반갑습니다!!
서울바르디치과 장태현 대표 원장입니다.
중년 환자분들은 브릿지로 앞니를 치료한 경우를
많이 볼 수 있습니다.
임플란트가 지금처럼 보급되지 않았고
라미네이트 치료도 없었으니까요~
오늘 환자분도 20년 전에 치료한 부위가 문제가 생겼는데
치료 과정을 담아보았습니다.
상일동 치과 충치로 인한 앞니 브릿지 파절 재건해보았습니다.
끝까지 읽어주세요~!

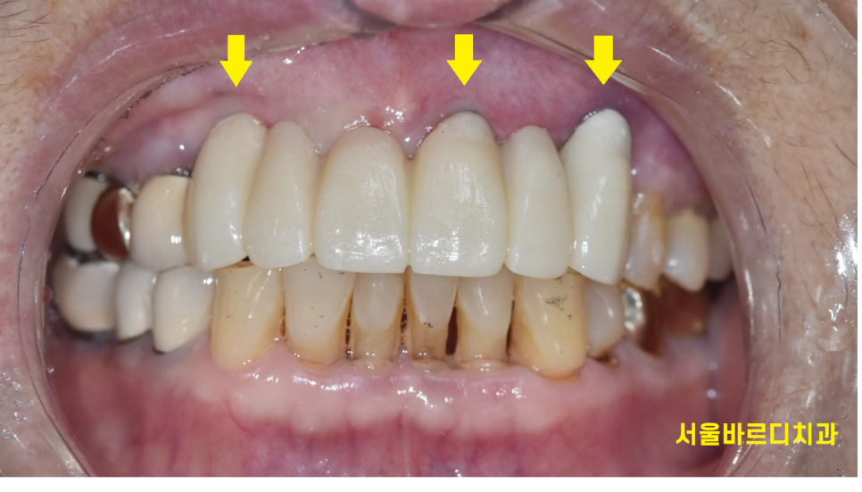
내원 이유 : 앞니가 움직여요
예전에 씌워둔 치아가 흔들려 상일동 치과를 방문해주셨습니다.

240306
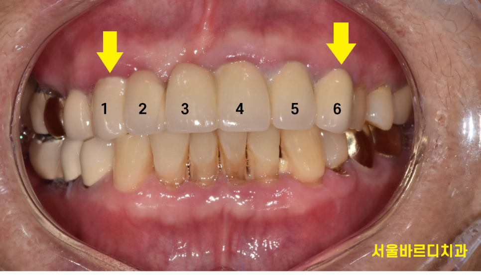
아래 앞니는 자연치아이고
위에 치아 6개를 보철하신 상태네요~
송곳니부터 송곳니까지요.
보철이 완전히 빠진게 아니라
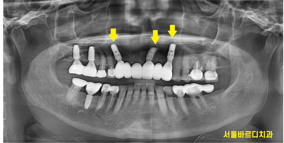
원인을 발견하기 위해 X-RAY를 촬영해보았습니다.

240306
왼쪽 송곳니 치아 치근 우식이 관찰됩니다.
뿌리쪽 부분이 많이 썩어
치아가 끊겨진것처럼 보이실겁니다.
여기서 환자분들의 궁금증
덮어 씌워둔 부위도 충치가 생겨요?
네 그렇습니다ㅠㅠ

240307
자연치아와 비슷하게 관리가 안되면 썩습니다.
처음에는 잇몸 라인에 딱! 맞춰 보철을 제작해드리지만
시간이 지나면서 잇몸이 내려가면서
음식물이 제거가 안되면서 생길 수도 있고
잇몸 틈새 사이에 음식물이 들어가 충치가 생길 수 있습니다.

240315
크라운 씌운 치아들은 주로 치아 목 부분
뿌리쪽이 썩는 이유가
보철 경계부위이기 때문에 그렇습니다.
그래서 잇몸부터 쓸어서 양치를 해주어야하는데요.
어쨌든 오늘 환자분도 충치가 원인이 되어
앞니 브릿지 파절을 유발했습니다.

240315
신경치료가 안되어 있는 치아라면
보철부터 벗겨서 상태를 평가하는 것이 우선이지만
치아가 별로 안남을 때 치료하는 기둥이 박힌 치아가 2개
뿌리쪽 충치가 심한 치아 1개
치아가 거의 남아있지 않게 생겼습니다.
일반적으로 새로 치료를 할 때는 적어도 10년은 쓰셔야하는데
치아 상태들이 별로라
씹는 힘을 버텨낼 것 같지 않아보였습니다.
앞니 브릿지가 6개나 되는
길게 묶인 형태라서요~
환자분께 진단 결과를 말씀 드리고
앞니 브릿지 파절 재건으로 임플란트를 추천 드렸습니다.
상일동 치과를 찾아오신 환자분은 구리에서부터
내원해주셨는데
따님 소개로 멀리서 찾아오신 분이었습니다.
딸이 병원을 찾아서 잘 해주실꺼라고
보이는 부분이라 예쁘게만 만들어달라 하셨습니다
예쁘게 + 튼튼하게 심어 드려야죠~
앞니 브릿지 파절되지 않게 말이죠.

240315
앞니 브릿지 발치를 하면서 임플란트 바로 식립해드렸습니다.
이전 글에서 말씀드렸다 싶이
앞니는 뼈가 얇습니다.
그래서 뼈가 수축하기 전
발치와 동시에 수술을 하는데요.
치료기간도 단축된다는 장점이 있죠~
< 또 다른 앞니 임플란트 케이스>
https://blog.naver.com/implant_master/223654449685
수술 후 일상 생활을 하셔야해서
임시 틀니를 제작
사용할 수 있게 교육해 드렸습니다.

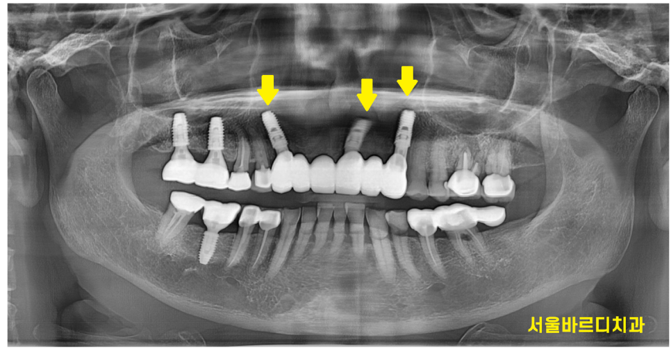
240731
4월에 수술을 하고 3개월정도 지나
머리를 만들어 드렸는데요.

240731
똑같이 6개를 묶은 앞니 브릿지 형태인데
임플란트는 3개를 심어 6개로 만들어 드렸습니다.
< 오늘 글 요점>
앞니 브릿지 파절 뿌리 충치로 발생했다.
상일동 치과에서 발치 후 즉시 임플란트를 식립하였다.
오늘도 서울바르디치과 블로그를 방문해주셔서 감사합니다!!
오늘 내용 중 궁금하거나 문의가 있으실 경우
아래 번호로 전화해주세요!
02-481-4278 (병원 직접 연결)
서울바르디치과의원 - 네이버 지도
네이버 예약 후 상일동 치과 직접 방문해주셔도 좋습니다.
저는 언제나 병원을 지키고 있겠습니다!!
.
| 본 게시물은 의료광고 법 제56조 1항을 준수하여의료 정보 제공 및 병원 홍보 목적으로 서울 바르디 치과에서 직접 작성하였습니다.제공된 정보는 참고만 하실 것을 권유 드리며 증상 파악 및 정확한 관리 방법은 의료기관에 내원 후 의료진을 통해 안내받으시길 바랍니다.치과에서 진행되는 모든 시술 / 수술은 개인에 따라 (염증, 출혈, 부기 등) 가능성이 있습니다.사전에 의료진과 충분한 상담을 통해 결정하시길 바랍니다.게시물의 치료 사례는 실제 본원에서 치료를 마친 환자분들의 동의하에촬영되었으며 전, 후 사진은 동일 조건에서 촬영되었습니다. |
#상일동치과 #앞니브릿지파절