안녕하세요~
서울바르디치과 대표원장 이주리입니다 ㅎㅎ
가지런한 치아는 성별 , 연령 무관하게
모두가 원하는 요구사항입니다.
젊었을 때는 안그랬던거 같은데..
나이가 들수록 치아가 더 벌어져요
고민으로 저를 많이 찾아오시는데요.
앞니 사이 간격 넓어짐 치아가 벌어져서 보기 싫을 때 크라운 치료
치아가 너무 벌어졌을 경우
어떻게 치료할 수 있을지 보여드리겠습니다!!

이 벌어진거 보기 싫어요

231223
오늘의 환자분은 50대 중년 남성분입니다.
앞니 사이 간격 넓어짐이 점점 심해진다고 내원 주셨는데요
윗니, 아랫니 두개 모두 사이가 많이 벌어졌네요~
일반적으로 치아가 벌어져 사이 사이 공간이 보이는 것은
유치
유아기때 흔히 볼 수 있습니다.
유치 크기가 워낙 작기도 하고
영구치 올라올 자리를 확보하기 위해서 그렇습니다.
그래서 유치가 다닥다닥 붙어 나와있으면
공간이 없어서 영구치가 삐뚤빼뚤 올라올 수 있는데요.
어쨌든... 오늘 환자분은 50대 중년 남성분
이렇게 앞니 사이 간격 넓어짐 현상을 전문 용어로
"치간이개"라 표현하는데요
다양한 원인이 있지만 나이가 들면서 사이가 벌어지는 이유는
주로 잇몸 뼈가 치아를 꽉 잡아주지 못하다보니 그렇습니다.
노화 현상 중 하나죠.

231223
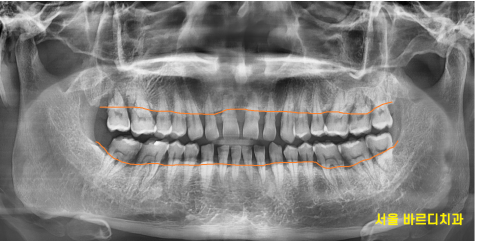
환자분도 전반적인 잇몸뼈 확인을 위하여 x ray를 찍어보았을 때
잇몸 뼈가 많이 내려간 상황이었습니다.
만성 치주염이 진행되고 있어
치아 사이 벌어진것을 치료하면서
잇몸 치료도 병행하셔야했습니다.
어쨌든 앞니 사이 간격 넓어짐 해결을 위해 찾아와주셨으니
해결을 해드려야겠죠??
치아가 얼마나 벌어졌느냐에 따라
-
레진 재료로 덧붙이기
-
라미네이트로 치료하기
-
크라운 방법
나눠집니다.
<각각의 케이스 보러가기>
| 1) 레진 케이스 |
|---|
| 2) 라미네이트 케이스 |

231223

231223
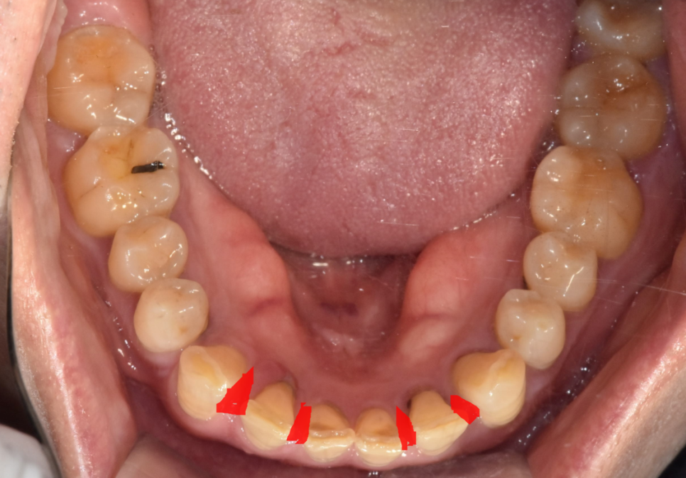
오늘 환자분은 위아래 앞니 모두 사이 사이 공간이 있었습니다.

벌어진 공간이 꽤 컸기 때문에
레진이나 라미네이트로는 한계가 있었습니다.
치아 사이즈가 더 커져서
비슷한 크기로 조화롭게 치료하기 위해서는
앞니를 크라운 치료를 통해 벌어진 것을 메꾸기로 했습니다.

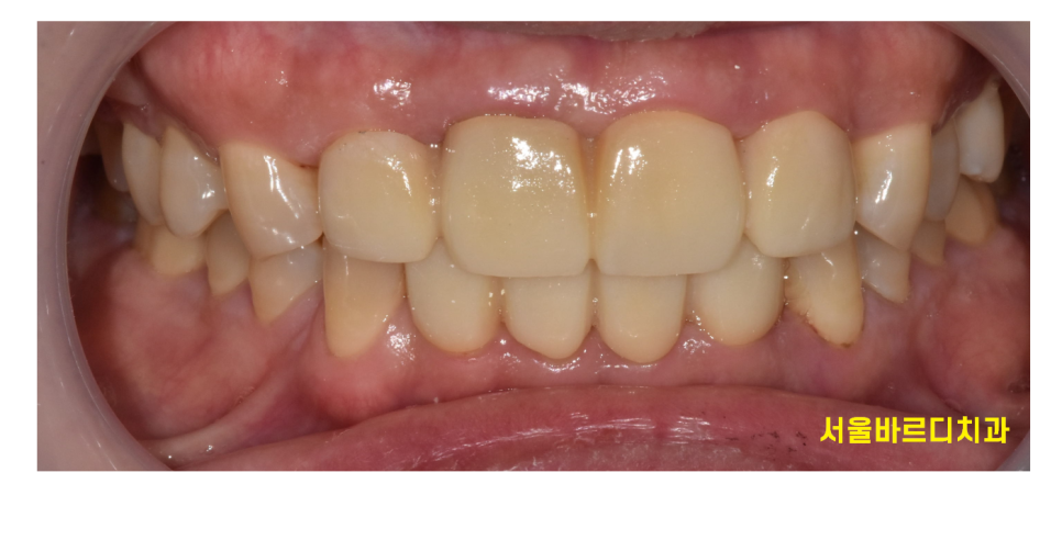
240113
기공소와 협의를 통해 치아 예상 크기와 모양을 예측하고
제작해나갔는데요
위아래 4개씩 치아를 삭제하여 공간을 재분배
앞니 사이 간격 넓어짐 어떻게 공간을 메꿨는지
함께 보실까요~??

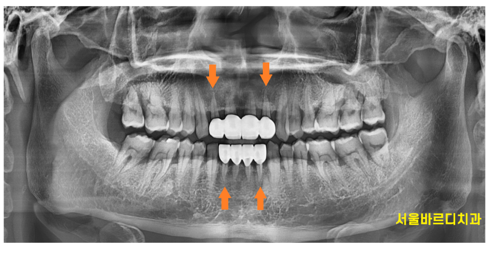
예쁘게 치료가 되었습니다.
치료가 끝난 후 환하게 웃으시던 환자분
"원장님 이제 음식물도 안끼겠어요~"
좋아하시던 모습이 기억납니다.

241012
파노라마상에서도 공간이 잘 메꿔졌습니다~
오늘은 치간이개 크라운으로 치료한 케이스를 보여드렸습니다.
나이가 들면서 잇몸뼈가 내려가면서
누구에게나 이러한 현상이 생길 수 있습니다.
이 글을 보고 계신 환자분들
잇몸 건강은 한번에 몰아서 치료하는 것이 아닙니다.
1년에 한번씩 주기적으로 관리해주어야
치아 사이가 벌어지는 것을 예방할 수 있답니다!!
| 예약 전화하러 가기 |
|---|
| 02-481-4278 |
아직 1년에 한번씩 하는 스케일링을 안받으신 분들이라면
예약 후 잇몸 관리하러 방문해주세요~
앞니 벌어짐으로 고민이 있으신 분들도
연락주세요!
레진, 라미네이트,크라운
환자분께 딱 알맞는 치료방법을 추천 드릴께요~~
대표원장 이주리였습니다!
.
| 본 게시물은 의료광고 법 제56조 1항을 준수하여의료 정보 제공 및 병원 홍보 목적으로 서울 바르디 치과에서 직접 작성하였습니다.제공된 정보는 참고만 하실 것을 권유 드리며 증상 파악 및 정확한 관리 방법은 의료기관에 내원 후 의료진을 통해 안내받으시길 바랍니다.치과에서 진행되는 모든 시술 / 수술은 개인에 따라 (염증, 출혈, 부기 등) 가능성이 있습니다.사전에 의료진과 충분한 상담을 통해 결정하시길 바랍니다.게시물의 치료 사례는 실제 본원에서 치료를 마친 환자분들의 동의하에촬영되었으며 전, 후 사진은 동일 조건에서 촬영되었습니다. |
#앞니사이간격넓어짐 #치아벌어짐