안녕하세요~
서울바르디치과 이주리 대표원장입니다.
예전에는 안그랬던거 같은데
치아가 점점 벌어져요..
고민을 토로하시는 분들이 많습니다.
출산이나 다양한 이유로 앞니 사이에 공간이 발생하면
보기 싫기도 하고
음식물이 많이 끼기도 하는데요.
벌어진 아래 앞니 라미네이트로 감쪽같게 치료했습니다.
하나의 해결방법을 보여드릴까합니다.
오늘도 예쁘게 치료해드릴께요~~


230720
벌어진 아래 앞니를 해결하고 싶어서
서울 바르디치과를 방문해주셨습니다.
레진으로 떼워야할지
라미네이트를 해야할지 모르겠다고
상담을 요청해주셨는데요.
두 치료의 차이는 붙이냐 떼우냐 차이입니다.
고덕 그라시움 치과 벌어진 앞니 메꾸기 당일 .. : 네이버블로그
레진은 치아 사이 공간을 떼우는 치료이기 때문에
공간이 미세할 경우에는 가능합니다.

230720
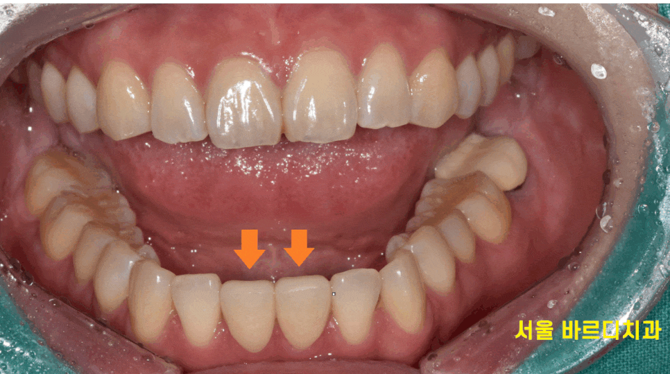
오늘 환자분은 윗니에 비하여
상대적으로 아랫니가 많이 벌어져 있었는데
벌어진 아래 앞니 4개나 되어
떼우는 레진 치료를 시행할 경우
치아가 너무 뚱뚱해 보일 가능성이 있었습니다.
또 다른 문제점으로는 양쪽을 다 떼워야해
작은 충격으로도 쉽게 떨어질 수 있었습니다.
두가지 문제점으로 앞니 라미네이트가 적합할 것 같다
추천 드렸는데요.
"그럼 몇개나 치료해야하는건가요?"
치료 개수도 중요하죠~

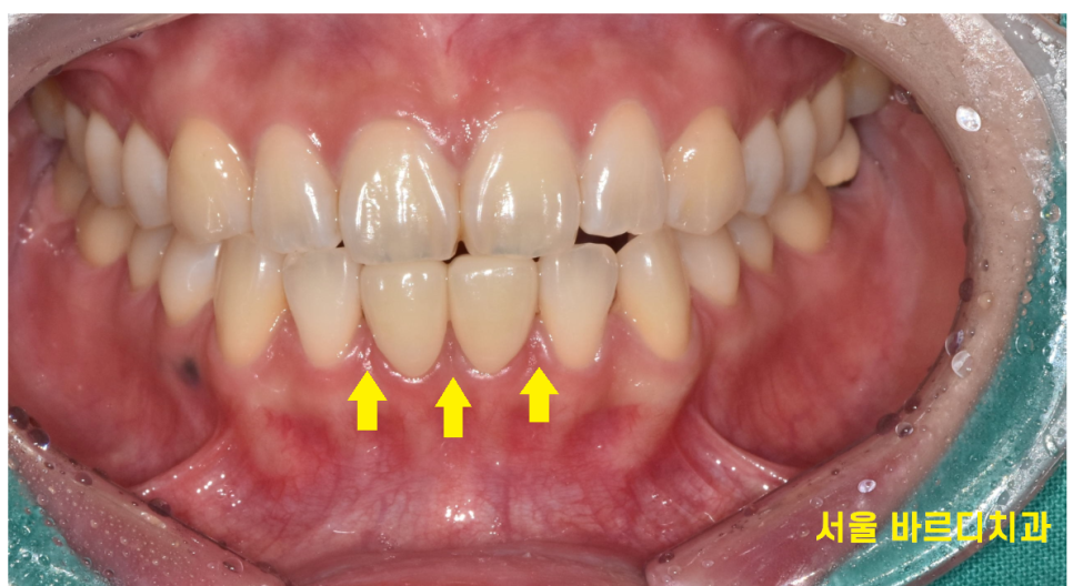
231027
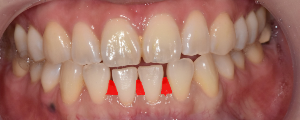
벌어진 아래 앞니로 인해
공간이 보이는 곳은 3부분 이었습니다.
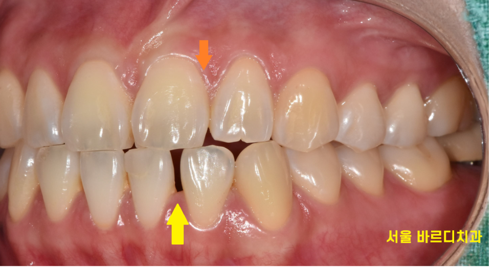
제가 판단했을 때 상대적으로 가운데 치아 2개가
작아 2개 정도만 치료해도
벌어져 보이는 것을 해결할 수 있다 생각했습니다.

231027
환자분께는 그림을 그려
앞니 라미네이트로 공간을 메우게 될 것이다
치료 방향을 설명드렸죠.
치료를 하기 전 까지는 치아 틈새가 어떻게 메꿔질지
예측이 쉽지 않기 때문에
그림을 그려 설명을 드리고 있습니다.
그렇다면 어떻게 치료되었나 한번 볼까요~?

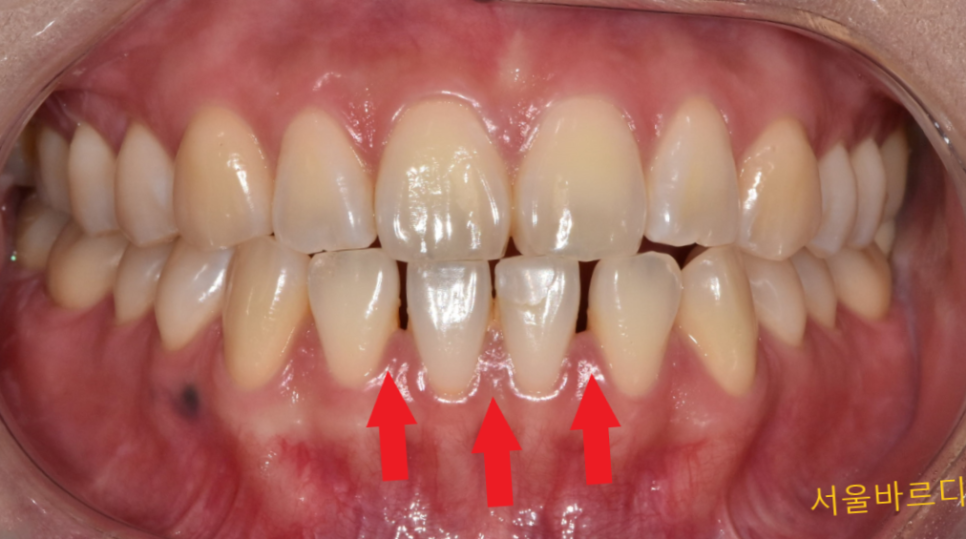
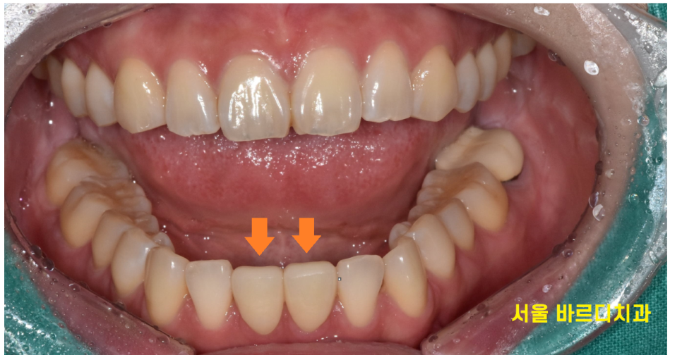
231116
벌어진 아래 앞니 공간이 싹 메꿔졌죠?
간혹 라미네이트로 치료하게 되면
치아가 커질까 걱정하시는 분들이 많습니다.
그렇지만 티가 나게 보철을 하면 안됩니다.
앞니 심미보철을 할 때는
티가 안나면서 내 주변 치아와 조화롭게 해야하는데요.
전체적인 이미지 변화를 보겠습니다.

231116
3군데 정도 공간이 있었는데
감쪽같게 메꿔드렸습니다.

231116
단 2개 앞니 라미네이트 치료를 했을 뿐인데
공간이 메꿔지면서 이미지도 세련되게 변신하셨어요.
벌어진 아래 앞니 공간을 메꾸면 장점 또 한가지
치아 사이로 바람이 안새게 되고
발음 교정 효과까지 있답니다 ㅎㅎ
| 상담하러가기 |
|---|
| 02-481-4278 |
앞니 라미네이트 치료는 단시간에
효과는 확실하게 보여드릴 수 있는 치료 방법입니다.
그렇지만 모든 환자분께 해당하는 치료는 아닙니다.
위아래 치아가 너무 깊게 물리면
치료를 해도 쉽게 깨지거나 떨어지거든요~
또한 치아 삭제를 1도 없이 할 수는 없습니다.
또한 심미의 기준은 주관적이기 때문에
치료 전 충분한 상담이 필요합니다.
지금 상태를 개선하고 싶으신 분들은
언제라도 저를 찾아와주시길 바랍니다.
대표원장 이주리였습니다.
.
| 본 게시물은 의료광고 법 제56조 1항을 준수하여의료 정보 제공 및 병원 홍보 목적으로 서울 바르디 치과에서 직접 작성하였습니다.제공된 정보는 참고만 하실 것을 권유 드리며 증상 파악 및 정확한 관리 방법은 의료기관에 내원 후 의료진을 통해 안내받으시길 바랍니다.치과에서 진행되는 모든 시술 / 수술은 개인에 따라 (염증, 출혈, 부기 등) 가능성이 있습니다.사전에 의료진과 충분한 상담을 통해 결정하시길 바랍니다.게시물의 치료 사례는 실제 본원에서 치료를 마친 환자분들의 동의하에촬영되었으며 전, 후 사진은 동일 조건에서 촬영되었습니다. |
#벌어진아래앞니 #앞니라미네이트