안녕하세요
서울바르디치과 대표원장 장태현입니다!!
수술 후 담배 펴도 될까요?
OR
담배 많이 펴서 임플란트 못한대요
흡연자 분들은 크게 2분류로 나눠집니다.
수술은 가능하지만 담배를 펴도 되냐 물어보시는 분들
수술도 안된다 들었던 분들
왜 이렇게 의견이 달라질까요~?
담배가 몸에 나쁜건 모두들 아실겁니다.
길동 치과 임플란트 뼈이식 후 흡연 상관 있을까?
임플란트 수술과 무슨 상관이 있는지
3분만 집중해서 읽어주세요~!

오늘의 주인공
하루 2갑씩 담배를 피는 애연가였습니다.
담배를 끊는건 죽는 것과 마찬가지라 하셨는데요.

230327
그래서 그런가 입안 상태도 좋지 못했습니다.
정상적인 치아가 없을정도였죠.
안 흔들리는 치아가 없었습니다.
환자분도 알고 계시더라고요.
잇몸이 많이 망가졌어요.
담배 많이 펴서 그렇지 뭐
뽑힌 치아도 많았고
앞으로 뽑을 치아도 상당했습니다.


230327
윗니는 개수로만 4개 없음
아랫니는 2개 없음
앞으로 뽑아야하는 치아들
안좋은 부분 예시를 보여드리면..

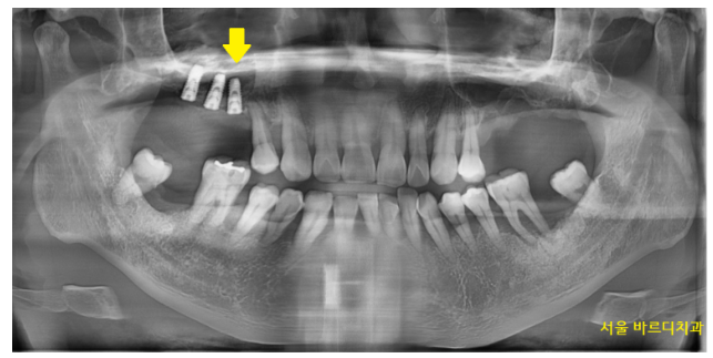
230827
윗니 어금니 부분입니다.
잇몸 뼈가 치아 뿌리를 거의 잡지 못하고있습니다.
남아 있는 잇몸뼈는 3.4mm
바로 위에는 상악동이 버티고 있습니다.
임플란트는 최소 8mm정도 길이를 심으니까
뽑고 나서 뼈이식으로 만들어줘야하는 잇몸뼈의 길이가 5mm가 넘네요.
< 환자분이 필요한 수술과 관련된 글 >
https://blog.naver.com/implant_master/223407832925
많은 양의 임플란트 뼈이식 필요했습니다.
수술을 결정하기 전 걸림돌이 되는 것은
역시나 흡연이였습니다.
조금 피시는 것도 아니고 애연가 수준이라ㅠㅠ
임플란트 뼈이식 흡연과는 상극이거든요~
임플란트가 실패하는 가장 큰 원인인데요.
내 뼈와 임플란트가 잘 안붙게 하기 때문이죠~
뼈이식을 해도 만들어지는 양도 적고요.
100을 뼈 이식하면 80정도 만들어지면
많이 만들어지는거랍니다.
그 이유는..
흡연 과정에서 잇몸 미세혈관에 영향을 끼칩니다.
혈액순환을 방해하거든요
피가 잘 돌아야 치유가 빨리 되는데
담배 연기가 신선한 산소와 칼슘이 제때 잇몸에 공급되는 것을
막습니다.
혈액순환이 얼마나 중요한지는 모두 잘 아실겁니다.
조금만 안되도 손발이 저리고
종아리가 퉁퉁 붓잖아요~
치아 역시 혈액순환이 잘되어야 잘 아문답니다.

230504
막상 수술을 하고 최악의 시나리오는
심었던 임플란트가 내 뼈와 잘 붙지 않아
뽑고 임플란트 재수술 할 수도 있습니다.
그럼 통증도 2배
치료기간도 길어집닌다.
길동 치과에서 수술 전 약속과 함께
읍소를 드렸습니다.
환자분.. 내 치아도 많이 잃으셨잖아요~
큰 비용 들여서 치료하시는거고
치료기간도 1년 정도 걸려요.
담배를 끊지 못하면
심었던 임플란트 또 뽑을 수 있어요.
그럼 치료 기간이 더 길어지고
환자분이 불편해하신답니다.
임플란트 뼈이식 담배는 최악이라
끊지 않으시면 수술 못해드려요~
최소한 줄이셔야합니다!!!
수술을 이대로라면 못한다! 까지 말씀드리니
환자분께서
노력하신다 하셨습니다.
처음부터 끊을 수는 없고
줄여보시겠다고요.
각서를 받고
길동 치과에서 임플란트 수술 진행해드렸습니다.

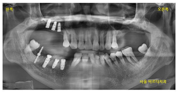
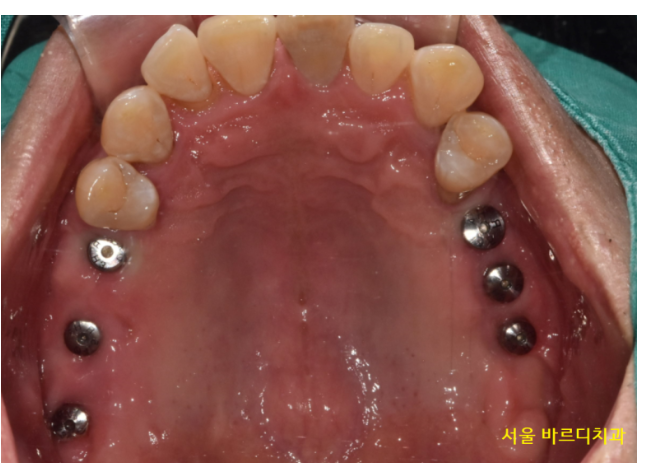
230612
환자분처럼 양쪽 어금니가 다 없고
임플란트 뼈이식을 많이 해야할경우
안전하게 오른쪽 왼쪽 나눠서
임플란트 수술을 진행합니다.
환자분은 왼쪽이 많이 불편하시다 하셔서
왼쪽부터 수술을 진행하였습니다.
(환자분의 요구사항이 1순위 반영사항입니다)

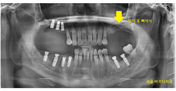
230703
잇몸뼈가 많이 없어 뼈를 많이 만들어야하는
윗니 어금니의 경우
발치 후 뼈이식을 하여 뼈가 만들어지길 기다리다
임플란트를 심기도 하였습니다.

231218
임플란트 뼈이식 흡연을 하시기 때문에
충분히 기다렸습니다.
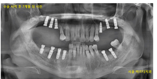
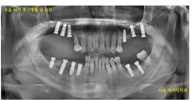
5월달에 왼쪽 위부터 수술했는데
7개월정도 지나 보철을 올려드렸어요.

231218
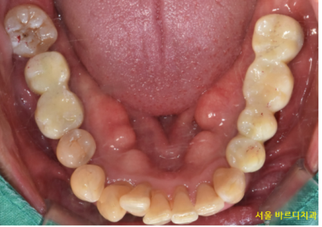
그동안 치아 상태는 이런 모습이셨어요.
어금니라고는 단 2개 만 남아있었습니다.
오른쪽 1개 왼쪽 1개
식사가 얼마나 어려우셨겠어요~
뭐라도 드셔야 하시니 임시틀니로
식사하실 수 있게 도와드렸습니다.


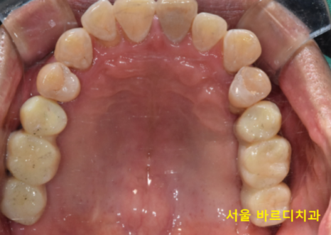
240408
7개월이라는 길고 긴 고난의 시간을 겪고
길동 치과에서 치료를 끝내드렸습니다.
정기점검때에도 흡연 계속 하시냐..
담배 냄새 나는지
확인했던 기억이 있네요.
임플란트를 최대한 오래 쓰게 해드리기 위해
형사처럼... 추적 추적..
잇몸 청소를 해드리는 것 외에
흡연이 구강에 미치는 영향
알려드리는 것이 전문가의 역할이니까요~
▼치과 위치 확인▼
단순히 수술했으니 치료 끝!
제가 제일 싫어하는 말입니다.
진료가 끝났어도 계속 관리해드리는 것
제가 지키는 신념 중 하나입니다.
앞으로도 자주 보고싶습니다.
| 예약 전화하러 가기 |
|---|
| 02-481-4278 |
오늘은 임플란트 뼈이식 흡연과의 관계에 대해
말씀드렸습니다.
해결이 되셨기를 바랍니다.
궁금하신 점은 언제든지 블로그 댓글로 남겨주시길 바랍니다.
| 본 게시물은 의료광고 법 제56조 1항을 준수하여의료 정보 제공 및 병원 홍보 목적으로 서울 바르디 치과에서 직접 작성하였습니다.제공된 정보는 참고만 하실 것을 권유 드리며 증상 파악 및 정확한 관리 방법은 의료기관에 내원 후 의료진을 통해 안내받으시길 바랍니다.치과에서 진행되는 모든 시술 / 수술은 개인에 따라 (염증, 출혈, 부기 등) 가능성이 있습니다.사전에 의료진과 충분한 상담을 통해 결정하시길 바랍니다.게시물의 치료 사례는 실제 본원에서 치료를 마친 환자분들의 동의하에촬영되었으며 전, 후 사진은 동일 조건에서 촬영되었습니다. |
#임플란트뼈이식흡연, #길동치과