안녕하세요~
서울바르디치과 대표원장 이주리입니다.
의외로 충치가 잘 생길 수 있는 부분이 "앞니"라는 것을 아시나요?
눈에 잘 보이는 앞 부분이라 양치가 잘될 것 처럼 생각하시지만
어금니 먼저 양치를 하다보니
놓칠 수 있는 부분 중 하나가 앞니입니다.
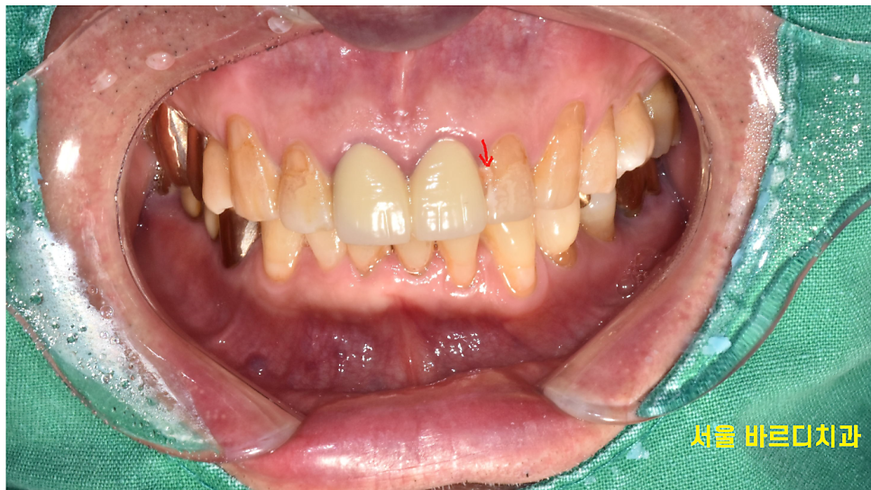
오늘 환자분도 앞니에 양치가 잘 되지 않아 충치가 생기셨는데
심미적인 "레진"이라는 재료로 당일에 치료를 끝내드렸습니다.
미사역 치과 앞니 충치 레진으로 당일 수복 완료하였습니다.
끝까지 집중해서 읽어주세요~

검진이랑 스케일링 해주세요

231127
검진을 위해 미사역 치과를 내원해주셨습니다.
환자분의 동의를 얻어 x-ray를 촬영하였는데
유독 속이 텅 빈 부위가 눈에 띄였습니다.
왼쪽 두번째 앞니 부분에 커다란 충치가 관찰되네요~
실제 구강을 살펴보았습니다.

231127
해당하는 치아에 치태도 많이 붙어있고
구멍도 나 있는 상태였습니다.
충치를 제거하고 치료를 해줘야하는데..
일반적인 충치 치료의 단계는 아래와 같습니다.
레진 -> 인레이 -> 크라운
충치의 범위와 깊이에 따라 치료는 달라지지만
앞니 충치로 치료를 할 경우에는
2단계입니다.
레진 -> 크라운
신기하죠~?
어금니 같은 저작력이 많이 가해지는 치아에는 인레이가 주로 사용됩니다.
하지만 앞니는 씹는 힘이 비교적 약하게 가해지고
심미적인게 중요한 앞니에
보철물을 끼워 넣는 방식의 인레이는 부자연스러울 수 있습니다.
또한 앞니의 해부학적 구조상 끼워넣는 방식의 인레이는
부적합하여 일반적으로는 레진이나 크라운 치료로 진행하게 됩니다.
충치가 얕을 경우에는 앞니 레진!
신경이 노출되거나 충치가 너무 깊을 경우 크라운!
양자 택일입니다 ㅎㅎ
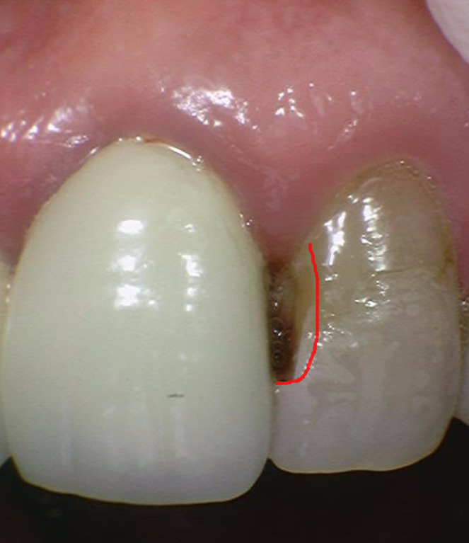
우선 충치를 제거 후 범위를 살펴보기로 하였는데요~

231127
치아 뒤쪽에 까맣게 비춰보이는 부위가 충치입니다.
조심스럽게 제거를 해보겠습니다~

231127
조금만 손을 보았는데도 푹푹 들어가네요~~~
이것들을 깨끗하게 제거해주어야 재발도 없이
떼워줄 수 있습니다
충치 범위가 넓지는 않아
앞니 충치 레진으로 치료가 가능할 것으로 판단되었습니다.
레진의 가장 큰 장점은 당일 수복이 가능하다는 점이죠!
환자분들은 오셨을 때 치료를 되도록 진행하고 싶어하시기 때문에
당일에 끝낼 수 있는 레진은 인기만점입니다!
크라운에 비하여 치아 삭제량이 적고
자연치아와 동일한 색상을 구현할 수 있어
치료 후에도 티가 나지 않는 것도 장점이고요!

231127
앞니 충치 레진으로 당일 치료를 완료하였습니다.
30분정도면 완료가 되는
간단한 치료랍니다!

231127
레진은 비교적 부위가 작거나
충치가 깊지 않을 때 사용할 수 있는 방법으로
떼우고 나서 시리거나 통증이 있으면
신경치료를 해야할 수도 있고
그때는 크라운 치료를 가야합니다.
충치가 깊을 경우는 약제를 깔고 레진으로 치료하기도 하는데
환자분에게 치료 후
시리거나 통증이 느껴지면 미사역 치과를
재방문해달라고 말씀드리며
치료는 마무리되었습니다.
| 예약 전화하러 가기 |
|---|
| 02-481-4278 |
앞니 충치 레진으로 당일에 미사역 치과에서
치료해드린 이야기를 해드렸습니다.
미사역 근처에서 앞니 충치 치료를 고민 중이시라면,
부담 없이 방문해 상담받아 보세요.
하루만에 치료가 종결되는 간단한 술식이지만
예약 후 내원해주셔야하시는건 아시죠~?
앞니라 예쁘게 떼워드려야하기 때문에
시간이 조금 더 소요되거든요~
심미적인 진료는 저 이주리를 찾아주세요!
건강하고 아름다운 미소를 되찾을 수 있도록 도와드리겠습니다!
| 본 게시물은 의료광고 법 제56조 1항을 준수하여의료 정보 제공 및 병원 홍보 목적으로 서울 바르디 치과에서 직접 작성하였습니다.제공된 정보는 참고만 하실 것을 권유 드리며 증상 파악 및 정확한 관리 방법은 의료기관에 내원 후 의료진을 통해 안내받으시길 바랍니다.치과에서 진행되는 모든 시술 / 수술은 개인에 따라 (염증, 출혈, 부기 등) 가능성이 있습니다.사전에 의료진과 충분한 상담을 통해 결정하시길 바랍니다.게시물의 치료 사례는 실제 본원에서 치료를 마친 환자분들의 동의하에촬영되었으며 전, 후 사진은 동일 조건에서 촬영되었습니다. |
#미사역치과 #앞니충치레진