환자분들 안녕하세요 ~
서울바르디치과 이주리 대표원장입니다 :-)
어제는 앞니 공간을 라미네이트로 해결해드린
환자분의 이야기를 해드렸습니다.
https://blog.naver.com/implant_master/223691196887
이번에는 교정 치료로도 가능하다는 것을 말씀드리려고해요.
치아 교정의 가장 큰 장점은
치아를 이동 시켜서 하기 때문에 치아 삭제가 없다는 것인데요.
고덕동 교정치과 앞니 사이 틈 부분교정으로 치아 삭제없이 공간 없애기
let's go!!

앞니 부분교정 할 수 있나요?
고덕동 교정치과를 찾아오신 40대 여성환자분입니다.

240816
나이가 들수록 치아가 더 벌어지는거 같은데
치아 삭제를 해야하는 치료는 하고 싶지 않다하셨습니다.
자연 치아의 소중함을 잘 알고 계신거죠~
앞니 사이 틈을 메꾸는 치료는 크게 4가지입니다.
1)레진
- 라미네이트
3)크라운
4)교정
각 치료마다 장단점이 있는데
교정의 경우 치아 자체를 움직이기 때문에
그 어떤 치료보다 효과가 확실합니다.
또한 치아 삭제 없이 치료하는 대표적인게 교정이죠!!
오늘은 교정 치료의 장점을 확실히 어필해보겠습니다!
앞니 부분교정은..?
앞니의 비뚤어진 치아를 고르게 피거나
치아 사이 틈을 없에는 치료입니다.
전체적으로 진행되는 것이 아니라 앞니만 진행하는 치료에요!
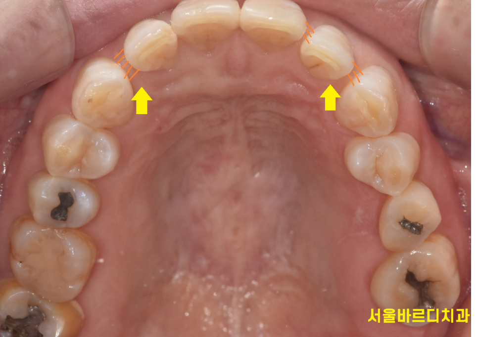
이럴때 앞니 부분교정 합니다!

240816
교합(씹는 부분)은 잘 맞는데
오늘 환자분처럼 앞니 사이 틈이 있어서 보기 싫거나
약간의 삐뚤빼뚤함을 가지고 있을 때 진행합니다.
교합이 잘 안맞는데 앞니만 교정할 수는 없어요.
심한 부정교합의 경우에는
치아를 전반적으로 움직여주어야하지만

약간의 치아 사이 공간이 있는 경우
치아를 앞으로 조금씩 움직여 공간을 메꾸면 되기 때문에
치아 삭제없이 앞니 부분교정이 가능합니다.
치아에 손상도 없고
요즘은 투명교정 장치가 있어서 교정하는 티도 안나다보니
중년 환자분들도 많이 시작하고 계세요.

241209
또 다른 장점
전체 교정은 치료 기간도 길고 비용도 부담스럽지만
앞니 부분교정은 6개월이면 원하는 결과를 얻을 수 있습니다!
짧은 치료 기간 대비
심미적인 개선이 뚜렷하거든요~~
전체 교정에 비해 비용도 저렴하고요.
보철이나 라미네이트는 보철이 파절되거나
치아를 삭제해야한다는 단점이 있지만
치아 교정은 자연 치아의 손상을 최소화하고
진행이 가능합니다.

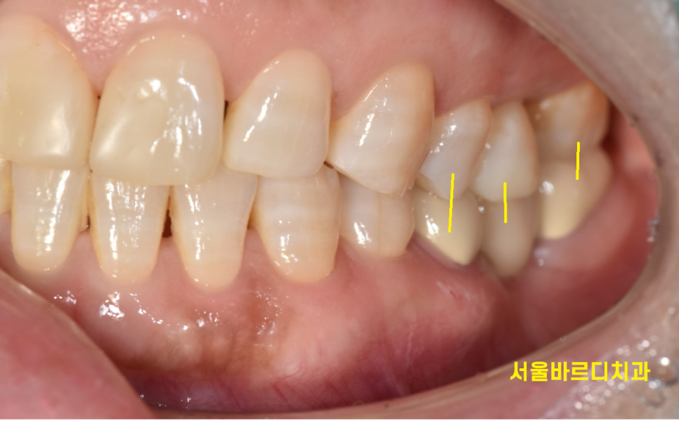
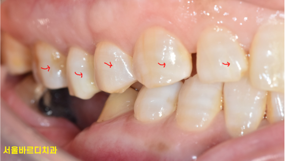
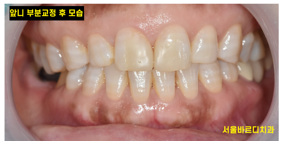
앞니 사이 틈이 없어졌죠~?
공간이 메워지면서 음식물이 끼는 등의 불편함도 사라지시겠어요.
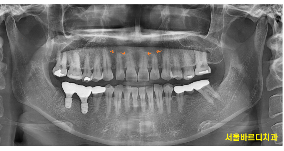
아래 치아가 없는 부분은 임플란트 치료중이신데
앞니만 교정하기 때문에 임플란트 치료중에도 받으실 수 있습니다!
앞니 교정, 고덕동 교정치과에서 시작하세요!
그렇지만 내가 앞니 부분교정 케이스에 해당하는지는
전문적인 진단이 필요해요.
앞니만 재배열하는거다보니
제약이 있거든요.
내가 행운의 주인공에 해당하는지 지금 바로 상담을 받아보세요!
| 예약 전화하러 가기 |
|---|
| 02-481-4278 |
교정 전담 원장님이 예리하게 판단해주실겁니다!
궁금하신 부분은 "댓글" 달아주세요!
긴글 읽어주셔서 감사해요!
| 본 게시물은 의료광고 법 제56조 1항을 준수하여의료 정보 제공 및 병원 홍보 목적으로 서울 바르디 치과에서 직접 작성하였습니다.제공된 정보는 참고만 하실 것을 권유 드리며 증상 파악 및 정확한 관리 방법은 의료기관에 내원 후 의료진을 통해 안내받으시길 바랍니다.치과에서 진행되는 모든 시술 / 수술은 개인에 따라 (염증, 출혈, 부기 등) 가능성이 있습니다.사전에 의료진과 충분한 상담을 통해 결정하시길 바랍니다.게시물의 치료 사례는 실제 본원에서 치료를 마친 환자분들의 동의하에촬영되었으며 전, 후 사진은 동일 조건에서 촬영되었습니다. |
#고덕동교정치과 #앞니사이틈 #앞니부분교정