안녕하세요~~
서울바르디치과 대표원장 이주리입니다
치과에서 가장 많이 치료하는 재료인 "레진"
단단하고 심미적인 재료이지만
시간이 지나면 레진 주변으로 까맣게 변하는 변색이 발생합니다.
이 때문에 많은 환자분들이 충치가 생긴 것 같다고 내원해주시는데요~
충치와 변색은 다른 것이기에
정확하게 말씀드리고 있습니다!!
어찌됐든 잘 안보이는 부분은 상관 없지만
눈에 띄는 앞니의 경우 색깔이 변해 고민들을 해주시는데요.
앞니 레진 재치료 변색 부위 연마하면 처음 느낌 그대로
오늘 환자분도 소개해드릴께요~!

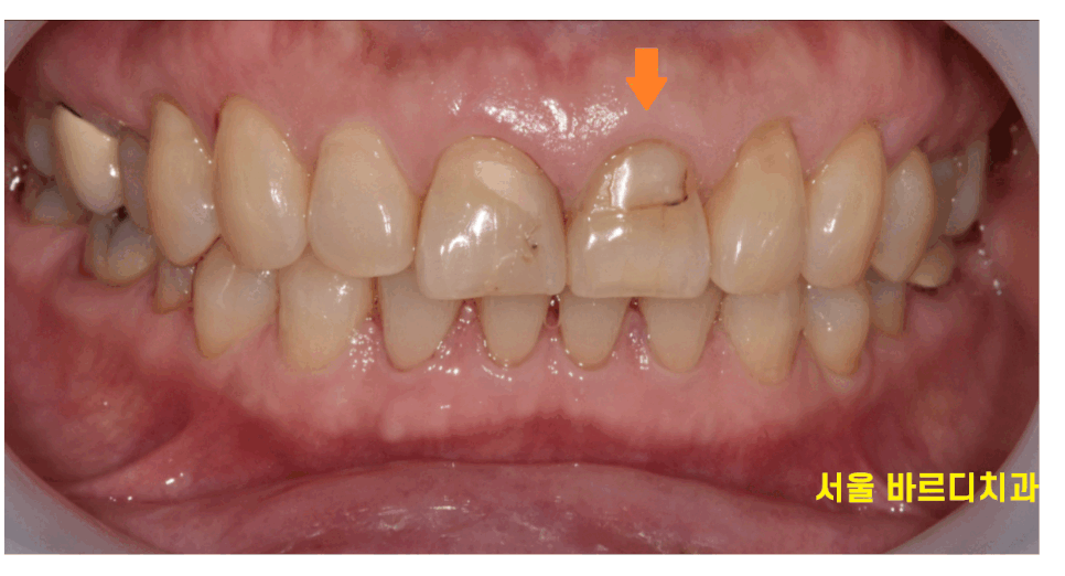
앞니에 충치가 생긴 것 같아요

240103
앞니에 까만 점 같은게 생겼다고 방문을 주셨습니다.
거뭇 거뭇하죠~?

240103
자세히 확인해보니 떼워놓은 흔적이 보입니다.
예전에 레진이라는 재료로 떼우셨네요~
앞니 레진 변색 왜 생기는 건가요?
-
커피와 같은 착색 음식을 먹어 생기는 변색
-
시간이 지나 생기는 변색
핸드폰 투명 케이스도 오래 쓰다보면 누래지고 하잖아요~
레진 재료도 오래 쓰다보면 색깔이 변합니다.
까매서 보기 싫은데
앞니 레진 재치료가 필요한가요~?
충치가 아니라 색깔이 변한거다~ 말씀드리면
어떻게 다시 하얗게 만들 수 있나요~?
앞니 레진 재치료를 해야하냐 많이들 물어보시는데요.
상태에 따라 치료 방법은 달라집니다.
단순히 색깔만 변한거면 polishing
그러니까 레진 표면을 살짝 다듬어서
원래대로 바꿔주는 방법이 있고요~
주변으로 충치라던가
깨진 부위가 있어서 보수가 필요하다 싶으면
앞니 레진 재치료에 들어갑니다.

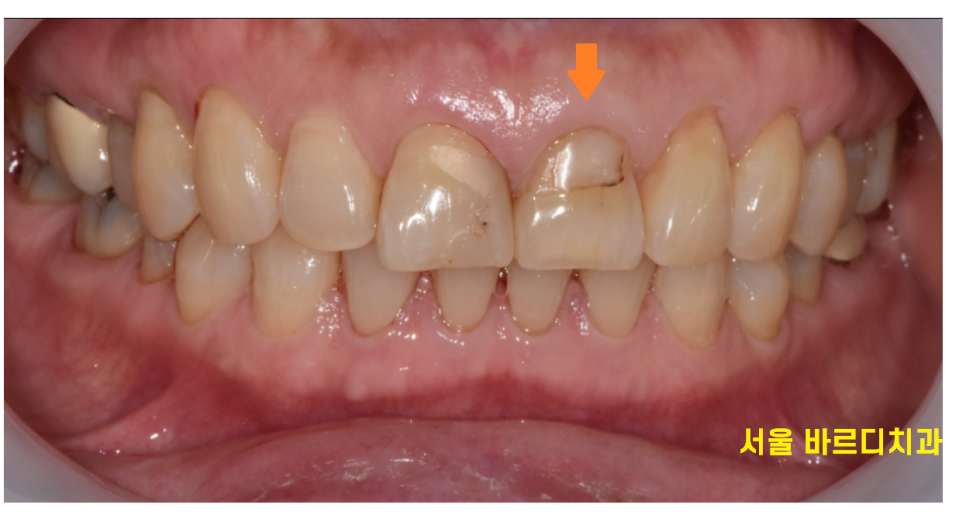
240221
오늘 환자분은 앞니 레진 변색 부위는 문제가 되지 않았지만
치아 여러 부위에 치경부 마모증이 있었습니다.
치아 뿌리쪽 목 부분이 파인거죠~
치경부 마모증 증상에 대해서는
다음번에 다시 설명을 드리고..

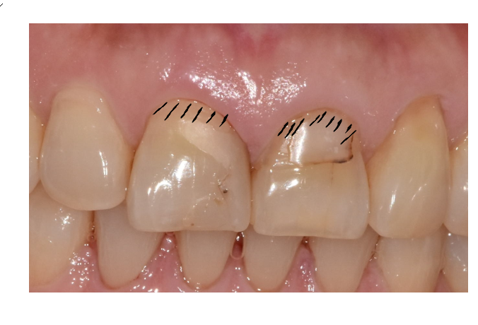
240103
앞니 부위에도 치경부 마모증 증상이 있었습니다.
레진 떼운 부위와 턱이지는
경계가 생기기도 하였고
바람을 불었을 때 시려하셨습니다.
그래서 두가지 해결을 도와 드렸는데요~
-
앞니 레진 변색 연마해서 깨끗하게
-
파인 부분 레진으로 재치료
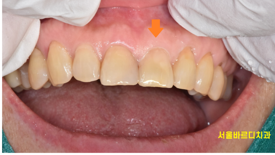
앞니 레진 변색 보수도 하고 보강도 하여
치료를 진행해드렸습니다.

떼운 느낌 없이 투명하게~
내 치아 느낌 나도록 앞니 레진 재치료 해드렸습니다.
이번에 치료한 부위 시간이 지나면서 변색이 생길 수 있나요?
궁금해 하실텐데요!
음식을 먹으면서 생기는 자연 착색은 막을 수 없지만...
https://blog.naver.com/implant_master/223548169717
예전에 언급했듯 치료 과정에서는 원칙을 지켜
앞니 레진 변색을 최대한 방지합니다.

파란 색깔 배경이 "러버댐"이라는 치과 재료입니다.
레진 재료의 특성상 침과 물이 닿으면
처음부터 다시 진행되어야합니다.
치료를 하는 과정에서 러버댐을 사용해
물을 막고 건조된 상태에서 치료를 진행한답니다~
간단하고 많이 하는 진료라도
제 사전에 대충은 없거든요~
완벽하고 꼼꼼하게~!!
| 예약 전화하러 가기 |
|---|
| 02-481-4278 |
저의 진료를 경험하고 싶은 환자분들은
언제든지 방문해주셔도 좋습니다!!
모든 과정에서 원칙을 중시하다보니
진료 시간이 길어질 수 있습니다.
그 얘기는 오시기 전 예약은 필수입니다.
예약하고 오신 환자분들... 사랑합니다
.
| 본 게시물은 의료광고 법 제56조 1항을 준수하여의료 정보 제공 및 병원 홍보 목적으로 서울 바르디 치과에서 직접 작성하였습니다.제공된 정보는 참고만 하실 것을 권유 드리며 증상 파악 및 정확한 관리 방법은 의료기관에 내원 후 의료진을 통해 안내받으시길 바랍니다.치과에서 진행되는 모든 시술 / 수술은 개인에 따라 (염증, 출혈, 부기 등) 가능성이 있습니다.사전에 의료진과 충분한 상담을 통해 결정하시길 바랍니다.게시물의 치료 사례는 실제 본원에서 치료를 마친 환자분들의 동의하에촬영되었으며 전, 후 사진은 동일 조건에서 촬영되었습니다. |
#앞니레진변색 #앞니레진재치료