안녕하세요!
서울바르디치과 장태현 원장입니다.
날씨가 많이 춥습니다.
오늘 눈이 내리던데요.
겨울철에는 그래서 낙상사고가 참 많이 일어납니다.
미끄러운 바닥으로 넘어져서 앞니가 부러지는 경우가 많은데요.
상일동역 치과 부러진 앞니 임플란트로 복구하기 프로젝트
시작해보겠습니다.

내원 이유 : 넘어지면서 앞니가 부러졌어요 .

231010
상일동역 치과에 급하게 방문해주신 환자분입니다.
진료실에 들어오실때부터
입을 손으로 가리고 들어오셔서
앞니에 문제가 있구나 추측했는데
실제로 발생했습니다.
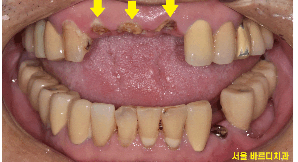
앞니 3개가 완전히 부러졌습니다.
사고 발생입니다.

231010
3개의 부러진 앞니
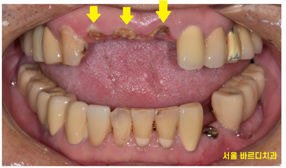
기존에 신경치료 후 기둥까지 보강하여
씌운 치아였는데요.
기존에 치료 이유를 알 수는 없지만
충치가 심했다거나
남아있는 치아의 양이 얼마 되지 않아
기둥까지 심어 치아를 보강하여
치료했던 모양입니다.
가뜩이나 약한 치아인데 넘어지면서
치아에 충격이 제대로 갔네요ㅠㅠ

231010
넘어져서 오셨을 경우에는
문제가 나중에 나타나는 경우도 많습니다.
치아 신경이 죽어버린다거나...
그러면 치아가 까맣게 변해버리죠.
다른 치아, 입술에 문제가 없는지 1차적으로 확인
아래 앞니도 살짝 깨져있네요~
이건 큰 문제가 아니고
우선 부러진 앞니 어떻게 치료해야할지
고민해봐야겠죠?

231010
앞니가 손상되어 뽑아야할 때 치료방법은
크게 2가지입니다.
-
브릿지
-
임플란트
오늘 환자분은 이미 치료한 치아가 많아
브릿지를 할 수 없는 상황입니다.
양 옆에 딱 1개만 자연 치아이고
전부 보철이었거든요~
이럴 경우 뽑고 임플란트로 대체하는 것이
가장 좋은 치료방법입니다.
옆에 보철을 한 치아를 벗기고
새로 브릿지를 하기에는 치료 개수가 많아져
무리로 판단되었거든요

231010
상일동역 치과에서 보유한 ct로 남아있는 잇몸 뼈부터 살펴보았습니다.
앞니는 잇몸 뼈가 가장 얇은 부위다 보니
뼈가 없어 임플란트가 어려울 수도 있거든요~
다행히 수술을 하는데 무리는 없어보였습니다.
치료 기간을 단축하기 위하여
발치하는 동시에 임플란트를 심기로 계획해드리고
수술날이 되었습니다.

231017
거의 뿌리만 남은 치아를 발치하고
상일동역 치과에서 임플란트 수술을 시행하였습니다.
치료 기간동안 사회생활은 하셔야하니
임시로 쓸 수 있는 틀니를 제작해드렸습니다.
https://blog.naver.com/implant_master/223691282921

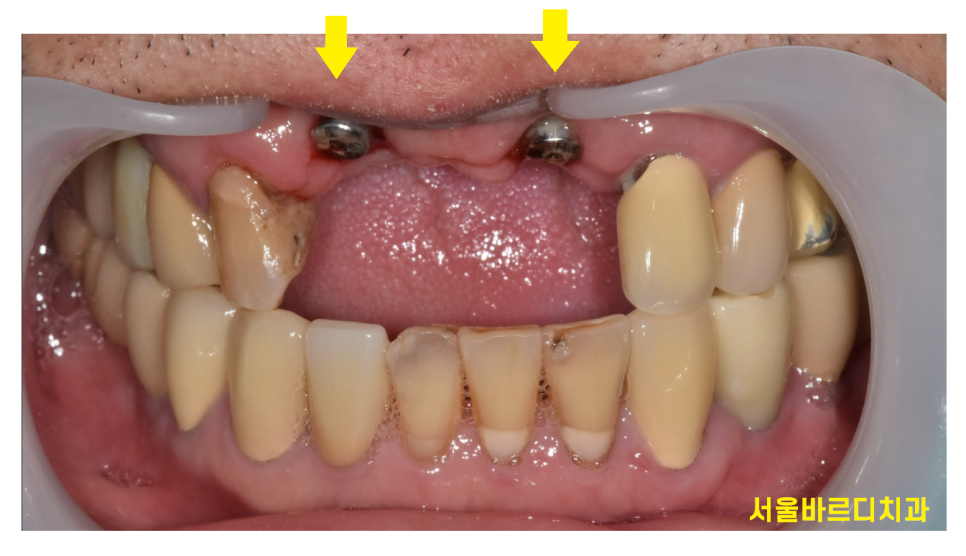
240214
틀니를 빼면 이런 형태입니다~
너무 잘보이는 대문니라 틀니를 제작해드렸고
2달정도 지나 보철을 제작해드렸습니다.
< 완성 사진 >

240312
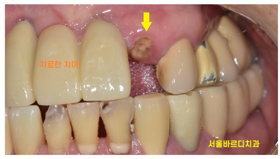
치료 후 처음에 브릿지 치료로 안한게
참 다행이다 생각이 들었던 것이..
처음 넘어지면서 부러진 앞니 옆 치아에도
충격이 갔었던 모양입니다.
치료를 끝내드리고 6개월정도 지나
옆에 치아가 부러져서
현재 임플란트 치료 진행중입니다.

241015
이래서 처음 진단이 굉장히 중요합니다.
무리해서 앞니 브릿지 치료로 진행했다가
6개월도 안되어 다시 치료할뻔 했으니까요.
오늘은 넘어져서 앞니가 부러져
임플란트로 복구해 드린 과정을 보여드렸습니다.
불의의 사고는 누구에게나 발생할 수 있습니다.
그럴 때 당황하지 마시고
저희 상일동역 치과를 방문해주시면 감사하겠습니다.
<상일동역 치과 위치>
감사합니다!!
| 본 게시물은 의료광고 법 제56조 1항을 준수하여의료 정보 제공 및 병원 홍보 목적으로 서울 바르디 치과에서 직접 작성하였습니다.제공된 정보는 참고만 하실 것을 권유 드리며 증상 파악 및 정확한 관리 방법은 의료기관에 내원 후 의료진을 통해 안내받으시길 바랍니다.치과에서 진행되는 모든 시술 / 수술은 개인에 따라 (염증, 출혈, 부기 등) 가능성이 있습니다.사전에 의료진과 충분한 상담을 통해 결정하시길 바랍니다.게시물의 치료 사례는 실제 본원에서 치료를 마친 환자분들의 동의하에촬영되었으며 전, 후 사진은 동일 조건에서 촬영되었습니다. |
#상일동역치과 #부러진앞니