안녕하세요 디지털 치과 선두주자
서울바르디치과 대표원장 장태현입니다!!
내 치아를 상실하면 참으로 속상한데요.
특히나 치아 상실로 임플란트를 처음 하시게될경우 고민이 많으실겁니다.
걱정도 많이 되어
질문들도 많으신데요.
오늘 소개해드릴 환자분도
임플란트를 처음 하신 환자분입니다.
임플란트 한번도 안해봤어요
이럴경우 내비게이션 방식을 추천드리고있습니다.
하남시청치과 내비게이션 임플란트 왜 좋다는거죠?
뭐가 좋길래
디지털 디지털 말할까요?
끝까지 한번 읽어주세요~!!!


2311226
하남시청치과 처음 방문해주셨을 때
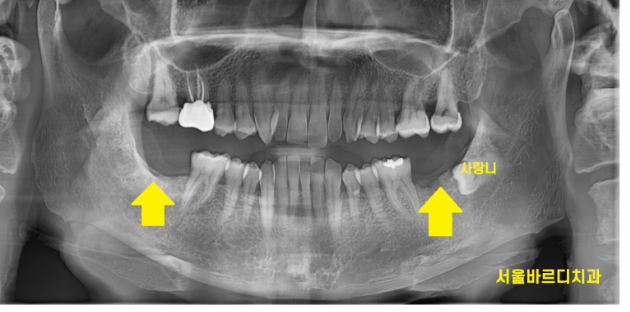
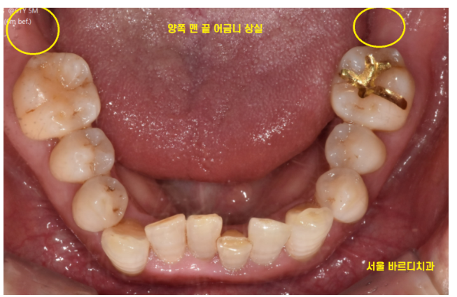
왼쪽, 오른쪽 맨 아래 끝에 어금니가
각각 1개씩 상실한 채로 오셨습니다.

오스템으로 하고싶고
내비게이션 임플란트로 원해요.
오른쪽 아래 한개만요.
기억에 남는 것은
환자분 요청이 상당히 구체적이었습니다 .
질문도 많으셨습니다.
임플란트 등급이 어떻게 되나요?
여기는 맞춤형 지대주를 사용하나요..? 기타 등등
어떻게 알고 오셨냐
이미 다 알고 계시네요~~
말씀드리니 한번도 임플란트를 안해봐서
검색을 많이 해보셨다 하더라고요.
요즘은 검색만 해도 정보가 워낙 잘 나와서
준전문가 수준으로 알고계셨습니다.
다 ~~ 알아보시고 내비게이션 임플란트 방식을 요청하셨습니다.
어떤 수술 방식인지
예전에도 한번 작성해보았었는데요.
https://blog.naver.com/implant_master/223638111533
내비게이션 임플란트란?
긴 설명없이 사진으로 보여드릴께요~~

231229
ct를 분석하여
모의 수술을 진행합니다.
임플란트가 들어갈 각도, 사이즈 분석해줍니다!!
보철물이 올라갔을 때의 모습도
예측해볼 수 있는데요.
수술에 필요한 가이드를 제작하여
수술의 정확성을 높여주고 있습니다!

가이드는 이렇게 생겼습니다!
가이드
우리가 여행을 가면 가이드 선생님이 설명을 해주시지 않습니까?
비슷한 역할입니다.
임플란트는 뼈에 구멍을 뚫어 진행하기때문에
각도가 잘못되면 삐뚫게 심어집니다.
똑바로 처음 설정했던 방향으로 심을 수 있게
도와주는 장치입니다

231229
여기서 그치지않고 수술 중간에도 원하는 방향에
제대로 심어지고 있는지
한번 더 확인해줍니다.
3번에 걸쳐서 정확도를 높여줍니다.
1)ct를 통해 1차 분석
2)가이드 제작
3)수술 중 중간 분석
그렇기 때문에 잘못된 방향으로 임플란트가
심어질 수가 없습니다.
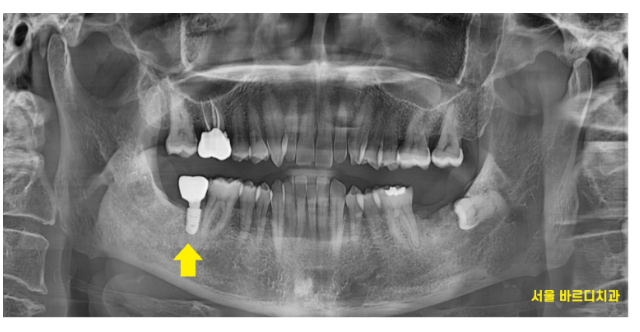
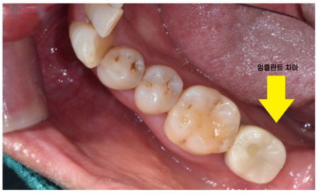
하남시청치과 임플란트 그 결과는,,?

231229
원하는 위치에 각도가 예술로 정확히 들어갔습니다.

240217
3개월정도 지나 임플란트가 뼈와 단단히 고정되었을 때
머리를 만드는 작업을 진행하였습니다
역시나 디지털 방식인 구강 스캐너를 사용하여
보철을 예측하여 제작

240307
씹을 수 있게 제작해드렸습니다.
치료 마지막 날 환자분이 하셨던 말씀입니다.
임플란트도 처음이라 걱정 많이했어요.
워낙 치과 치료 잘못 받아서 다시 했다는 사람도 많이보고
제대로 하고싶어서
내비게이션 임플란트 하는 곳을 일부로 찾아왔는데
내가 잘 온거같아요
내비게이션 임플란트의 가치를 알아보고
방문해주셔서 감사했습니다.
물론 내비게이션 방식이 아니어도 수술은 가능하지만
사람은 아무래도 컨디션이라는 것을 탑니다.
그렇지만 기계가 분석해주는 것은
오차가 없습니다.
중간에 치료계획이 바뀐다거나 하는게 없어서
처음 느낌 그대로..
안심하고 끝까지 치료받으실 수 있습니다.

240307
임플란트 보철의 특성상
처음에는 임시로 약하게 붙여드렸습니다.
테스트 하는 기간을 거쳐보는거죠~
오랫동안 치아가 없다보니 볼을 씹는다거나
불편감이 생길 수 있기에..
불편하시면
수정이 들어가야하니까요~
디지털 방식으로 제작하여 예측했던 그대로
역시나 큰 불편감 없이 치료가 마무리되었습니다.
서울바르디치과는 처음부터 끝까지
최신 의료기술과 함께합니다.
수술의 정확성을 높여주는 내비게이션 임플란트 !
하남시청치과는
디지털 기술을 적극 활용합니다.
| 예약 전화하러 가기 |
|---|
| 02-481-4278 |
환자분들께 정보를 알려드리기 위해
퇴근 후 열심히 블로그를 작성하고 있습니다.
궁금하신 부분은 언제나 댓글로 질문해주시고
글을 보고 병원에 방문하시면 티좀 내주세요~!
블로그 보고 방문하셨다하면
칫솔이라도 1개 더 드리겠습니다.
감사합니다!
| 본 게시물은 의료광고 법 제56조 1항을 준수하여의료 정보 제공 및 병원 홍보 목적으로 서울 바르디 치과에서 직접 작성하였습니다.제공된 정보는 참고만 하실 것을 권유 드리며 증상 파악 및 정확한 관리 방법은 의료기관에 내원 후 의료진을 통해 안내받으시길 바랍니다.치과에서 진행되는 모든 시술 / 수술은 개인에 따라 (염증, 출혈, 부기 등) 가능성이 있습니다.사전에 의료진과 충분한 상담을 통해 결정하시길 바랍니다.게시물의 치료 사례는 실제 본원에서 치료를 마친 환자분들의 동의하에촬영되었으며 전, 후 사진은 동일 조건에서 촬영되었습니다. |
#하남시청치과 #내비게이션임플란트