안녕하세요 정직하고 꼼꼼한 진료를 시행하는
서울바르디치과 대표원장 장태현입니다!!
오늘은 치아 상실을 했을 때 치료하는 대표적인 2가지 치료 방법
브릿지와 임플란트 뭐가 다른지 말씀드리려고 합니다.
많은 분들이 질문을 해주십니다.
원장님, 수술은 너무 무섭고
씌우는 치료는 없나요??
수술 대신 씌워서 치료를 끝내고 싶어들 하세요.
브릿지 치료 방법이 있지만
임플란트를 먼저 추천드리는 이유!!
이 글을 끝까지 읽으시면 알게 되실 겁니다.
각 치료별로 장단점이 달라서
케이스별로 직접 보여드리면서 설명드릴까 합니다.
고덕역 근처 치과 브릿지와 임플란트 고민 중이신 분들 클릭하세요
속 시원하게 해결해드릴게요~!


221218
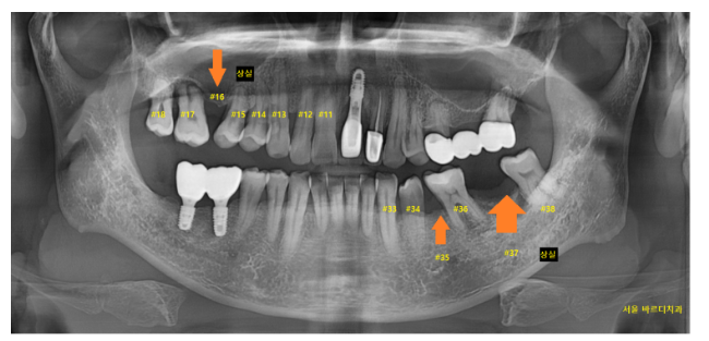
고덕역 근처 치과 방문해 주신 환자분입니다.
x-ray 사진에서 군데 군데 비워져 있는 곳이
눈에 보입니다.
오른쪽 윗니 어금니 1개
왼쪽 아래 어금니 2개
총 3개가 없는 상태입니다.

221218
https://blog.naver.com/implant_master/223638168924
예전에 치아를 뽑고 방치하면
이동이 발생하기 때문에 바로 치료를 해야한다는 글을 작성해드린 적이 있는데요.
오늘 환자분도 이가 빠진채로 오랫동안 사용하신 듯 합니다.
치아들이 옆으로 픽픽
쓰러져 있는 상황이었거든요~
어금니가 원래 있던 자리를 벗어나다 보니
발생한 문제점
하나씩 살펴보겠습니다~!

231216
먼저 윗니 어금니
이제는 임플란트로 치료를 하고 싶어도
못하는 상황이 되었습니다.
11,12,13,14,15 적혀있는 것은 치아 번호입니다.
순서대로 있어야 하는데..
15 다음이 17이 있죠?
16 어금니가 안보입니다.
이 어금니가 오래전 발치된 것인데
시간이 오래 지나다 보니
치아 빠진 공간이 좁아졌습니다.
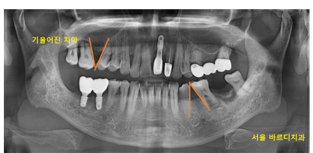
양 옆 치아(15번 17번)가 쓰러지기도 많이 쓰러졌고요.
임플란트를 심을 수 있는 공간이 나와야
나사가 들어가는데
전혀 공간이 보이지 않습니다.
" 그럼 어떻게 해야하나요 원장님~? "
이렇게 치아가 많이 쓰러진 경우
임플란트가 개발되기 전 치료방법 "브릿지" 로 치료합니다.

221218
이렇게 양 옆 치아가 치아 없는 부분을 대체하는 치료가 브릿지인데요
-
수술을 안 해도 된다.
-
치료 기간이 빠르게 해결된다
2가지 장점이 있지만
브릿지 치료방법의
치명적인 단점이 있습니다.
고덕역 근처 치과 방문해 주신 환자분
보여드릴게요~

221218
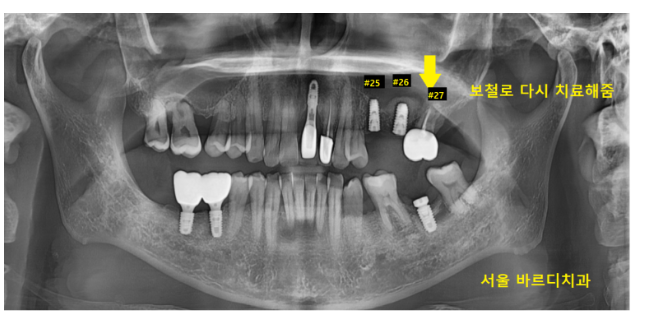
씌워놓았던 치아 1개가 충치가 생겨
머리 부분이 부러졌습니다.
1개 치아에 문제가 생겼지만
브릿지 치료는 다같이 묶어 놓는다는게 제일 큰 문제입니다.
각각 치료한 치아는
문제가 생긴 치아만 건들이면 되지만
브릿지는 통째로 치료를 다시 해야하거든요~
그 얘기는
다른 치아가 문제가 없어도
벗겨내야 한다는 말이에요~!

221218
묶어뒀던 치아를 벗겨낸 모습입니다.
문제가 있던 치아는 왼쪽 사진
누가 봐도 까맣게 보이죠??
충치가 심한 치아는 살리기 어려워 발치 후 임플란트
오른쪽에 있는 사진은
벗겨 냈을 때 내부가 멀쩡해 보여
다시 씌워서 사용하기로 설명 드렸습니다.
내 치아는 최대한 오랫동안 사용해야 한다.
다들 들어보셨을텐데요.
치아는 한번 손상되면 회복이 어렵기에
되도록 건드리지 않는 게 좋습니다.
브릿지 치료는 양 옆의 멀쩡한 내 치아를 삭제해야되기 때문에
요즘은 임플란트로 추천드리는 것이랍니다!

230520
임플란트는 수술을 해야하긴 하지만
빠진 부분만 채워 넣으면 되니까요!
다른 치아 손상이 없어서 적극 추천!
>고덕역 근처 치과 위치 확인<
내 치아 최대한 보존하는 서울 바르디 치과
고덕 그라시움 상가 내에 위치합니다.
▼오늘 글 정리▼
치아가 빠지면 임플란트와 브릿지
2개의 치료방법이 있다.
브릿지는 양 옆의 멀쩡한 치아를 깎아야 해서
요즘은 특별한 경우가 아니고서야
임플란트 치료를 추천드리고 있다.
| 예약 전화하러 가기 |
|---|
| 02-481-4278 |
오늘은 자주 물어보시는 내용으로
글을 작성해 보았습니다.
환자분들마다 상황이 다르기 때문에
제가 직접 확인해 보고
어떤 치료가 제일 좋을지 말씀드릴 수 있습니다
항암치료나 방사선 치료를 하고 계시면
임플란트 수술이 어렵기 때문이죠!
경우에 따라 달라지기 때문에
미리 예약 후 내원 부탁드리겠습니다!!
| 본 게시물은 의료광고 법 제56조 1항을 준수하여의료 정보 제공 및 병원 홍보 목적으로 서울 바르디 치과에서 직접 작성하였습니다.제공된 정보는 참고만 하실 것을 권유 드리며 증상 파악 및 정확한 관리 방법은 의료기관에 내원 후 의료진을 통해 안내받으시길 바랍니다.치과에서 진행되는 모든 시술 / 수술은 개인에 따라 (염증, 출혈, 부기 등) 가능성이 있습니다.사전에 의료진과 충분한 상담을 통해 결정하시길 바랍니다.게시물의 치료 사례는 실제 본원에서 치료를 마친 환자분들의 동의하에촬영되었으며 전, 후 사진은 동일 조건에서 촬영되었습니다. |
#고덕역근처치과