안녕하세요~
정확하고 바른 진료를 추구하는 장태현 원장입니다.
리모델링 이후 많은 환자분들이 찾아와주고 계십니다.
특히나 저희 병원은 케이스가 큰
전악 치료가 필요하신 환자분들이 많이 오시는데요.
감사합니다!
상일동 임플란트 잘하는곳 치료는 이렇게 진행됩니다.
오늘은 임플란트 잘하는 병원은
진단부터 수술까지 어떤 방식으로 진행되는지 좀 알려드릴까해요~~
시스템이 잘 정립되어있어
많은 환자분들이 만족감을 느끼시고 치료 잘한다고 입소문도 나
큰 케이스 환자분들이 많이 방문하시는듯합니다.
저희 병원의 방식을 소개해드릴께요~~

상일동 임플란트 잘하는곳, 치아 치료는 이렇게 진행됩니다!
임플란트 치료가 필요하신 환자분들이
검색해서 저희 치과 블로그에 방문을 주셨을꺼라 생각합니다.
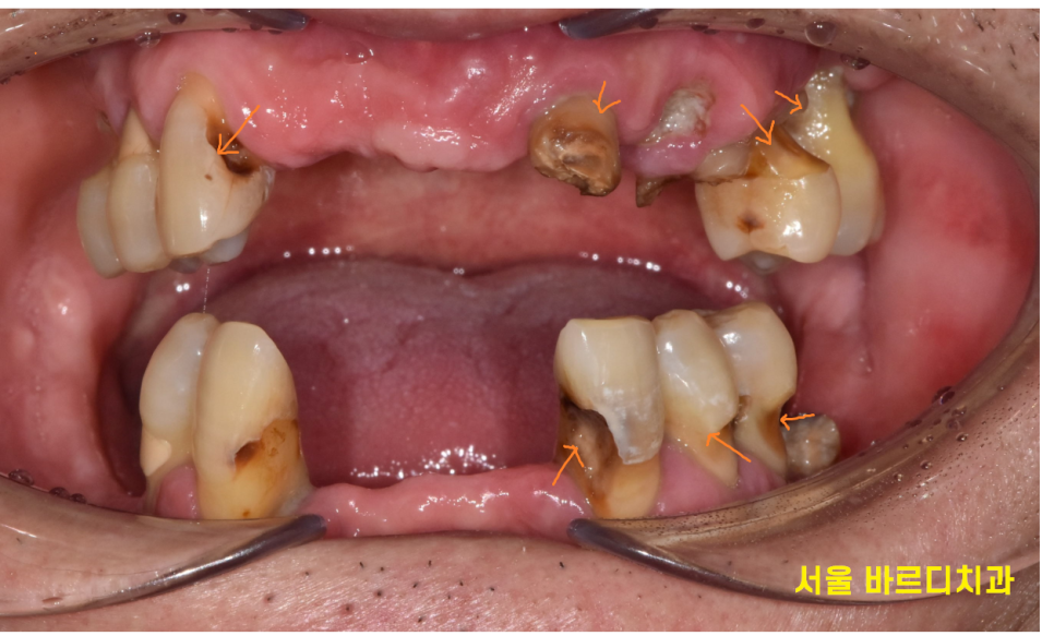
치아를 뽑아야한다는 사실만으로도 슬프고 속상한데
치과는 과잉진료가 많다.
제대로 하는 곳에서 치료해야한다 말도 많고
병원도 너무 많아 신뢰할 수 있는 치과를 찾는것이 어려우셨을겁니다.
저희 병원은 신뢰감을 드릴 수 있는 방법 중 하나로
진료 전후 사진을 찍어 보여드리고 있습니다.

240423
x-ray 사진은 환자분들께 설명을 드려도
이해가 어려우신 경우가 많더라고요~
좀더 직관적인 사진 활용을 많이 하고 있습니다.
사진 촬영도 결국 진단 과정중 일부인데요~
비용 받는 것 없이 진행하고 있습니다!!
검사를 하고 나서 검사 결과를 해석하는 것은
대표원장인 저의 역할입니다.

240423
환자분 입 안 상태가 어땠드라..
사진을 통해 기억하기도 하고...
어쨌든 해석한 결과에 따라 치료 상담을 진행합니다.
step 1. 정확한 진단 및 상담
사진만으로 진단하지는 않고요~
치아 치료의 첫걸음은 철저한 검진과 상담입니다.
진단이 잘못되면 치료계획이 완전이 잘못되기 때문에
특히나 저희 치과를 처음 내원하셨을 경우
무진장 집중해서 진료를 보고 있습니다.
- 비용 2) 기간 에 맞는 맞춤형 진단!
환자분 개개인의 상황이 다르기 때문에
똑같은 치료여도 진단이 바뀔 수 있는데요.
상일동 임플란트 잘하는곳 병원을 찾으시려면
이 진단을 대표원장님이 내리는지 확인하셔야합니다.
직원들이 1차 진단 후
원장은 확인만 하는 병원의 경우
피하셔야합니다.
치아를 살릴지 뽑아야할지
임플란트 말고 다른 방안이 있는지 분석하는 것은
치과의사의 영역이니까요...
step 2. 치료 계획 수립
수많은 검사를 통해 어떻게 치료할지
초안이 나오게됩니다.

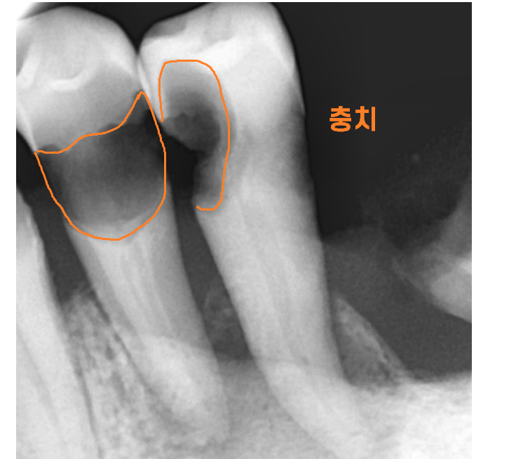
240513
x ray를 추가적으로 찍게 되고
치아를 흔들어보기도 하며
탕탕 타진해보면서 반응을 살피기도 하죠.

240423
ct등을 통하여 임플란트 수술 계획이 결정되는데요.
임플란트는 뼈에 식립하기 때문에
골밀도와 잇몸 상태를 고려해 수술 방식을 결정해야합니다.
이에 따라 임플란트 재료도 달라질 수 있고
필요 시에 따라 잇몸치료나 뼈 이식이 진행될 수도 있습니다.

240423
사실상 진단만으로도 임플란트 식립 사이즈 , 개수 등이
결정된답니다.
오늘 환자분도 골밀도를 분석하여
남아있는 뼈의 양을 측정
임플란트 사이즈까지 적어 왜 뼈이식이 필요한지
설명드렸었거든요~~
step 3. 임플란트 식립 및 보철물 제작
진단 후 상담을 진행
환자분께서 치료를 결정해주시면 수술이 진행됩니다.
저희 병원은 디지털 방식으로
네비게이션 임플란트를 사용하여 정교하게 진행하고 있는데요.
이 방법은 수술 시간이 짧고 통증을 최소화할 수 있어 환자들의 만족도가 높습니다.
https://blog.naver.com/implant_master/223705857327
네비게이션 임플란트와 관련된 글은 위에 글을 참고해주세요!!

240513
전체적인 치아 치료가 필요하셨던 환자분
진단 결과에 따라 안좋은 치아는 당일 발치 후
전체 임플란트를 식립하셨습니다.
이후, 개개인 맞춤 보철물을 제작해 자연스러운 외형과 기능을 복원하였습니다.

241120
처음 그 환자분이라 생각하면 안믿겨지실겁니다~
step 4. 치료 후 관리
여기서 끝나면 임플란트 쉽게 염증이 생길 수 있습니다.
임플란트는 인공적인 구조물이기에 정기적인 관리가 필요한데요.
잇몸 건강을 유지하는 방법을 계속 제공
스케일링 등을 통해 구강 환경을 깨끗하게 유지해드린답니다!
정기검진 없이 치료만 빨리 끝내 종결시키려고 하는 곳은 피하세요.
임플란트를 하는 순간 평생 관리가 필요하거든요~
오늘은 상일동 임플란트 잘하는곳
진단에서 치료까지 이렇게 진행된다 소개를 해드렸습니다.
저희 병원 시스템은 이렇습니다.
한가지 추가적인 임플란트 잘하는 곳 꿀팁을 알려드리면
병원이 월요일~ 토요일까지 휴무 없이
원장님이 상주하는지 확인하셔야합니다.
문제가 생겼을 때 환자분이 바로바로 확인하러 오시는것도 중요하거든요~~
수술만 잘하는게 아닌
케어까지 확실하게!!
상일동에서 임플란트를 잘하는 치과를 찾고 있다면,
치아 치료의 전 과정을 믿고 맡길 수 있는 곳을 선택하세요.
긴가민가하고 찝찝한 치료는 불만으로 이어질 수 있기 때문이죠~
☎02-481-4278 (상담하러가기)
상담만 받으셔도 좋습니다.
저희 병원에서 치료를 안하시더라도
시스템으로 정립되어 있는 진단 과정을 경험해보시고
결정하셔도 늦지 않습니다.
서울바르디치과 대표원장 장태현이었습니다!!!
| 본 게시물은 의료광고 법 제56조 1항을 준수하여의료 정보 제공 및 병원 홍보 목적으로 서울 바르디 치과에서 직접 작성하였습니다.제공된 정보는 참고만 하실 것을 권유 드리며 증상 파악 및 정확한 관리 방법은 의료기관에 내원 후 의료진을 통해 안내받으시길 바랍니다.치과에서 진행되는 모든 시술 / 수술은 개인에 따라 (염증, 출혈, 부기 등) 가능성이 있습니다.사전에 의료진과 충분한 상담을 통해 결정하시길 바랍니다.게시물의 치료 사례는 실제 본원에서 치료를 마친 환자분들의 동의하에촬영되었으며 전, 후 사진은 동일 조건에서 촬영되었습니다. |
#길동치과 #임플란트대안