안녕하세요~
서울바르디치과 대표원장 장태현입니다.
치과에서 근무하면서 제일 안타까울때가
시기를 놓쳐 방문하실 때 입니다.
주로 몇년만에 방문하셔서
치아가 흔들려 살려낼 방법이 없을때가 그렇습니다.
오늘 환자분도 너무 늦게 방문해주셨는데요.
녹아버린 잇몸뼈 흔들리는 여러 치아 발치 후 임플란트 시행
어떻게 치료해드렸는지 설명 드릴께요~~

씹으면 오른쪽 왼쪽 다 아프고
염증이 있는거같아요

240425
치아 불편감으로 저희 병원을 내원해주신 환자분입니다.
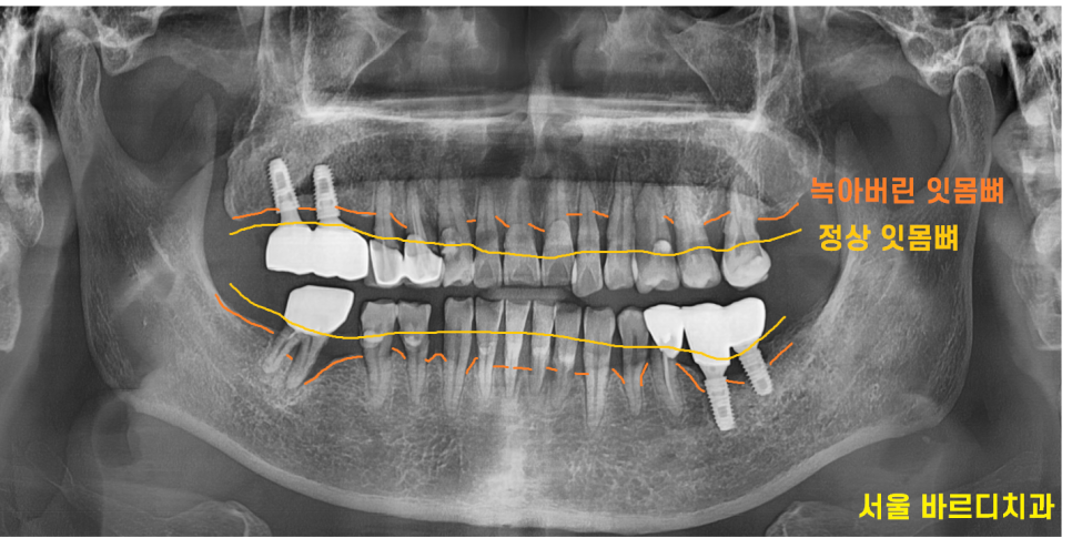
검사를 위해 찍어본 x ray
전형적인 풍치 증상입니다.
https://blog.naver.com/implant_master/223669957046
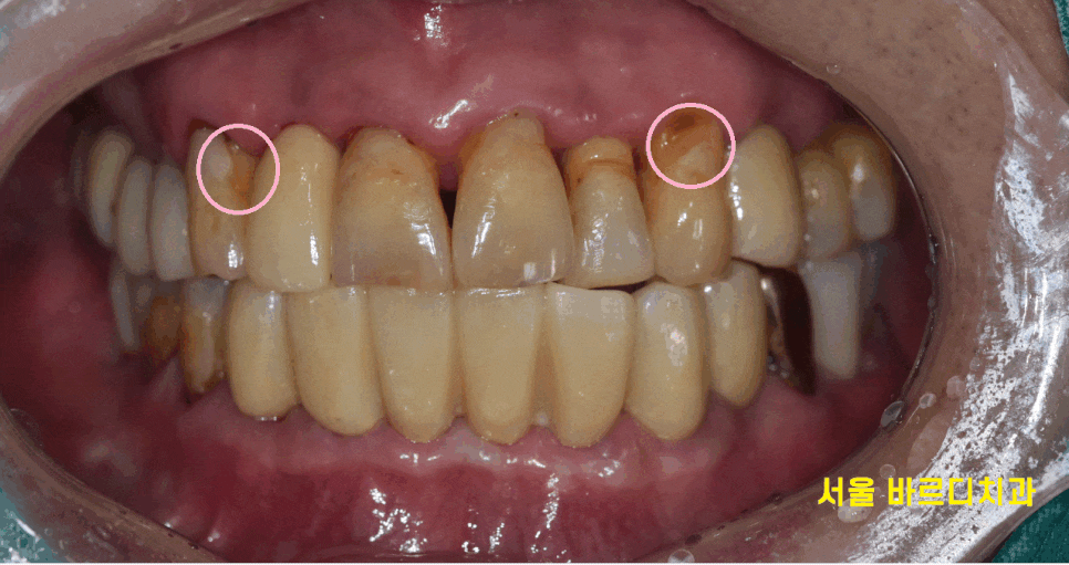
녹아버린 잇몸뼈로 치아가 흔들 흔들
길어 보이는 상황이었습니다.

240425
양치도 전반적으로 안되어있어
치태라고 하는 찌꺼기들이 치아 전반적으로 붙어있었습니다.
구강위생이 불량하니 잇몸이 더 빨리 무너졌네요~~

240425
기타 증상으로는 녹아버린 잇몸뼈로
잇몸이 위로 올라가다보니 치아 뿌리 부분이 노출
양치가 안되면서 뿌리부분이 썩고,
전반적으로 파여있는 모습이었습니다.

240425
ct도 찍어보고..
치아 상태가 전반적으로 흔들리고 안좋기 때문에
흔들리는 치아 중에서 몇개나 살릴 수 있을지
정밀 검사를 진행하였습니다.
<치료 계획>

240425
그 결과 윗니는 흔들리는 치아 4개 발치 후 임플란트
아랫니의 경우 8개 발치 후 6개 임플란트
위아래 총 10개의 치아를 새로 만들어주어야
지금 가지고 계신 문제를 해결할 수 있었습니다.
한두개 치아가 아닌
오늘 환자분처럼 거의 전악
10개의 임플란트를 식립해주어야할 때는
양쪽을 한번에 치료하는 경우가 많습니다.
동시에 치료를 시작하면 치료 기간이 단축되기 때문인데요.
식사를 하실 수 있게
일상생활로 빠른 복귀를 도와드리기 위해
이를 뽑은 당일 수술을 진행하였습니다.
<수술 과정 1>

240508
발치 후 난이도가 상대적으로 간단한 아래 임플란트 먼저 6개 식립
상악 임플란트의 경우 뼈 자체도 약하고
상악동이라는 구조물을 조심해야하기 때문에
아래보다는 난이도가 있는 편입니다.
<수술 과정 2>

240508
아래 치료를 끝낸 후
윗니 임플란트 4개를 식립하였습니다.
결론적으로는 하루에 10개 임플란트를 심은 것이죠.
개수가 많아도 실제 수술시간은 1시간이 총 안됩니다.
내비게이션 임플란트 방식을 사용하여
수술을 예측하고 진행하기 때문에
시간이 오래 걸리지 않습니다~
수술 시간이 길어지면 환자분도 긴장하시고
입도 계속 벌려야하기 때문에 턱도 아프고
좋지 않거든요~
신속 정확한 수술이 포인트입니다.
수술 후 뼈와 임플란트가 붙기를 기다리면서
전반적인 잇몸치료도 하면서
회복을 도왔습니다.

240724
약 2개월 뒤 보철 머리를 만들어드렸습니다.
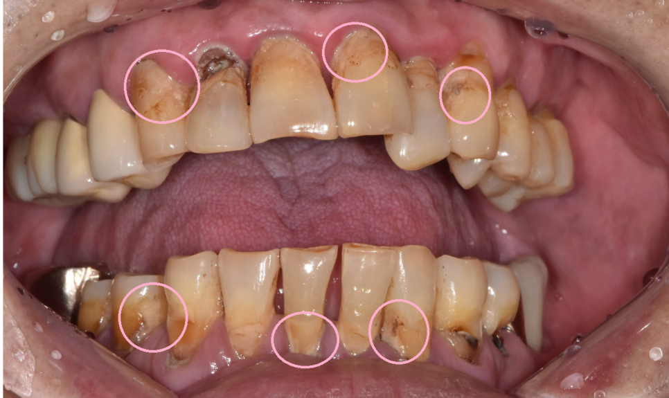
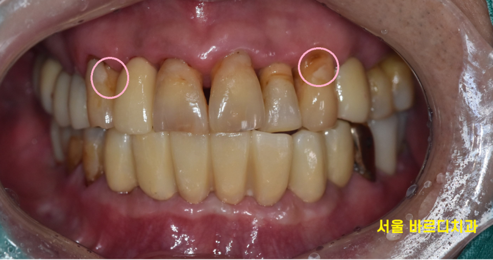
발치를 하진 않았지만 왼쪽 위 치아는
녹아버린 잇몸뼈로 상태가 영~ 좋지 않네요.
쓰실때까지 관리하시면서 쓰시라고
말씀드렸습니다.
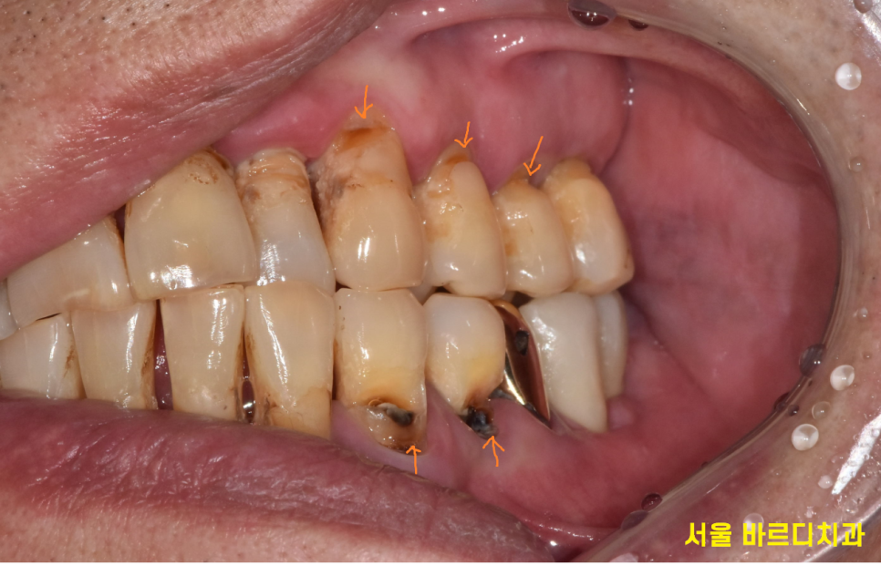
한가지 더 기쁜 부분은..
구강위생 관리 능력이 좋아지셨다는 겁니다!

240724
치과에 오실때마다 양치 잘 하셨냐
교육해드리고 잔소리도 하고~
하다보니
처음에는 치태가 가득했던 환자분
마무리 하러 오셨을 때는
입안이 깨끗~~ 해지셨습니다.
이런게 보람이죠.
환자분 스스로 관리가 가능해지셨다는 것
| 예약 전화하러 가기 |
|---|
| 02-481-4278 |
이미 망가진 잇몸은 되돌릴 수 없습니다.
불편감을 느끼고 이가탄 같은 잇몸 보조제를 많이 드시는데요.
그 어떤 약을 드셔도 회복되지 않습니다.
그저 치과 자주 오시면서
제 얼굴 자꾸 보시는게 해결책입니다.
잇몸 문제로 고민이 있으시거나
내 치아에 대하여 상담이 필요하시다면
서울 바르디치과를 찾아와주시길 바랍니다.
감사합니다!!!
.
| 본 게시물은 의료광고 법 제56조 1항을 준수하여의료 정보 제공 및 병원 홍보 목적으로 서울 바르디 치과에서 직접 작성하였습니다.제공된 정보는 참고만 하실 것을 권유 드리며 증상 파악 및 정확한 관리 방법은 의료기관에 내원 후 의료진을 통해 안내받으시길 바랍니다.치과에서 진행되는 모든 시술 / 수술은 개인에 따라 (염증, 출혈, 부기 등) 가능성이 있습니다.사전에 의료진과 충분한 상담을 통해 결정하시길 바랍니다.게시물의 치료 사례는 실제 본원에서 치료를 마친 환자분들의 동의하에촬영되었으며 전, 후 사진은 동일 조건에서 촬영되었습니다. |
#무너진잇몸뼈 #여러치아발치