안녕하세요!
서울바르디치과 장태현 원장입니다.
임플란트 치료를 고려하고 있는 환자분
"임시 틀니를 해야한다" 들어본 적이 있으실겁니다.
임플란트만 생각했었는데
틀니는 또 왜 끼래..?
쉽게 이해가 안되실텐데요.
오늘은 임플란트 치료 시 뒤따라오는 임시틀니에 대한 설명좀 드리겠습니다.
풍산동 임플란트 이 뽑고 임시틀니는 꼭 해야하나요? 플리퍼란?

임플란트 임시틀니란 무엇인가요?

이 치료를 왜 해야하는지 설명드리기 전에
어떤 것인지 이해시켜드려야겠습니다.
치과에서는 플리퍼(Flipper)라 불리는데요.
임시틀니라는 단어처럼 꼈다 뺐다하면서
일시적으로 사용하는 틀니입니다.
임플란트 임시틀니 왜 써야하나요??
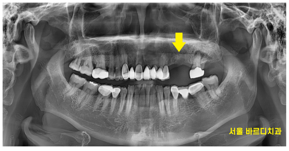
임플란트는 치아를 발치한 뒤 즉시 식립할 수도 있지만,
어떤 환자분께는 몇달씩 기다려야할 수 있습니다.

231017
치아에 염증이 심해 발치 후 뼈이식만 먼저 하고 기다리거나
경제적 여건, 시간적 여유가 없어서 때문일 수도 있고요.
아무 일이 일어나지 않으면
임플란트 플리퍼를 추천 드리지 않는데..
발치 후 공백 상태로 있으면 다음과 같은 문제가 발생할 수 있습니다
-
치아 이동
-
심미적 이유
-
식사를 위해
먼저 치아 이동 부터 설명드리겠습니다.
https://blog.naver.com/implant_master/223643946351
예전에 이주리 원장님께서
치아를 그대로 두면 움직인다 설명해주신 적 있는데요.
딱딱딱 맞물리던 치아들이 한쪽이 없어지면
없어진 쪽으로 이동을 시작합니다.
이렇게 되면 나중에 임플란트를 하고 싶어도
높이가 안나오거나
움직인 치아를 깎아서 치아 높이를 맞춰줘야합니다.

231017
이럴 경우 임플란트 임시 틀니를 만들어
빈 공간을 채워줍니다.
맞닿이게 하여 반대편 치아가 움직이지 못하게
해주는거죠.
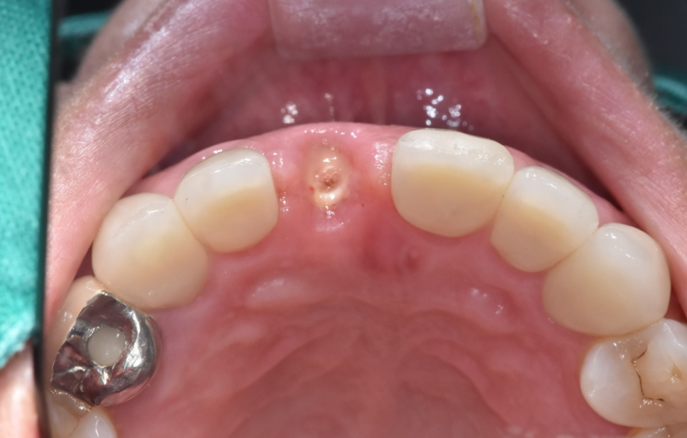
두번째 앞니가 비었을 때
앞니의 경우 빈 공간이 신경이 많이 쓰이실겁니다.
사회생활을 할 수 없다 하실 정도로...

240628
어떤 분은 치아가 없어서 맹구같다 표현해주셨어요ㅠㅠ
마스크로 가리고
손으로 가려도 식사할 때는 들통나기 마련입니다.
아무래도 자연 치아 사이에 플리퍼를 끼워드리면
티가 나긴 합니다.
그렇지만 아무것도 없는 것보다는 좋기에
앞니 임플란트 치료 시 만들어 드려요!
세번째 치아가 많이 없어 식사가 어려울 때
임플란트를 1-2개를 해야할 때는
식사가 어렵지 않지만
전악 치료가 필요한 환자들에게는
임플란트 임시틀니 필수입니다.

231109
위의 케이스같은 환자분들은
풍산동 임플란트 치료 시 임시틀니 생존을 위해 필요합니다.
완성을 위해 몇개월이 소요되는데
그대로 둘 수는 없으니까요ㅠ
때문에 3가지 이유로
풍산동 임플란트 치료 과정에서 임시틀니를 추천드리고 있습니다.
이 뽑고 임시틀니는 꼭 해야하나요?
질문을 하신다면 모든 환자에게 필요하진 않다!
그렇지만 필요하다 설명 드렸다면
잇몸이 안좋거나 치료 기간이 길어져
다른 치아에 영향이 갈 것 같을 때 추천 드렸다는 것을
알아봐주시길 바랍니다.

임시틀니이기에 주의사항도 있다...!
간혹 이 임시틀니를 만능으로 생각해주시는데요.
일시적으로 사용하다 보니
생각만큼 단단하지 않습니다.
딱딱한 음식을 먹기에는 부적합하다!
그리고 보철만큼 예쁘지는 않습니다.
불편하다고 생각보다 안예뻐서
사용을 안해주시는 경우가 있는데요.
풍산동 임플란트 치료를 위해 만들었는데
안끼시면 제작하는 의미가 없습니다.
때문에 3시간 이상 착용은 필요합니다~
☎02-481-4278 (클릭)
나도 플리퍼 제작이 필요한지 궁금하신 환자분
풍산동 임플란트 상담이 필요하시다면
병원으로 전화 한통 부탁드립니다.
전문가의 눈으로 정확한 답변만 드리겠습니다!
감사합니다.
.
| 본 게시물은 의료광고 법 제56조 1항을 준수하여의료 정보 제공 및 병원 홍보 목적으로 서울 바르디 치과에서 직접 작성하였습니다.제공된 정보는 참고만 하실 것을 권유 드리며 증상 파악 및 정확한 관리 방법은 의료기관에 내원 후 의료진을 통해 안내받으시길 바랍니다.치과에서 진행되는 모든 시술 / 수술은 개인에 따라 (염증, 출혈, 부기 등) 가능성이 있습니다.사전에 의료진과 충분한 상담을 통해 결정하시길 바랍니다.게시물의 치료 사례는 실제 본원에서 치료를 마친 환자분들의 동의하에촬영되었으며 전, 후 사진은 동일 조건에서 촬영되었습니다. |
#풍산동임플란트 #임플란트임시틀니 #플리퍼