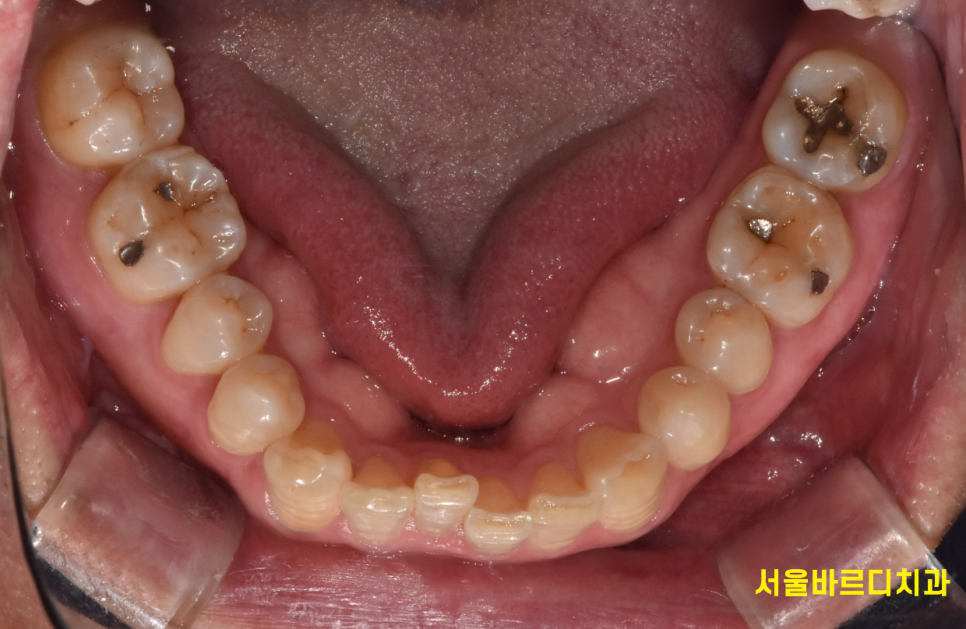
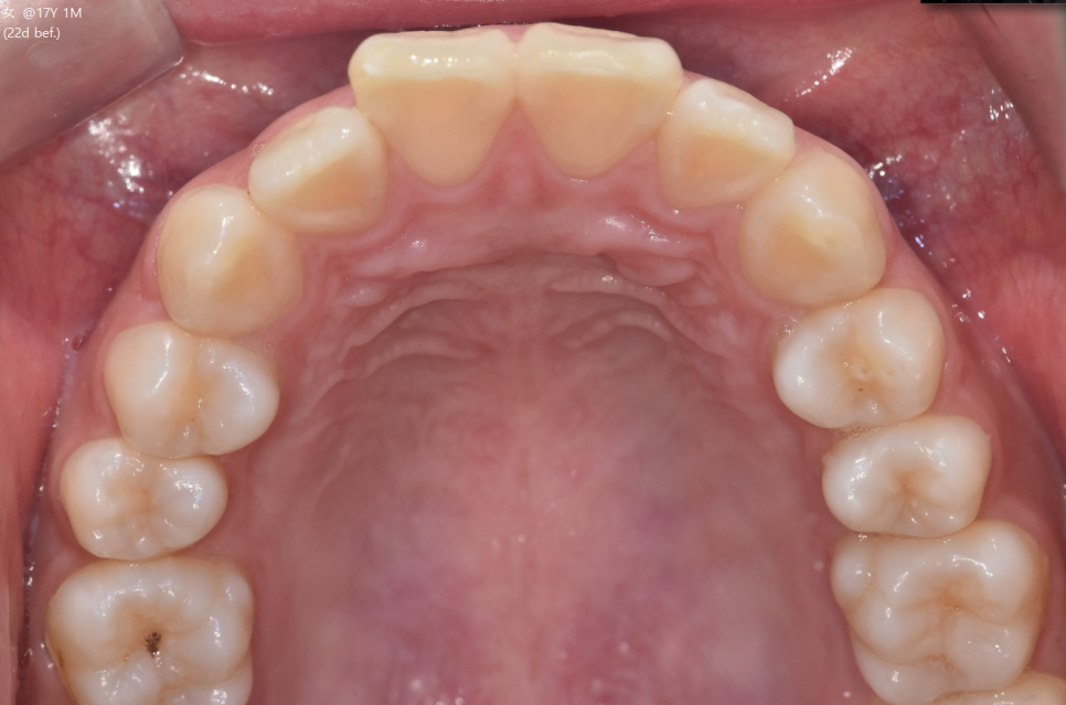
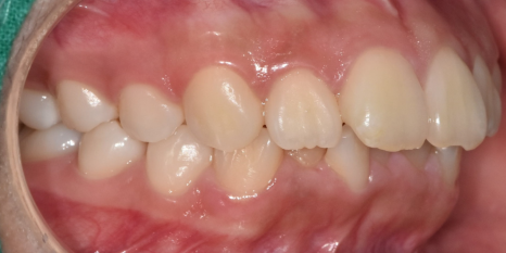
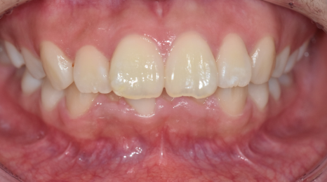
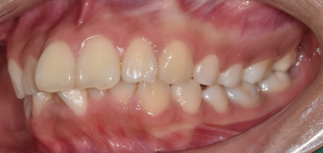
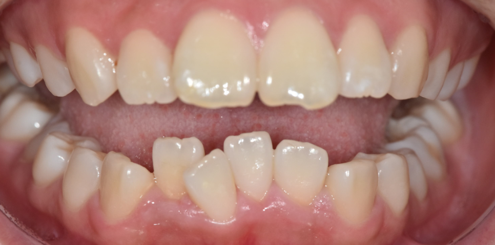
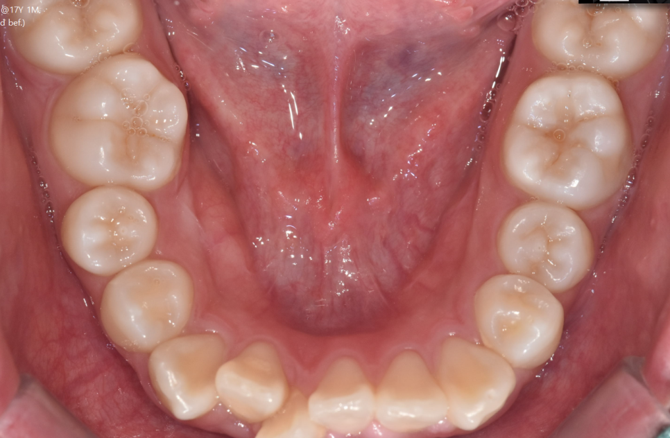
교합 상태, 치아 배열 상태를 확인하기 위해
5분할 포토라 불리는 구강 내 사진을 찍고
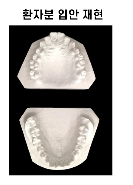
뽄도 뜹니다.

교정 모델을 만들기도 하며
이 과정에서 구강 스캐너가 동원되기도 합니다.
앞으로 교정을 통해 치아가 어떻게 움직일지 예측합니다.

보기만 해도 복잡하죠~?
교정이 잘못되면 치아 한쪽이 안닿기도 하고
턱관절에 무리를 주기 때문에
이러한 복잡한 과정을 통해 치아 교정 진단이 진행됩니다.
3단계: 분석 및 치료 계획 수립
수집한 데이터를 바탕으로 강동구 교정치과에서는
최종 결론을 내립니다.
교정 방법도 정해지고
교정 기간, 발치 여부 등을 수립합니다.

분석은 철저하게!!
교정 진단비 절대 아깝지 않습니다!!
전문적인 분석과 시간 투자를 해야하기 때문에
강동구 교정치과에서는 5만원의 진단 비용이 발생됩니다.
치아의 배열, 턱뼈 구조, 얼굴형 등을 종합적으로 고려한
개인 맞춤형 교정 계획은 교정 성공의 핵심입니다.
진단이 잘못되면 다시 돌이키기 어렵거든요ㅠㅠ
<결론 >
교정 진단비는 불필요한 비용일까요?
절대 그렇지 않습니다!
진단비는 치아 교정을 위한 투자입니다.
진단에 철저히 투자한 만큼,
결과 역시 만족스럽겠죠~?
교정 진단비 아낌없이 투자해주세요!!
강동구 교정치과에서 진단하는데 쓰이는 5만원
절대 아깝지 않도록
철저하게 분석하겠습니다!!
| 교정 원장님이 있는 강동구 교정치과 방문하기! |
|---|
| 02-481-4278 |
치아 모양에 대한 고민
환하게 웃고 싶은 환자분들
고민 말고 연락주세요!!
대표원장 이주리였습니다~!
.
| 본 게시물은 의료광고 법 제56조 1항을 준수하여의료 정보 제공 및 병원 홍보 목적으로 서울 바르디 치과에서 직접 작성하였습니다.제공된 정보는 참고만 하실 것을 권유 드리며 증상 파악 및 정확한 관리 방법은 의료기관에 내원 후 의료진을 통해 안내받으시길 바랍니다.치과에서 진행되는 모든 시술 / 수술은 개인에 따라 (염증, 출혈, 부기 등) 가능성이 있습니다.사전에 의료진과 충분한 상담을 통해 결정하시길 바랍니다.게시물의 치료 사례는 실제 본원에서 치료를 마친 환자분들의 동의하에촬영되었으며 전, 후 사진은 동일 조건에서 촬영되었습니다. |
#강동구교정치과 #교정진단비