안녕하세요!
서울바르디치과 장태현 원장입니다.
예전에 외국인 유치의료기관 승인을 받았다
전달 드린적 있는데요~
https://blog.naver.com/implant_master/223685566881
오늘은 실제 외국인 환자분을 진료한 케이스를 들고와봤습니다.
외국인 치과 진료 하악 전체 임플란트 7개 심어 12개 치아 만들기
재건하는 과정을 지켜봐주시길 바랍니다!

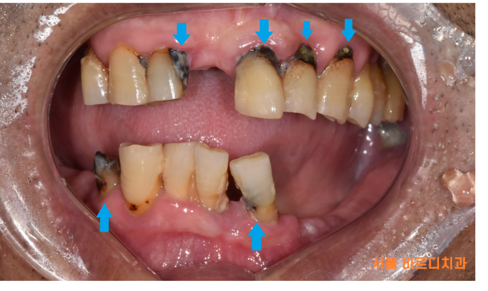
치아가 안좋아요
원인으로 병원을 내원해주셨습니다

240502
한국의 치과 진료 수준은 세계적인 수준입니다.
스케일링 같이 치아 보존에 필요한 치료가 보험도 되고
국가 검진이라던가 보건소에서 불소 용액도 도포해주고
치아를 건전하게 보존할 수 있는 정책들도 잘 마련되어있습니다.
그에 비해 외국의 치과 진료는
이를 뽑는 것으로 마무리하는 경우가 많습니다.
환자분도 60대 초반이셨는데
관리도 안되고 하다보니 일찍이 치아가 망가졌다 하셨습니다.
한국에서 일하는 동안 치료를 받고 싶다고 하셨는데요.
서울바르디치과는 외국인 치과진료 병원이기에
찾아와주셨습니다.

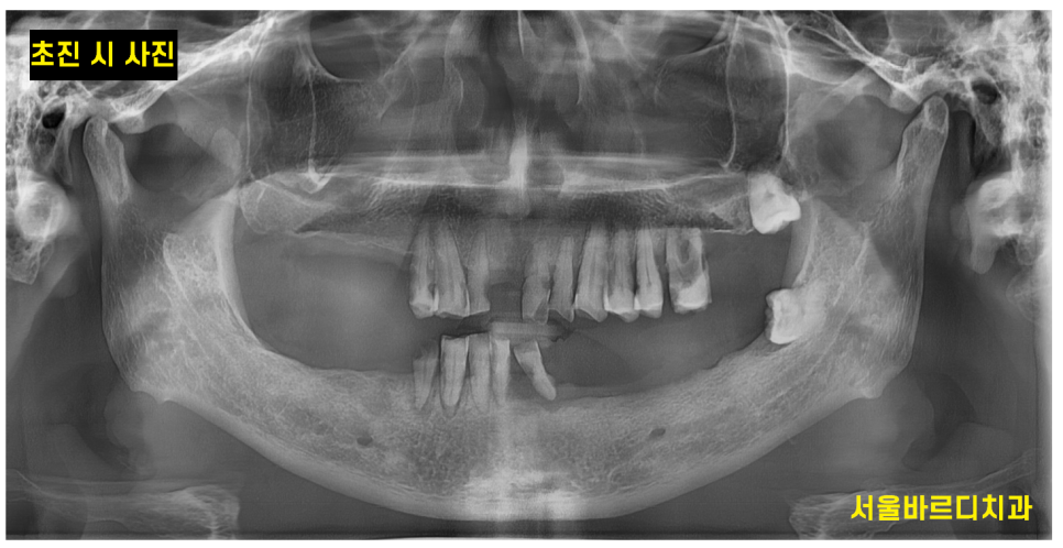
240502
한눈에 보아도 군데군데 썩어있고...
이미 뽑힌 치아도 많았습니다.
치아 상실로 인하여 잇몸 수축이 진행되어 실제보다
나이가 들어보이는 인상을 가지고 계셨는데요.



24014
뽑힌 치아도 많았고
앞으로 뽑아야 할 치아도 많았습니다.
상악은 그나마 괜찮았지만
아래 치아 같은 경우 하악 전체 임플란트가 필요했습니다. '
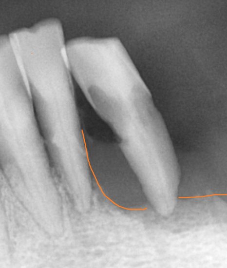
작은 x ray도 찍어보고
ct도 찍어 찍어 최대한 남길 수 있는 치아들은 남기고 싶었으나
아래 치아의 경우 몹시도 흔들리고 충치가 심하여
남아있는 치아 전부 제거가 필요했습니다.
<치료 계획>

240502
분석과 고민 끝에 외국인 치과 진료 계획을 수립했습니다.
일반적으로 아래 치아 14개
위에 치아 14개 총 28개의 치아를 가지고 있습니다.
사랑니를 제외하고 말이죠.
모든 치아 개수를 충족해주는게 제일 좋지만
오늘 환자분처럼 치료 해야할 개수가 늘어나면
비용적 부담도 늘어나는 것이 사실입니다.
이럴경우 경제적으로
맨 끝 치아를 제외 하고 24개의 치아로 치료를 종결하곤 하는데요.
하악 전체 임플란트 7개 식립으로 12개의 머리를 만들고
상악은 상태가 안좋고 이미 뽑힌 치아만 임플란트로
나머지는 브릿지 치료로 진행하기로 상담해드렸습니다.

240514
수술은 하루에 전악 심는 것으로 진행되었습니다.
환자분이 근무를 하시다보니 시간 나는 날이 들쭉날쭉이고
언제 다시 외국으로 가실지 몰랐기 때문에
네비게이션 임플란트로 가이드를 미리 제작
하악 전체 임플란트와
상악은 3개 수술을 완료하였습니다.


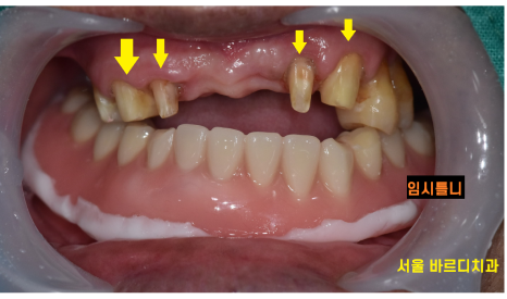
240716~240731
그동안은 임시 틀니로 식사가 가능하게 해드렸고요
임플란트가 뼈와 붙을 때까지
치료할 수 있는 치아 먼저 치료하였습니다.


240808
하악 전체 임플란트 치료였기에 높이를 재건해주는게 중요했습니다.
임시치아 과정도 거치고
어금니 부터 제작하여 높이를 복구해준 뒤
아래 앞니 보철을 맨 마지막으로 제작해드렸습니다.

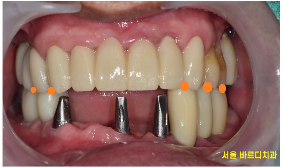
241025
치료 후 사진입니다.
하악 전체 임플란트 7개로 12개의 머리를 완성
상악도 3개의 임플란트 치료를 진행했습니다.
약 5개월정도 치료 기간이 걸렸습니다.
환자분은 외국인 치과 진료를 끝내고 고국으로 되돌아가셨습니다.
한국에서 무너진 치아를 재건해드릴 수 있어서
굉장히 뿌듯했습니다.
다음번 정기검진때 한국을 다시 방문해주시기로하고
치료를 종결해드렸는데요~
국위선양한 기분이 들더군요.
외국인 환자분들을 치료할 때
의사소통이 어렵지 않을까 많은 걱정을 해주시는데요.
번역기도 워낙 잘나와있고
제가 평소에 영어 공부를 틈틈히 하기 때문에 문제가 되었던 적은 없습니다.
주변에 치과 치료가 필요하신 분들이 있다면
저희 병원을 추천해주시길 바라면서...ㅎㅎ
오늘의 환자분 스토리는 여기까지입니다.
감사합니다!!!
<오늘 진료 다시보기>
| 본 게시물은 의료광고 법 제56조 1항을 준수하여의료 정보 제공 및 병원 홍보 목적으로 서울 바르디 치과에서 직접 작성하였습니다.제공된 정보는 참고만 하실 것을 권유 드리며 증상 파악 및 정확한 관리 방법은 의료기관에 내원 후 의료진을 통해 안내받으시길 바랍니다.치과에서 진행되는 모든 시술 / 수술은 개인에 따라 (염증, 출혈, 부기 등) 가능성이 있습니다.사전에 의료진과 충분한 상담을 통해 결정하시길 바랍니다.게시물의 치료 사례는 실제 본원에서 치료를 마친 환자분들의 동의하에촬영되었으며 전, 후 사진은 동일 조건에서 촬영되었습니다. |
#외국인치과진료 #하악전체임플란트