안녕하세요!
서울바르디치과 장태현 원장입니다.
많은 환자분들이 입냄새좀 해결해달라고
많이들 찾아오시는데요.
그 중 하나가 잇몸에서 짠맛 같은게 느껴진다.
고름이 나온다는 증상을 호소해주십니다.
잇몸에서 왜 고름 냄새가 나는 것일까요?
원인에 대해 같이 알아보러 가실께요~~

잇몸에서 고름 냄새가 난다면?
잇몸을 누르면 농도 나오고
고름 냄새가 난다면 잇몸 건강에 심각한 문제가 있다는 신호일 수 있습니다.
여러 원인이 있겠지만 가장 흔한 원인은 치주염입니다.

240430
치주염(잇몸병) 풍치라고도 하죠.
잇몸 뼈가 내려가면서 치아와 잇몸 사이 치주낭에 염증이 생기고
세균이 증식하면서 고름이 형성 냄새를 유발합니다.

240430
작은 자극에도 잇몸에서 피가 나기도 하고
계속 방치하면 고름이 차면서 냄새가 심해질 수 있습니다.
치주염은 불량한 구강 위생 환경에서부터 시작됩니다.
치석과 플라그가 제거 되지 않으면서
세균이 잇몸 깊숙이 침투해 문제를 일으키는거죠~
그래서 1년에 한번씩은 주기적으로 오셔서 스케일링도 받고
관리가 필요합니다!
잇몸 고름 냄새와 동반되는 증상
이때 입 냄새만 나는 것은 아닙니다.
치아도 흔들릴 수 있고
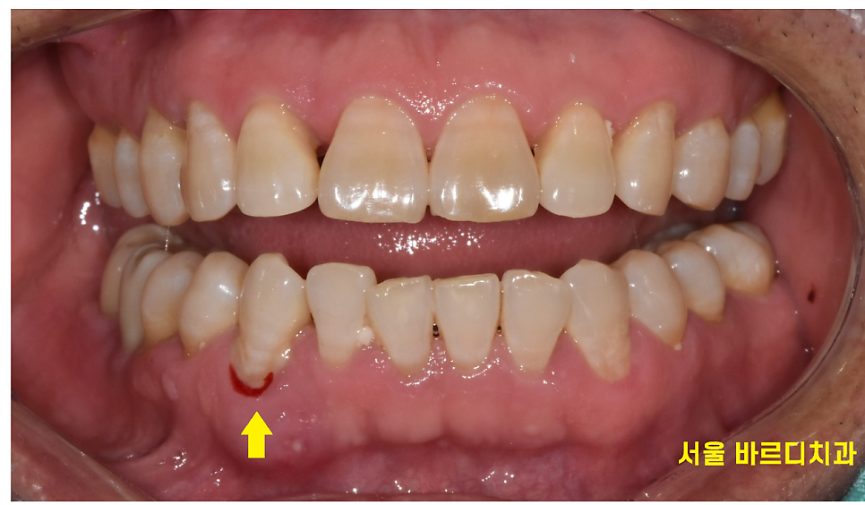
위의 사진처럼 잇몸이 붓거나 피가나고
음식을 씹을 때 시리거나 아플 수 있습니다.
잇몸에서 노란색 또는 하얀색 고름같은 것도 나올 수 있고요
잇몸뼈가 녹으면서 따라오는 증상들이죠.
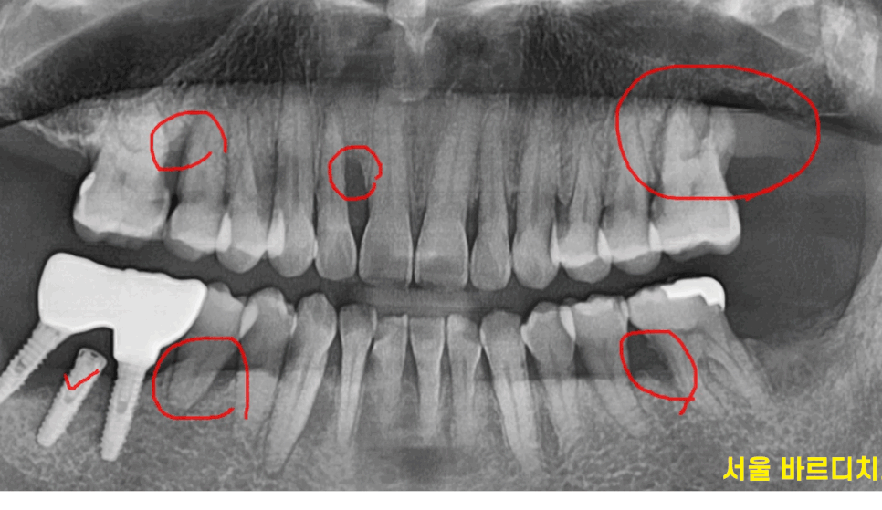
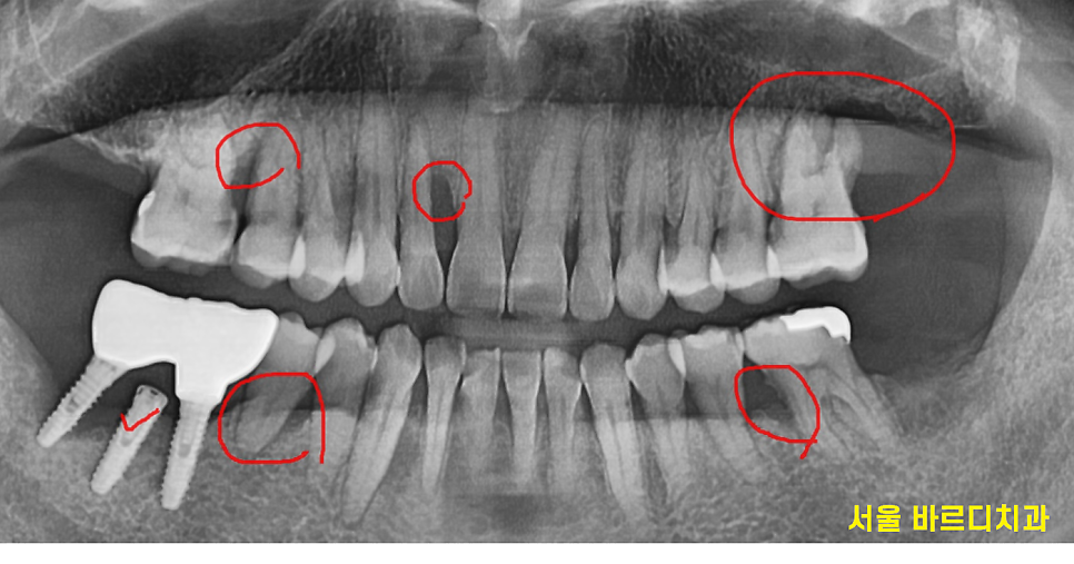
잇몸 뼈가 많이 녹은 x - ray를 보여드릴께요~

240430
빨간색 동그라미 친 부분이
잇몸뼈가 다 녹은 부분입니다.
이 정도가 되면 사실은 이를 뽑아야하는데요.
어떻게든 치아를 안뽑고 싶어하시기에
약 처방을 해줄 수는 없냐 많이들 물어봐주세요.
안타깝게도 약처방만으로는 치료가 되지 않습니다.
잇몸 뼈가 내려가면 고름을 배출 시키는 잇몸 치료라던가
처치가 필요한데요.
아무래도 잇몸 치료가 아플 것이다.
잦은 치과 내원 횟수에 대한 부담감
여러가지 원인으로 치료가 계속 이루어지지 않는게 현실이죠ㅠㅠ

240430
계속 방치하면 치아가 잇몸에 대롱 대롱 매달려있는
거의 뿌리만 잡고 있는 형태가 됩니다.
증상이 악화될 뿐 해결이 되지 않아
근본적으로는 발치 후 임플란트 치료 등으로 문제를 해결해주어야합니다.

240920
오늘 환자분도 가장 문제가 되는 부분부터
발치 후 임플란트 치료를 하셨답니다.
결론
잇몸에서 고름 냄새가 나는 것은 단순히 무시할 문제가 아닙니다!!
잇몸병이 있을 수 있고 방치한다고 개선이되는 것이 아니라는 것..
문제가 발견되는 즉시 치과에 방문하여 적절한 진료를 받아주세요.
<문제 해결하러 가기>
02-481-4278
초기 잇몸병은 몇만원 이내의 잇몸치료만으로도 해결되지만
방치하면 몇백만원으로 돌아옵니다.
약 처방은 절대적인 치료 방법이 아니라는 것 알아주시면서
이만 마무리 하겠습니다.
도움이 필요할 때는 "댓글"에 남겨 주시고요.
읽어주셔서 감사합니다!!
.
| 본 게시물은 의료광고 법 제56조 1항을 준수하여의료 정보 제공 및 병원 홍보 목적으로 서울 바르디 치과에서 직접 작성하였습니다.제공된 정보는 참고만 하실 것을 권유 드리며 증상 파악 및 정확한 관리 방법은 의료기관에 내원 후 의료진을 통해 안내받으시길 바랍니다.치과에서 진행되는 모든 시술 / 수술은 개인에 따라 (염증, 출혈, 부기 등) 가능성이 있습니다.사전에 의료진과 충분한 상담을 통해 결정하시길 바랍니다.게시물의 치료 사례는 실제 본원에서 치료를 마친 환자분들의 동의하에촬영되었으며 전, 후 사진은 동일 조건에서 촬영되었습니다. |
#잇몸고름냄새