안녕하세요 디지털 진료로 오차 없는 진료를 시행하는
서울바르디치과 대표원장 장태현입니다!!
임플란트 위아래 같이 한꺼번에 할 수 있나요?
한방에 끝내고 싶어요
치아가 여러개 빠진 환자분들의 경우에는
한 번에 치료를 받고 싶어 하는 경향이 있습니다.
여러 번 고생할 바에
한 번만 고생하겠다! 이렇게 말씀을 하시더라고요
명일동 치과 임플란트 위아래 같이 한꺼번에 할 수 있나요??
해답을 알려드릴게요~!


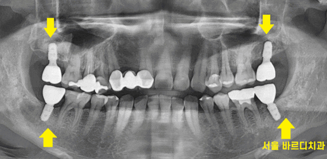
230516
명일동 치과를 처음 방문하셨을 때 사진입니다.
보시는 것처럼
위, 아래
오른쪽, 왼쪽
사이좋게 양쪽 맨 끝 어금니를
상실하신 채 내원하셨어요.
총 4개 치아가 없으셨습니다.
맨 끝 치아가 위아래로 빠지면
짝궁 치아끼리 없기 때문에 임플란트 수술을 하지 않아도
괜찮습니다
식사하시는데 크게 지장을 받지도
다른 치아에 영향을 끼치지도 않거든요~
https://blog.naver.com/implant_master/223440607543
예전에 관련하여 글 작성한게 있으니
읽어봐주시길 바랍니다.
하하.. 안해도 된다니
치과의사 맞아..? 생각하실 수 있겠지만
명일동 치과는 꼭 필요한 진료만
권유 드리기 때문에
-
식사하시는데 불편이 없다
-
다른 치아에 영향이 없다
명일동 임플란트 수술을 추천드리지 않습니다.
물론 치아 개수대로 회복하는게 제일 베스트이지만요!!
오른쪽으로 잘 안 씹히는 거 같아
임플란트 하고 싶어요.
환자분은 명일동 임플란트 수술을 오른쪽만 해달라 하셨습니다.
양쪽 어금니가 똑같이 없어도
오른쪽으로 잘 안씹히는 느낌을 받으셨대요

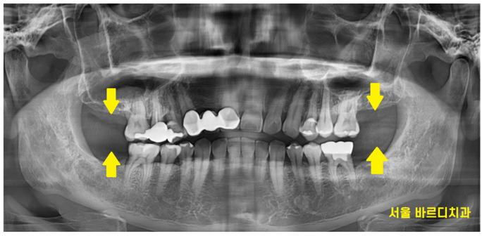
230610
왜그렇게 느끼셨을까
원인을 찾기 위해 ct를 촬영해보았습니다.
ct를 분석해 보니
치아가 똑같이 양쪽으로 없었어도
오른쪽 왼쪽 남아있는 뼈의 양이 다르네요~~
오른쪽이 왼쪽에 비해서
뼈가 더 없었는데
본능적으로 환자분께서 느껴지셨던 것 같습니다.
ct를 찍지 않아도
내부 뼈의 상태를 잘 몰랐어도
식사를 하시면서 느껴지는 감...!

230622
어쨌든... 현재 오른쪽으로 잘 안씹히는 느낌을 받으셨으니
해결을 해드려야하는데...
환자분께서 내원하시기까지 고민이 많으셨다하셨습니다.
예전에 이를 뽑을 때 하도 아파서
임플란트 수술이 더 아플꺼같아서
고민을 많이 하셨답니다.
식사할 때마다 씹는 힘이 다르게 느껴져
고민 끝에 서울 바르디치과를 내원해주셨는데요
원장님 무서우니까 위아래 한번에 수술해주세요
이건 환자분 성향에 따라 다르긴 한데
1)하나씩 나눠서 경험해보고 싶으신 분들과
2)이왕 오신김에 한번에 끝내시고 싶은 분들
나눠집니다.

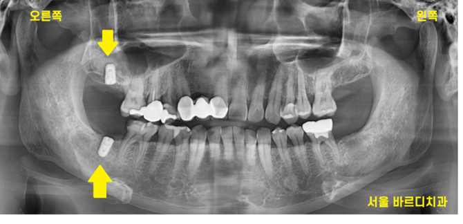
230711
두개 어떤 상황이든 환자분이 원하시는대로 해드려야죠~
오늘 환자분은 뼈가 없어서 씹는 힘이 다르게 느껴지셨기에
뼈 이식을 동반하여 수술을 진행하였습니다.

230821
가장 기뻤던 일화중 하나가
오른쪽 수술을 끝내고 체크를 위해 내원하셨을 때
수술 별거 아니네요~
왼쪽도 진행하겠습니다.
말씀하셨을 때입니다.
왼쪽도 임플란트 위아래로 한번에 진행해드렸습니다.
명일동 치과에서 진료가
불편함 없이 편안하게 느껴지셨나 봅니다 ㅎㅎ
처음에 오른쪽만 원하셨었는데
반대편까지 진행하시다니..!!
치과의사로서 이럴 때 희열감, 짜릿함을 느낍니다!!

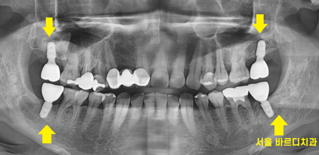
231125
한달 간격으로 오른쪽, 왼쪽 수술을 진행하여
완성은 동시에 끝내드렸습니다.
어금니 4개가 추가적으로 생기셨으니
맛있는 거 더 많이 드실 수 있겠습니다.
소화도 더 잘되실 것이고요
<서울 바르디치과 위치 확인하기>
환자 요구도 반영이 언제나 1순위입니다.
환자의 요구가 반영되지 않는 일방적인 진료는
불만의 시작이라 생각합니다.
충분한 상담으로 만족감을 이끌기 위해
앞으로도 노력하겠습니다!!
| 예약 전화하러 가기 |
|---|
| 02-481-4278 |
환자 한 분 한 분 소홀히 진료하기에
예약 진료를 추구하고 있습니다.
내원 전 반드시 예약 부탁드립니다~~
대표원장 장태현이었습니다!!
| 본 게시물은 의료광고 법 제56조 1항을 준수하여의료 정보 제공 및 병원 홍보 목적으로 서울 바르디 치과에서 직접 작성하였습니다.제공된 정보는 참고만 하실 것을 권유 드리며 증상 파악 및 정확한 관리 방법은 의료기관에 내원 후 의료진을 통해 안내받으시길 바랍니다.치과에서 진행되는 모든 시술 / 수술은 개인에 따라 (염증, 출혈, 부기 등) 가능성이 있습니다.사전에 의료진과 충분한 상담을 통해 결정하시길 바랍니다.게시물의 치료 사례는 실제 본원에서 치료를 마친 환자분들의 동의하에촬영되었으며 전, 후 사진은 동일 조건에서 촬영되었습니다. |
#명일동치과 #명일동임플란트
#임플란트위아래