안녕하세요
서울바르디치과 대표원장 장태현입니다!!
지난 시간에는 치아에서 시작한 염증이
상악동까지 염증이 번진 이야기를 해드렸는데요.
https://blog.naver.com/implant_master/223685602992
잠시 예고를 해드렸듯
다른 치아도 치료할 것이 많았는데요!
오늘은 뿌리 염증 상황을 치료하는 과정을
작성해보았습니다.
강일동 치과 잇몸뼈 녹음 발치 후 임플란트로 해결했습니다.
어떻게 치료하였나
끝까지 집중해 주세요!!!!


231204
강일동 치과에서 검사한 사진입니다.
제일 불편한 부분은 왼쪽 위
통증이 딱! 느껴지신다 하셨어요.
이 부분은 지난 시간 언급해드린 치성 상악동염이고
그 외에도 전반적으로 쑤시고 욱신거린다 하셨습니다.
어디인지는 모르겠다고 하셨습니다.
원인을 발견하기 위해 시행한 검사에서
뿌리 끝 염증이 잡혀있는 치아가 많았습니다.
이전에 신경 치료하셨던 부위로
염증이 진행된지 오래된 것으로 보였습니다.
잇몸뼈 녹음도 관찰 됐거든요~

231204
ct를 찍어 본 것인데
빨간색 동그라미 친 부분이
뼈가 다 녹은 부분입니다.
까맣죠~?

231204
좀 더 잘보이는 ct 사진입니다.
뼈는 하얗게 채워져 있어야하는데
염증이 있다보니 뼈를 녹이고
까맣게 보이네요~
치아는 잇몸뼈가 붙잡아주고 있는데
뼈가 녹으면서 잡는 부분이 없어서
들썩들썩하셨을 거예요.
그러니 씹을 때마다 욱신욱신
어디인지는 모르겠지만
좋지 않은 느낌을 받으셨을 겁니다.

231204
양치하면서 거울로 보셔도 소용 없습니다.
겉으로는 아주 멀쩡! 하거든요
속이 곪은겁니다.
자연치아는 최대한 살리는걸 추구하지만
잇몸뼈 녹음 경우에는
둬서 좋을 것이 없습니다.
염증이 있기 때문에 옆으로 넓게
퍼집니다.
건강한 치아쪽 뼈까지 녹일 수 있어서
이럴 경우 발치하는 것으로
염증을 제거해주어야합니다!!
염증 제거 할 수 있는 다른 치료가
아직까지는 원인 치아를 발치하는게
최선입니다.
환자분께 해당 상황을 설명드렸고
강일동 치과에서 치료하시기로 하셨습니다.

강일동 치과에서는 환자분 뼈 상태에 알맞은
임플란트 치료를 위해
3가지 회사 제품을 사용하는데요.
상담할 때마다 가장 적합한 임플란트 회사를
추천드리고 있습니다.
제품별 장단점이 있기에
어느 회사 임플란트가 좋다! 이런건 없어요~

231207
환자분이 젊으신 편이라
내원 횟수를 줄여드리기로 하였습니다.
발치 당일 염증을 깨끗하게 제거하고
임플란트를 심어드렸습니다.

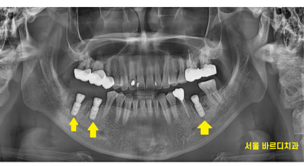
240402
수술 직후 사진입니다.
각도가 예술입니다.
삐뚫게 틀어지지 않고
알맞은 위치에 수술이 완료되었습니다.

240423
예전에는 금으로 치료되어있었는데요.
아래 치아이다 보니 눈에 잘 띄어
임플란트 보철은 하얀 색깔로 제작해드렸습니다.
치료 후 환자분께서
기분 나쁜 통증도 없어지고
이젠 입을 크게 벌려도 되겠다며 좋아하셨습니다.
잇몸뼈 녹음
방치해서 좋을게 없습니다.
https://blog.naver.com/implant_master/223680433214
뿌리에 염증이 있는 경우
통증이 있던 없던 치료를 받아야하는 이유에 대해
작성해 둔 글이 있으니
위에 글도 참고해서 읽어주세요!!!
< 상담 전화>
☎02-481-4278
아프다고 당일에 바로 찾아오시면
한참 기다리셔야할 수 있습니다.
저희 병원은 미리 예약하신 환자분 위주로 진료하기 때문에
오시기 전에 전화 부탁드릴께요~!!
| 본 게시물은 의료광고 법 제56조 1항을 준수하여의료 정보 제공 및 병원 홍보 목적으로 서울 바르디 치과에서 직접 작성하였습니다.제공된 정보는 참고만 하실 것을 권유 드리며 증상 파악 및 정확한 관리 방법은 의료기관에 내원 후 의료진을 통해 안내받으시길 바랍니다.치과에서 진행되는 모든 시술 / 수술은 개인에 따라 (염증, 출혈, 부기 등) 가능성이 있습니다.사전에 의료진과 충분한 상담을 통해 결정하시길 바랍니다.게시물의 치료 사례는 실제 본원에서 치료를 마친 환자분들의 동의하에촬영되었으며 전, 후 사진은 동일 조건에서 촬영되었습니다. |
#강일동치과 #강일동임플란트
#잇몸뼈녹음