안녕하세요!
서울바르디치과 장태현 원장입니다.
중년의 환자분들이 가장 많이 호소하시는 불편감
"음식물이 끼어서 미치겠어요!"
식사할 때마다껴서 여간 불편한게 아니라고
잇몸을 막아달라고 까지 표현하시는데요.
음식물 낀 것을 제거하기 위하여 손쉽게 이쑤시개를 사용하곤 합니다.
식당에서도 결제하고 나갈 때 쉽게 볼 수 있죠~
그렇지만 이쑤시개 사용 멈춰!!!
음식물 끼임, 이쑤시개 사용하면 안 되는 이유
말씀 드릴께요~!!

상담실에서 1:1 교육 해드립니다 ^^
식사 후 음식물이 치아 사이에 끼어 불편한 경험,
누구나 한 번쯤 겪어보셨을 겁니다.
저도 유독 잘끼는 부분이 있기도 하고요.
이럴 때 많은 분들이 손쉽게 이쑤시개를 사용하곤 합니다.
"요지"라고 하기도 부르기도 하죠 ^^
이쑤시개를 사용했다가 오히려 더 음식물이 낄 수도 있답니다!!
오늘은 음식물 끼임의 원인과 함께,
왜 이쑤시개 사용을 피해야 하는지,
그리고 대안은 무엇인지 알려드리겠습니다.
음식물 끼임의 주요 원인

240226
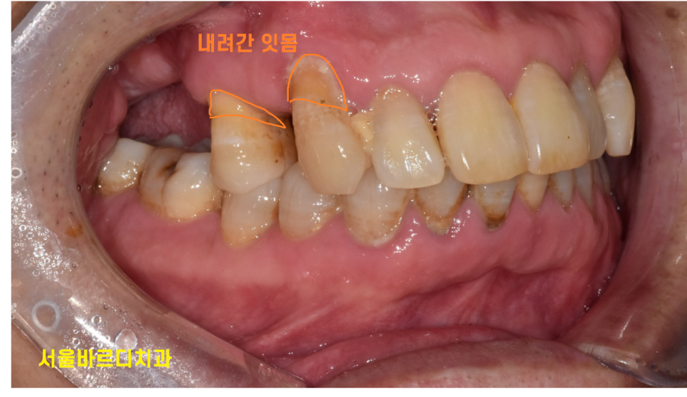
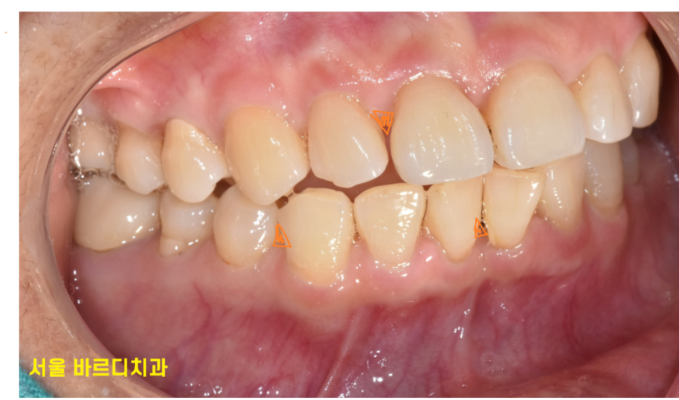
1)치아와 잇몸 사이의 공간
치아와 잇몸 사이에 틈이 생겨 음식물이 끼기 쉽습니다.
잇몸이 내려가면서
치아와 잇몸 사이 공간에 틈이 커지기도 하고요~
- 노화로 인한 잇몸 내려감
젊었을 때는 안그랬는데...
나이들고 더 껴요!! 불편함을 호소하시는데요.
맞는 말씀입니다~~
노화로 인해 치아가 조금씩 이동하거나
잇몸이 약해지면서 간격이 벌어져 음식물이 더 자주 끼게 됩니다!
슬픈 일이죠,,,ㅠㅠ

231030
치아가 길어보이는 것도 잇몸이 내려가
치아 뿌리가 드러나면서 그렇습니다!!
- 충치 또는 보철물의 문제
충치가 생겨 치아 표면을 갉아먹으면
구멍이 생깁니다.
그러다보니 자연스럽게 음식물이 낄 수도 있고
잘 맞지않는 보철물을 사용하다보면
음식물이 잘 끼는 환경을 만들 수 있습니다!

이쑤시개 사용, 왜 안 될까요?
음식물이 낀 상태가 불편해 이쑤시개를 사용하는 분들이 많습니다.
하지만 이는 치아 건강에 큰 문제를 일으킬 수 있습니다.
치과의사분들이 가장 싫어하는 것중 하나가 이쑤시개인데요~
잇몸 손상을 일으키기 때문이죠ㅠㅠ
이쑤시개는 뾰족하고 단단한 나무 재질로 되어 있어,
사용 시 잇몸을 찌르거나 상처를 낼 가능성이 큽니다.
음식물이 잘 안나오면 나올때까지
잇몸을 후비게 되고
상처가 생깁니다.
또한 음식물 끼임으로 이쑤시개를 쓰다가
치아 사이 공간 더 커집니다.
반복적으로 이쑤시개를 사용하면
치아와 치아 사이의 틈이 더 벌어질 수 있습니다.
이는 음식물 끼임을 더욱 악화시키는 악순환이 반복되게 됩니다.
그 외에도 치아 표면을 긁게되니까 치아를 닳게할 수 있고
여러 이유로 이쑤시개는 추천드리지 않습니다!
음식물 끼임 이렇게 대처하세요!!
불편한거 압니다~
칫솔질로는 치아 사이 부분까지 칫솔모가 들어가지 않습니다~
치아 사이 사이를 관리하기 위해서는
2가지 용품을 추천드리는데요.
치실과 치간칫솔입니다.
서울바르디치과에서는 스케일링 후 용품 사용법을 알려드리고 있으니
꼭! 알맞은 도구를 사용해주세요!!


240122
특히나 치아 사이 공간이 넓으면 치간 칫솔을 사용해주시고요~
미니 칫솔같은겁니다.
치아 사이 공간이 좁다!
치실을 사용해주세요~
요즘은 톱질 하듯 사용하는 치실도 있고
쉽게 치실 사용법을 알려드리니
치실은 꼭! 쓰시는게 좋습니다.
사이 충치 예방하는데에도 도움이 되거든요~
중년분들은 치실보다는 치간 칫솔이 적합하십니다.
상대적으로 잇몸 사이 간격이 넓기 때문에~
요약
음식물 끼임은 사소해 보이지만
치아와 잇몸 건강에 큰 영향을 미칠 수 있습니다.
이를 해결하기 위해 손쉽게 이쑤시개를 사용하지 말자!!
치실이나 치간칫솔을 사용하자!!
점검 받으시면서
사용법도 배워가시는걸 강추! 드리겠습니다.
감사합니다.
| 본 게시물은 의료광고 법 제56조 1항을 준수하여의료 정보 제공 및 병원 홍보 목적으로 서울 바르디 치과에서 직접 작성하였습니다.제공된 정보는 참고만 하실 것을 권유 드리며 증상 파악 및 정확한 관리 방법은 의료기관에 내원 후 의료진을 통해 안내받으시길 바랍니다.치과에서 진행되는 모든 시술 / 수술은 개인에 따라 (염증, 출혈, 부기 등) 가능성이 있습니다.사전에 의료진과 충분한 상담을 통해 결정하시길 바랍니다.게시물의 치료 사례는 실제 본원에서 치료를 마친 환자분들의 동의하에촬영되었으며 전, 후 사진은 동일 조건에서 촬영되었습니다. |
#음식물끼임 #이쑤시개