안녕하세요 해결사
서울바르디치과 대표원장 장태현입니다!!
강동구 치과 약먹는게 많은데 임플란트 수술 할 수 있나요??
많은 질문을 받습니다.
임플란트는 주로 중년 이상의 환자분들이 시행하시다보니
약을 한두개씩은 꼭 드십니다.
그 중 임플란트 수술에 문제가 되는 혈전제를 드시기도 하고
심장이나 뇌 혈관 문제로 시술한 분들도 많죠.
내 몸이 이래서
수술을 할 수 있을까 걱정하시는 마음을 알기에
속 시원하게 답변 말씀드릴께요~!

치아를 해 넣어야해요

230713
강동구 치과에 방문해 주신 환자분입니다.
치아가 많이 쓰러져 있는 것이
뽑고 시간이 많이 흐른 것으로 보았습니다.
윗니 어금니 1개
아래 어금니 1개
총 2개가 발치된 상황이네요.
"어머니, 뽑힌지 오래되셨나 봐요~
치아가 많이 쓰러졌네요. "
앞에 치과 갔는데 투석 중이라고 하니까
의사가 겁내해서 못했어요
알고 보니 몸이 성치 않아
치료시기를 놓쳤다고 하셨습니다.
고혈압, 당뇨를 오래 앓고 계시다 보니
합병증으로 심장 혈관이 막혀 넓혀주는 스텐트 시술,
투석까지 하시고 계시다 하셨습니다.
대학병원 가서 하는게 좋을꺼같다고
다른 병원에서 들으셨다는데
의사가 겁내하는것처럼 느껴지셨다하셨습니다.
여기도 안되는거냐 한번 들러봤다고 하셨습니다.
고혈압, 당뇨, 스텐트, 투석
피를 묽게 만드는 혈전제 복용중이라 지혈의 어려움
당뇨라 감염의 위험성, 치유 부전
결코 쉬운 치료가 아닌것으로 보였는데요.
약 드시는 경우가 많으면 수술의 부담성으로
보철 치료로 대신하는 것이 일반적입니다.
우선 구강을 살펴보았는데요.

230713
윗니 어금니는 발치한지 오래되어
공간이 거의 없었습니다.
치아가 제자리를 벗어나 크게 움직인 탓이죠~
임플란트 대신 브릿지 치료가 적합해 보였습니다.

230713
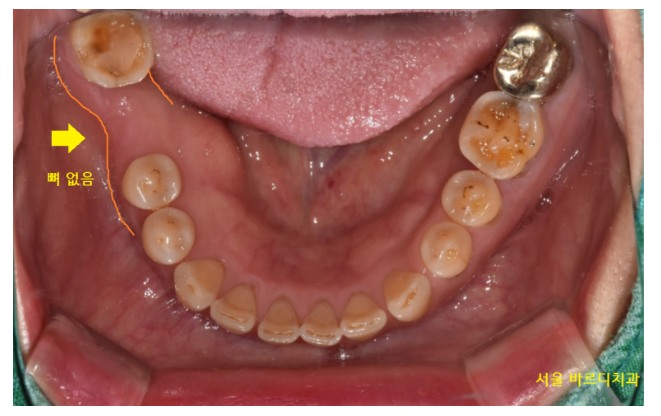
아래 치아는 뼈가 부족한 부위가 있어도
이걸 보철로 하기에는 너무 아깝더라고요.
강동구 임플란트 할 공간도 충분하고...
보철 치료는 양 옆 멀쩡한 치아를 깎아야 해서요.
약 드시는 것도 많고 전신 질환이 많긴 해도
환자분 몸 상태도 확인 안 하고 포기하긴 이르잖아요?
우선 의뢰서를 보내 환자분 상태가 어떤지
치료가 가능한지 확인부터 해보았습니다.
| 심혈관스텐트 삽입술을 두가지 항혈소판제 복용중인 환자로 약 중단은 어려운 상태입니다. 혈액 투석 환자로 투석을 하지 않는 날에 시술을 권유드리며투약하는 약제는 신장에 무리가 가지 않는 용량으로 처방 부탁드립니다. |
1)혈전제 약 중단 어려움
2)투석 날 제외 치료
치료가 불가능하다 적혀있진 않아서
우선순위를 세워 치료를 시작해보았습니다.

230720
우선 수술적 부담이 없는 윗니 어금니부터 시작했습니다.
강동구 임플란트를 안 해도 되고
치료 기간도 2주면 완료되기에
보철 치료부터 해보았습니다.
환자분께서 무리 없이 받아주셨기에
수술 치료도 시작했습니다.

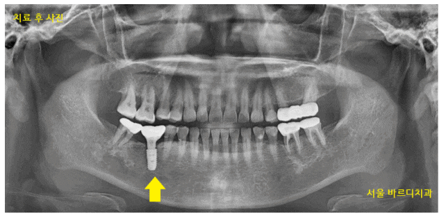
231023
강동구 치과 임플란트 식립한 사진입니다.
투석을 하지 않는 날 수술을 시행했고
수술 전 예방적 항생제 복용으로 감염 위험 최소화
수술 후 매일 전화를 드렸습니다.
워낙 약드시는 것도 많고
투석에 스텐트까지 하셔서 신경 쓴 기억이 있습니다.
작은 데미지도 환자분께는 큰 영향이 끼칠 수 있었거든요.

240111
당뇨 환자분이셔서 감염에 취약했고
상처 치유가 더디셨습니다.
거기에 투석과 스텐트 시술로
혈전제를 2개나 복용하는 상황
중단도 할 수 없기에
지혈이 안될까 제일 큰 걱정이었습니다.
제가 할 수 있는 일은
최대한 꼼꼼하게 잇몸을 꿰매드리고
치료가 잘되길 기도드렸습니다.

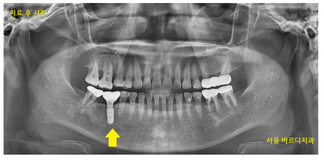
240328
보철 머리를 만들어드린 사진입니다.
전신질환이 많으셨지만
협진 진료
수술 후 충분한 휴식으로 컨디션 관리를 해드렸더니
치료 마무리까지 무사히 끝낼 수 있었습니다.
| 오늘 글 요약 |
|---|
| 1) 전신질환이 많다고 치과 치료가 안 되는 것은 아닙니다. |
| 2) 대학병원에 안 가셔도 강동구 치과에서 치료 가능합니다. |
당뇨가 있어도
투석을 하셔도
스텐트를 했어도
강동구 임플란트 문제없습니다!!!
| ▼진료시간 안내▼ |
|---|
| 월~금 |
| 토요일 |
| 점심시간 |
▼진료 예약▼
☎02-481-4278
환자분들의 간절한 마음을 잘 알고 있습니다.
약 먹는게 많다고
미리 겁먹고 나는 수술 못할꺼다
포기 하지 않으셨음 좋겠습니다.
https://blog.naver.com/implant_master/223467835150
제가 작성한 글 몇 개만 읽어보셔도
환자분을 쉽게 포기하지 않습니다.
걱정하시기 전
저와 직접 상담하시고 치료를 결정하셔도
늦지 않습니다.
대표원장 장태현이었습니다!!
| 본 게시물은 의료광고 법 제56조 1항을 준수하여의료 정보 제공 및 병원 홍보 목적으로 서울 바르디 치과에서 직접 작성하였습니다.제공된 정보는 참고만 하실 것을 권유 드리며 증상 파악 및 정확한 관리 방법은 의료기관에 내원 후 의료진을 통해 안내받으시길 바랍니다.치과에서 진행되는 모든 시술 / 수술은 개인에 따라 (염증, 출혈, 부기 등) 가능성이 있습니다.사전에 의료진과 충분한 상담을 통해 결정하시길 바랍니다.게시물의 치료 사례는 실제 본원에서 치료를 마친 환자분들의 동의하에촬영되었으며 전, 후 사진은 동일 조건에서 촬영되었습니다. |
#강동구치과, #강동구임플란트, #당뇨임플란트, #투석중임플란트