안녕하세요~
서울바르디치과 대표원장 이주리입니다.
교정 진단을 내리다보면
추후 미니 스크류 치료가 필요할 수 있다 말씀을 드릴때가 있습니다.
그럴때마다 그건 뭔가요~?
꼭 해야해요? 질문을 많이 받아 준비해보았습니다.
교정중 미니스크류 필수일까? 투명교정도 때로는 필요하다
끝까지 읽어주세요~!!

우선 미니 스크류가 무엇인지부터 설명을 드릴께요~

230909
스크류 = 나사입니다.
mini screw 작은 나사라는 뜻인데요~
치아 교정 과정에서 사용되고 있습니다.
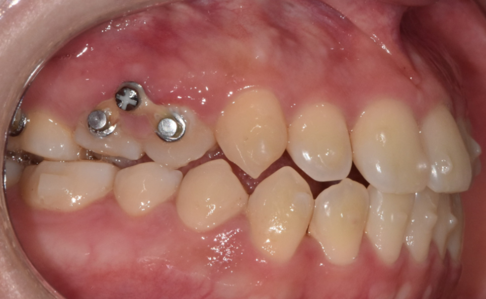
주로 잇몸 뼈 안에 삽입되어 치아를 이동 시키는데 쓰이는데요.
사진에서도 고무줄이 걸려있죠~?
미니스크류를 뼈 안에 심고
고무줄을 걸어 치아를 원하는 방향으로 당기거나 밀 때 고정원으로 사용됩니다.
뼈 안에 식립하기때문에 미니 임플란트라고도 불려요.

240115
아주 작은 크기라 양치하거나 하면서
빠질 수도 있답니다!
교정중 미니스크류 필수일까?
미니스크류가 뭔지 알아가셨다면
두번째 질문 "꼭 그거 해야해요?"
일반적으로는 교정 장치만으로 치료가 어려울 때
추가적으로 미니스크류 식립을 하여 치료를 합니다.


230208~ 240416
그래서 어떤 사람은 미니스크류 치료가 필요하지 않지만
어떤 환자분들은 처음부터 치료가 필요하다 진단 내리기도 하고
교정 치료 과정 중에서 치아가 잘 안움직이면
미니 스크류 치료를 진행할 수도 있습니다.
환자분들에 따라 식립 개수는 달라져요~
주로 이런 경우에 미니 스크류 치료가 필요해요!!
아까 고정원으로 사용한다 말씀 드렸는데요.

230909
교정치료는 치아가 이동하는 방향과 힘의 조절이 매우 중요합니다.
치아 뿌리 쪽에 스크류가 식립되는데
돌출입 , 덧니 교정 , 부정교합 여러 케이스에 활용됩니다.
-
특정 치아를 움직여야할 때
-
발치 후 공간 폐쇄
-
큰 치아 이동이 필요하여 추가적인 힘이 필요할 때
정말 다양한 경우에 활용되고 있습니다!
교정력을 얻기 위한 목적이라 교정 종류 상관없이
미니 스크류 식립이 필요한데요.
발치 교정 , 비 발치 교정
심지어 투명교정에도 활용됩니다.

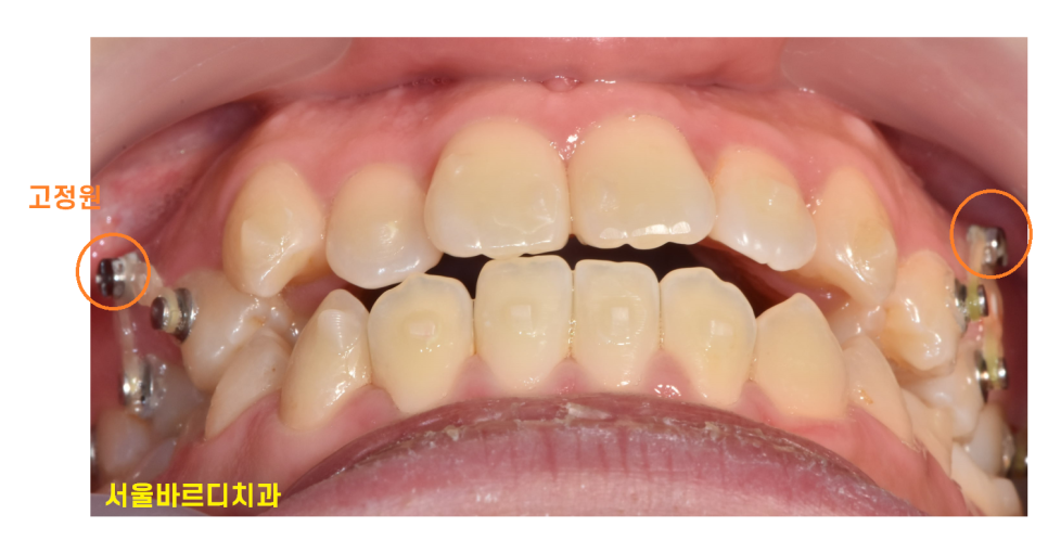
230617
투명 교정 인비절라인으로 불리는 치료는 꼈다 뺐다만 하여
치아가 이동된다 생각하시는 분들이 많습니다.
그렇지만 투명교정 장치만으로는 모든 치아 이동이 완벽히 이루어지기 어려운 경우가 있습니다.
이럴 때는 미니 스크류를 함께 사용하기도 하는데요.
힘을 확실히 주기 때문에
치료 기간이 단축되고 치아 이동이 정확하게 이루어진답니다~!
투명교정 장치를 끼고 나서는 사진과 같은 모습입니다.
결론
- 환자분 케이스에 따라 미니스크류 식립이 필요하다.
2)투명 교정에서도 쓰인다.
설명드릴 때 미니 임플란트라고 말씀드리기 때문에
그거 아픈가요?
많이 걱정해주십니다.
마취 후 이루어지고 시술 후 약처방도 진행해드리기 때문에
통증은 크지 않아요~
추가적으로 궁금하신 부분 ,
서울바르디치과 도움이 필요하실 때는
아래 대표번호로 전화 부탁드립니다~!
| 예약 전화하러 가기 |
|---|
| 02-481-4278 |
대표원장 이주리였습니다.
감사합니다!!!
.
| 본 게시물은 의료광고 법 제56조 1항을 준수하여의료 정보 제공 및 병원 홍보 목적으로 서울 바르디 치과에서 직접 작성하였습니다.제공된 정보는 참고만 하실 것을 권유 드리며 증상 파악 및 정확한 관리 방법은 의료기관에 내원 후 의료진을 통해 안내받으시길 바랍니다.치과에서 진행되는 모든 시술 / 수술은 개인에 따라 (염증, 출혈, 부기 등) 가능성이 있습니다.사전에 의료진과 충분한 상담을 통해 결정하시길 바랍니다.게시물의 치료 사례는 실제 본원에서 치료를 마친 환자분들의 동의하에촬영되었으며 전, 후 사진은 동일 조건에서 촬영되었습니다. |
#교정중미니스크류