안녕하세요!
서울바르디치과 장태현 원장입니다.
충치의 가장 무서운 점은
조금씩 치아를 파먹어간다는게 문제입니다.
오늘 환자분도 조금씩 조금씩 썩어가다
결국.. 치아 뿌리가 부러져 내원하신 환자분입니다.
천호동 임플란트 치아 뿌리 충치가 파절을 유발하다.
3분만 집중해주세요!


231127
오늘의 환자분은 1년에 한번씩
정기적인 스케일링을 받기 위해 천호동 치과를 방문해주셨습니다.
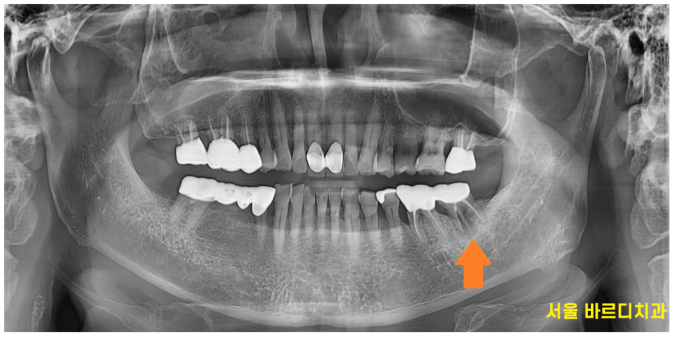
검진을 위하여 촬영해본 x ray
왼쪽 아래 치아가 문제가 있어보입니다.
치아 뿌리가 부러진 것처럼 보이는데요~

231127
정확한 검진을 위해 추가 사진을 1장 촬영해보았습니다.
선명하게 파절 선이 보입니다.
치아 뿌리가 부러졌네요~
부러진 팔은 깁스를 하면 회복이 되지만
치아의 경우 부러지면 발치하는 수밖에 없습니다.
붙여쓸 수 있거나 다시 자라나거나 하지 않거든요~
환자분께 해당 상황을 설명드렸습니다.
치료하신지도 워낙 오래 되었고
씹을 때 불편하셨다고 치료해달라고 하셨는데요.
문제가 생긴 치아는 맨 끝 부분

부러진 이유는 단단한 음식을 드시다 충격이 갔을 수도 있고
알 수 없습니다.

231211
오늘의 환자분은 치아 뿌리 충치가 원인입니다.
서서히 치아를 파먹으면서 뿌리가 부러졌네요~
치과 용어로는
"치근 우식증"이라 표현하는데요.
환자분은 보철을 씌운 치아에 충치가 발생했습니다.

잇몸과 보철 경계부위가 양치가 잘 안되고 하다보니
세균과 음식물이 붙으면서 충치가 생긴듯 합니다.
"이렇게 많이 썩었는데 왜 아프지 않은가요~?" 물어보실 수 있습니다.
오늘 환자분은 이전에 신경치료를 진행했던 치아이기에
신경이 제거 되어서
통증은 없으셨을겁니다.
대신 이런 증상은 느껴지셨을꺼에요~
치아 뿌리 충치가 파절을 유발했기에
씹을 때 시큰하다거나...
욱신한 느낌~

231211
발치 후 천호동 치과에서 임플란트를 진행하기로 하였습니다.
주황색 부분이 웅덩이가 졌죠~?
뼈가 없는 부분입니다.

231211
천호동 임플란트 직후 사진입니다.
당일에 이를 뽑고 임플란트를 심었습니다.
뼈가 부족한 부분은
임플란트 주변으로 뼈이식을 해드렸습니다.
간혹 임플란트와 뼈이식 한번에 되나요~?
질문해주시는데요.
수술하면서 한꺼번에 할 수 있습니다~!

보철 제작은 스캐너로 스캔하여 시행
천호동 임플란트 수술 후 3개월정도가 지나
머리를 만들어드렸습니다.
오늘은 치아 뿌리 충치로 파절되어
발치 후 천호동 치과에서 임플란트 치료해드린 이야기를 해드렸습니다.
문제는 얼마든지 생길 수 있습니다.
단지... 어떻게 해결해드리고
환자분이 편안하게 식사할 수 있느냐가 저에게는 중요합니다.
| 예약 전화하러 가기 |
|---|
| 02-481-4278 |
치아에 문제가 생기시면 언제든지 연락 주세요!
천호동 치과에서 치료해드리겠습니다.
긴 글 읽어주셔서 감사합니다 ^^
.
| 본 게시물은 의료광고 법 제56조 1항을 준수하여의료 정보 제공 및 병원 홍보 목적으로 서울 바르디 치과에서 직접 작성하였습니다.제공된 정보는 참고만 하실 것을 권유 드리며 증상 파악 및 정확한 관리 방법은 의료기관에 내원 후 의료진을 통해 안내받으시길 바랍니다.치과에서 진행되는 모든 시술 / 수술은 개인에 따라 (염증, 출혈, 부기 등) 가능성이 있습니다.사전에 의료진과 충분한 상담을 통해 결정하시길 바랍니다.게시물의 치료 사례는 실제 본원에서 치료를 마친 환자분들의 동의하에촬영되었으며 전, 후 사진은 동일 조건에서 촬영되었습니다. |
#천호동치과 #천호동임플란트 #치아뿌리충치