안녕하세요~
디지털 진료로 정확성을 높이는
서울바르디치과 대표원장 장태현입니다.
저희 병원은 케이스가 큰
전악 치료가 필요하신 환자분들이 많이 오시는데요.
(감사합니다!)
1-2개 치료가 아닌 전반적으로 손을 봐야할 경우
무엇보다도 경험이 많고
고난이도 진료를 많이 본 병원에서 진료를 하셔야합니다
오늘 소개해드릴 환자분도 위 아래 13개의 임플란트를 심으셨습니다.
전체 치아의 개수가 28개니까
절반 가까이를 임플란트로 심으신거죠~
전체적인 치아 치료 13개의 임플란트를 식립한 환자분
오늘의 매직쇼 시작합니다!

치아가 심각해요

240430
전반적으로 손을 봐야할 것 같다며
내원하신 여성 환자분
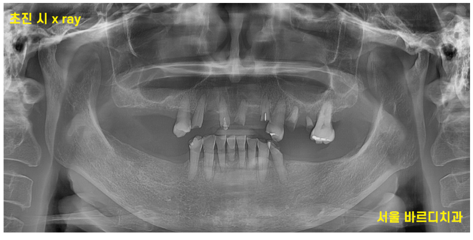
초진 내원 시 찍은 파노라마 사진입니다.
한눈에보기에도 치아가 부러지고
몇개 안남아 있죠~?

230817

230817
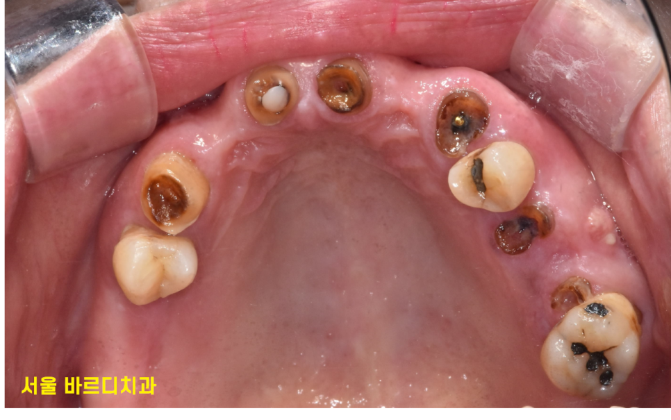
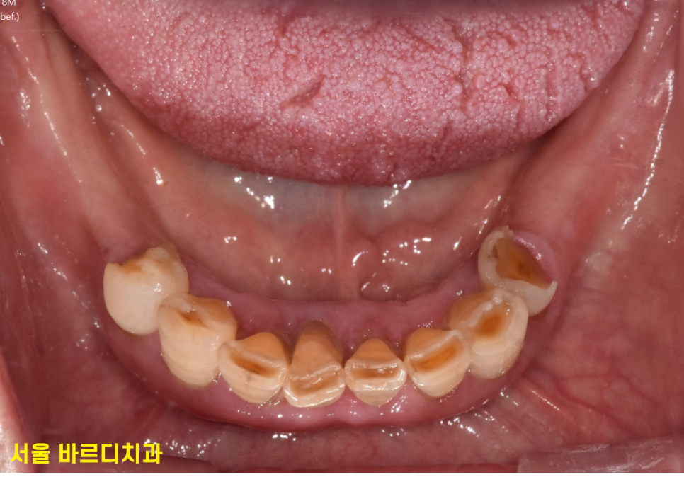
실제 구강은 이런 모습입니다.
전체적인 치아 치료 수준은 어느정도이냐!
상태들이 안좋아 이를 거의 다 뽑아야하는 정도입니다.
전악 치료라는 거죠~
오늘 환자분처럼 치아 곳곳에 충치가 심해 구멍이 뚫리고
뿌리만 남고 이미 상실된 치아도 많은 경우죠~
전체적인 치아 치료가 필요할 경우 진단 과정에서
살릴 수 있는 치아와 없는 치아를 분리하게 됩니다.
< 진단 과정 >

230904
치아가 남아 있어도
x-ray를 찍어보면 잇몸뼈가 다 녹아
허공에 떠있습니다.
이런 경우는 발치가 필요하고요~

230902
뿌리가 튼튼하고
잇몸 뼈가 녹지 않아 흔들리지 않는 경우는
살릴 수 있습니다.

230817
ct도 찍어 남아있는 잇몸 뼈를 분석
예후를 예측하여 몇개를 뽑고
임플란트가 필요할지
전체적인 치아 치료 진단을 진행합니다.

230817
자연 치아 내 본연의 이는 6개를 남기고
안좋은 치아는 발치
13개의 임플란트가 필요할 것으로 예측되었습니다.
윗니 임플란트 8개
아래 임플란트 5개
환자분께 제 진단을 토대로 상담을 드렸죠~
<높이의 중요성 관련 글>
https://blog.naver.com/implant_master/223621857868
예전에도 위아래 수직 고경을 설정하는게 중요하다
말씀 드렸는데요.
이를 전체적으로 뽑고
위아래 전체 치아 치료를 들어가는 환자분들은
이 높이가 무너져있는 경우가 많습니다.
워낙 안좋은 상태로 오래 방치하기도 하였고
이를 뽑고 바로 치료하지 않는 경우가 많아 그렇습니다.


231010
이럴 경우 갑자기 높이를 올려주면
턱이 아프다거나 문제가 있을 수 있어
오늘 환자분도 이를 뽑고 임시틀니를 만들어
높이를 서서히 맞춰나가는 작업 부터 진행하였습니다
기다리시는 동안 치료할 수 있는 앞니부터 치료하였고요.
< 수술 당일 >

231018
치료 기간을 단축하기 위해
위아래 13개의 임플란트는 하루에 식립하였습니다.
미리 내비게이션 임플란트 수술 방식으로
예측하였기 때문에
개수가 많아도 하루에 모두 식립이 가능하였습니다.
< 보철 인상채득>

231222
시간이 흘러 보철 제작을 위한 날이 되었습니다.
어금니가 없기 때문에 높이를
2단계에 걸쳐 회복해주고

240117
맞춤형 기둥을 사용
임플란트와 보철을 연결해주는 기둥을 제작하였습니다.
그리고 기둥 위에 보철을 끼워주면,,?

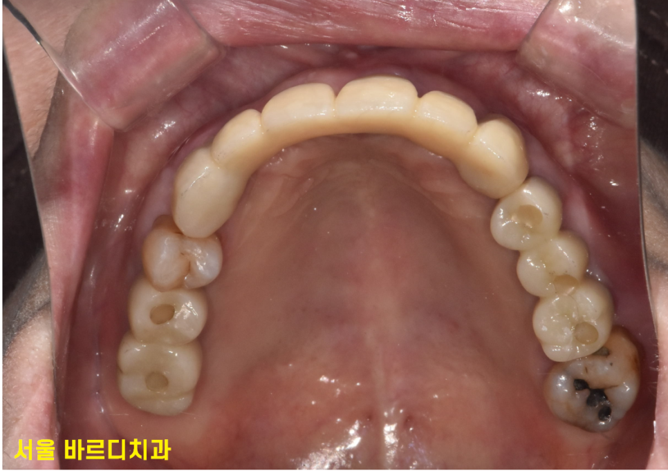
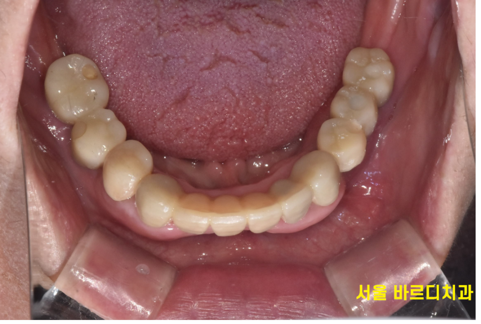
240430

240430
13개의 임플란트 식립 후
전체적인 치아 치료 완료된 사진입니다.
맨 처음 상태가 기억나지 않을 정도이시죠~?

240430
없던 치아가 생겨
씹는 느낌이 새롭다는 환자분 말씀이 기억납니다.
오늘 환자분처럼 치아가 심각하여
전체적으로 고쳐야한다.
의느님의 손을 거쳐 손을 보셔야한다면
예약 후 내원 부탁드립니다.
디지털 임플란트 수술로 정확도를 높여
소개 환자 70% 이상의 서울 바르디치과 대표원장 장태현이었습니다!
<예약 하러 가기>
서울바르디치과의원 - 네이버 지도
.
| 본 게시물은 의료광고 법 제56조 1항을 준수하여의료 정보 제공 및 병원 홍보 목적으로 서울 바르디 치과에서 직접 작성하였습니다.제공된 정보는 참고만 하실 것을 권유 드리며 증상 파악 및 정확한 관리 방법은 의료기관에 내원 후 의료진을 통해 안내받으시길 바랍니다.치과에서 진행되는 모든 시술 / 수술은 개인에 따라 (염증, 출혈, 부기 등) 가능성이 있습니다.사전에 의료진과 충분한 상담을 통해 결정하시길 바랍니다.게시물의 치료 사례는 실제 본원에서 치료를 마친 환자분들의 동의하에촬영되었으며 전, 후 사진은 동일 조건에서 촬영되었습니다. |
#전체적인치아치료