안녕하세요~
서울바르디치과 대표원장 장태현입니다.
치아를 뽑기 싫어하는 마음 잘 알고있습니다.
워낙에 자연치아가 좋다고 잘 알려져있기도 하고
내 치아를 뽑는다는게 참 속상한 일이라
환자분들도 버티고 버티신다는 것을 잘 아는데요.
내 잇몸뼈도 버티다가 한계점을 넘으면
임플란트도 못심고 기다려야할 수 있다는 것을 말씀드릴까합니다.
망월동 치과 염증이 심하면 임플란트 바로 못심어요 잇몸뼈 함몰 케이스
3분만 집중해주세요~!!

잇몸이 붓고 통증이 있어요

231121
통증이 심해 망월동 치과를 내원해주신 환자분입니다.
그동안은 잇몸이 한번씩 붓긴 했지만
참을만 하다고 해주셨는데요.
몇일전부터는 무엇을 씹을수도 없고 약을 먹어도 통증이 심하다고 하셨습니다.
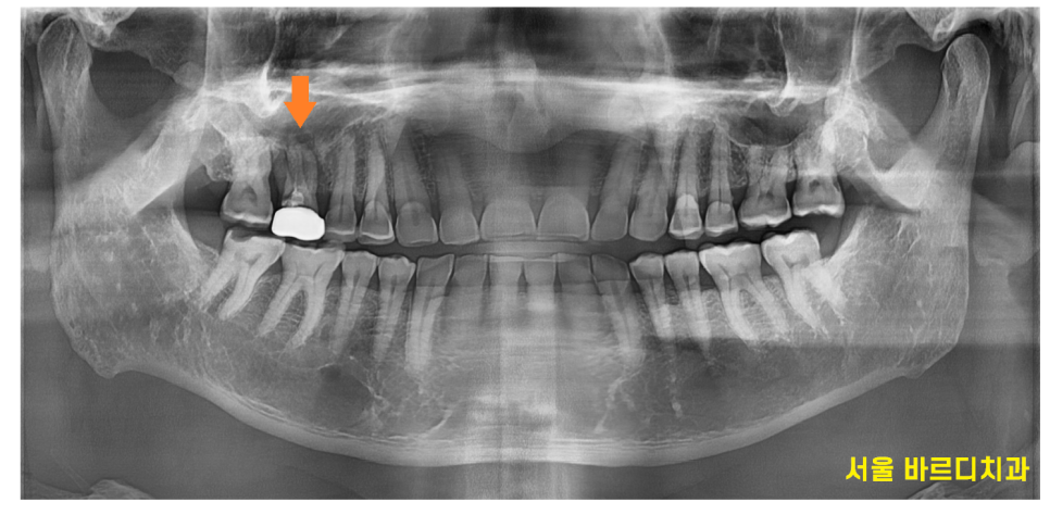
검사를 위해 촬영해본 x ray
오른쪽 위에 어금니 1개가 잇몸뼈가 심하게 녹아있습니다.

231121
ct를 촬영해보니 한쪽 뿌리가 팔 뿌러지듯
골절 선이 보입니다.
치아 뿌리가 파절되면서 염증이 생기고
주변 잇몸뼈를 녹였습니다.

231121
잇몸뼈가 남아있는 양 옆 치아와 비교해보아도
유독 문제 치아 주변으로만 까만 것이 보이실겁니다.
뼈가 다 녹아서 그렇습니다.
전에도 말씀드렸지만 치아가 부러진 것은
접착제로 붙이거나 붕대를 할 수 없기에
통증 해소를 위해서는 뽑아야하는데요.
x-ray 상에서 뼈가 너무 많이 녹아있어
임플란트.. 바로는 어렵겠다... 감이 왔습니다.

231121
발치를 해보니 치아가 산산조각이 나있습니다.
3개의 뿌리가 삼단 분리되어 발치하였습니다.
문제는... 오래된 염증으로 발치와
이 뽑은 공간이 잇몸뼈 함몰이 일어났다는 것인데요
푹 꺼진거죠
뼈가 없습니다.
<심약자는 주의하세요!>

231121
임플란트는 뼈가 남아있어야 심고 기다리는 것인데
잇몸뼈 함몰이 일어나서 도저히 당일에 심을 수가 없었습니다.
요즘은 치료 기간의 단축을 위하여 발치 당일 임플란트를 심어드리지만
잇몸뼈 회복을 위한 시간이 필요했습니다.
푹 꺼진 잇몸뼈 회복을 위해 1차 뼈이식을 진행
https://blog.naver.com/implant_master/223546942941
발치한 당일 뼈이식의 중요성은 예전에 설명드렸었죠~
뼈가 어느정도 만들어지기까지
무려 3개월이라는 시간이 필요했죠.
(아직 임플란트는 심지도 못했습니다...)

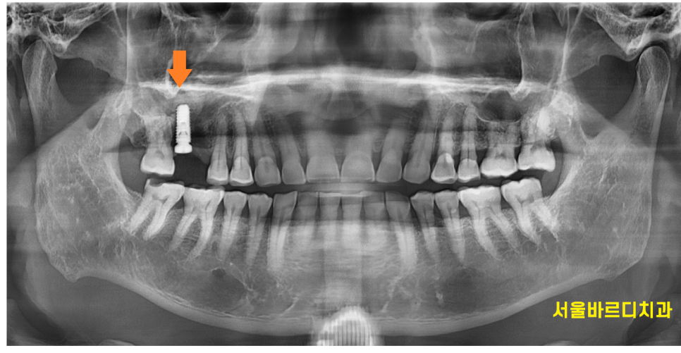
240108
3개월 뒤 망월동 치과 재방문하여 찍어본 x ray
어느정도 잇몸뼈가 만들어지긴 하였지만
2.3mm의 길이만 확보되었습니다.
최소 6mm가 더 필요하여
2차 뼈이식을 진행하면서 임플란트를 심었습니다.

240111
뼈이식만 2번
기간도 2배로 길어지고
비용도 2배
단점은 또 있습니다.
마취도 2번입니다ㅠㅠ
이를 뽑는 날 마취
수술하는 날 마취

240613
1월달에 망월동 치과에서 수술 후 6개월이 지나
머리를 만들어 드렸는데요.
11월달에 이를 뽑았으니
정확히는 9개월 걸렸습니다.
치아 1개를 만드는데 3분기가 지나간거죠
그러니까 제가 드리고 싶은 말씀은...
골든타임이 정말 중요합니다.
특히나 중년 남성분들
아파야 오시는데요.
아파서 망월동 치과를 방문해주시면
잇몸뼈 함몰이 일어나고
염증이 심하면 임플란트 바로 못심어요
02-481-4278 (병원으로 직접 연결)
잇몸에 염증맛이 난다.
피가 난다
냄새가 난다
평소와 다른 점을 조금이라도 느끼신다면
병원에 연락 부탁드립니다!!!
감사합니다!
.
| 본 게시물은 의료광고 법 제56조 1항을 준수하여의료 정보 제공 및 병원 홍보 목적으로 서울 바르디 치과에서 직접 작성하였습니다.제공된 정보는 참고만 하실 것을 권유 드리며 증상 파악 및 정확한 관리 방법은 의료기관에 내원 후 의료진을 통해 안내받으시길 바랍니다.치과에서 진행되는 모든 시술 / 수술은 개인에 따라 (염증, 출혈, 부기 등) 가능성이 있습니다.사전에 의료진과 충분한 상담을 통해 결정하시길 바랍니다.게시물의 치료 사례는 실제 본원에서 치료를 마친 환자분들의 동의하에촬영되었으며 전, 후 사진은 동일 조건에서 촬영되었습니다. |
#망월동치과 #잇몸뼈함몰 #염증이심하면임플란트