안녕하세요!
서울바르디치과 장태현 원장입니다.
치아를 살리는 것은 항상 쉽지 않습니다.
그렇지만 자연치아를 살리는것은
몇백만원의 가치가 있다 자부하기 때문에!!
https://blog.naver.com/implant_master/223730962824
1개당 10만원이넘는 재료도 구입하며
어떻게든 살리기 위해 노력하는데요.
저희의 간절함으로 이를 뽑지않고
유지중인 환자분의 이야기입니다.
다른 병원에서 “치아를 뽑고 임플란트를 하자”라는 권유를 받았던 환자분
몇번이나 다시 치료했습니다!!
발치 대신 신경치료 뽑기 전 치료는 한번 해봐야하지않을까요?
3분만 집중해주세요!!!

발치 대신 재신경치료로 살린 케이스

240802
환자분은 치아에 심한 통증과 염증이 있어 내원하셨습니다.
치아도 흔들거리고
좋아보이지 않았습니다.
이미 다른 병원에서는 염증이 너무 심하고 치료가 어렵기 때문에
치아를 발치하고 임플란트를 하자는 진단을 받으셨다고 합니다.
그러나 환자분의 연령은 20대
임플란트가 부담스러우셨고,
자연치아를 최대한 살리고 싶어 저희 병원을 찾으셨습니다.
임플란트의 수명도 8-10년이라
40대가 되기전 교체할 수도 있다는 생각에
어떻게든 다시 치료해보고 싶으셨대요~
https://blog.naver.com/implant_master/223663436689
저희 병원에서는 치아를 뽑는 것을 최후의 수단으로 생각합니다.
뽑으면 없어지는 것이니까요..

240802
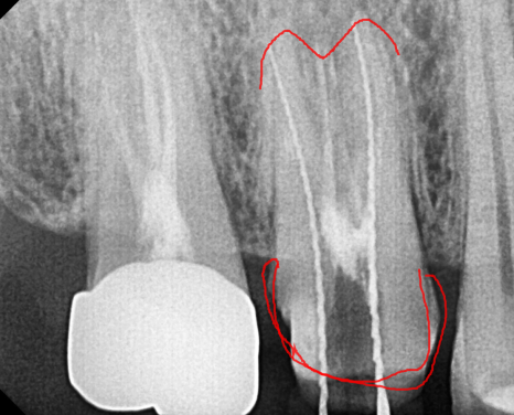
3D ct 등을 통해 정밀한 검사를 진행한 결과,
치아 뿌리 주변의 염증으로 한쪽 뼈를 녹였네요.
이미 치료가 다 되어있는 것이라
와...이거 ..살리기 가능할까?
솔직히 이런 심정도 들었습니다.
1-2번 내원이 아닌
염증이 제거될 때까지 방문을 하다보니
내원 횟수를 장담 못했거든요~
1달..2달
치료가 계속 길어질 수 있는 상황
환자분 연령이 20대라 고민이 되었고..
ct 상 한쪽 뼈만 녹아있는 상황이라
반대편 뼈에 기대해보면서
그래,,, 뽑기 전에 치료나 해보고 뽑자
정말 염증이 제거되지 않으면
그때 뽑아도 늦지 않다. 결심
치료를 시작해보았죠.
이 과정에서 환자분이 대학병원까지 갔다가
임플란트도 고민해보시다가...
치료를 들어가게 된 극적인 케이스...
발치 대신 신경치료

240902
이미 치료한 치아이다보니
염증을 제거하기 위해서는 첫번째 단계
보철을 제거해야합니다.
그리고 기존에 충전된 재료를 제거해야하죠.

240816
예전에 신경치료를 할 때
신경을 제거 후 치료를 마무리 하면서
하얀 재료로 세균이 침투되지 않게 밀봉을 해놓는데요.
이 재료를 제거


240903
치아 뿌리의 길이를 재고
감염된 조직과 염증을 계속 소독해줍니다.
약물을 사용해 농이 빠져 나올 수 있게 해주는거죠~
치아 제일 깊숙한 부분에 신경이 위치하다보니
보이지도 않고
참 어려운 치료가 신경치료입니다.
그래도 가장 큰 장점
발치를 피해도 된다.
내 치아를 최대한 살린다!!
그리고 무한 반복된 세척과정

240927
치료 시작 한달뒤

241028
두달 뒤

241116
세달 뒤
한 치아를 살리기 위해
3달을 투자
염증이 제거가 되고 있는지
지속적으로 체크했습니다.

241126
3달이 지나서 다시 하얀색 재료를 채워 넣는 것으로
치료를 마무리했습니다.
x-ray를 봐서는
염증이 없어진건지 잘 모르시겠죠~?
변화가 된 모습만 비교해드릴께요~

뿌리 절반 이상 염증들이
3달의 치료과정을 통해
손톱만큼 줄어들었습니다.
일반적인 신경치료 후에는 보철을 씌워
치아를 보호해주어야합니다.
치아가 부러지거나 약해지지 않도록요!
환자분은 뼈가 차고 있는지
지속 확인이 필요했습니다.
치료가 끝났어도 안심할 단계가 아니다.
6개월정도 더 지켜보자 말씀드렸죠.

250116
발치 대신 신경치료
치료 시작 9개월 뒤
이제 뿌리 끝 까만 부분
거의 보이지 않습니다.
염증이 남아있으면 제대로 뼈가 차지 않는대요.
깨끗하게 염증이 없어졌기 때문에
까맣게 녹아 버린 뼈가
다시 하얗게 채워진 모습을 볼 수있네요~

240116
치료를 마친 후 환자분은 더 이상 통증을 느끼지 않으셨고,
문제의 치아는 정상적인 저작 기능을 되찾았습니다.
무엇보다 환자분께서 “자연치아를 유지하게 되어 정말 다행이다”라고 말씀하시며
만족감을 표현해 주셨습니다.
치료가 성공할 수 있었던 요인으로는 3가지가 있겠네요.
mta와 같은 최신 재료의 사용
환자분의 예약 날짜마다 꾸준한 내원
끝까지 포기하지 않은 저의 노력,,,? ㅎㅎ
오늘도 다짐합니다.
발치하기 전 다시 생각해보자
뽑으면 끝이다!!!
발치 대신 신경치료
치료도 해보기도전
아.. 이건 어려울 것 같다 판단한 저를 반성하면서
어떻게든 치아를 보존하기 위해
방법을 찾겠습니다.
해보기 전 함부로 말하지 않겠습니다.
감사합니다!!
| 본 게시물은 의료광고 법 제56조 1항을 준수하여의료 정보 제공 및 병원 홍보 목적으로 서울 바르디 치과에서 직접 작성하였습니다.제공된 정보는 참고만 하실 것을 권유 드리며 증상 파악 및 정확한 관리 방법은 의료기관에 내원 후 의료진을 통해 안내받으시길 바랍니다.치과에서 진행되는 모든 시술 / 수술은 개인에 따라 (염증, 출혈, 부기 등) 가능성이 있습니다.사전에 의료진과 충분한 상담을 통해 결정하시길 바랍니다.게시물의 치료 사례는 실제 본원에서 치료를 마친 환자분들의 동의하에촬영되었으며 전, 후 사진은 동일 조건에서 촬영되었습니다. |
#발치대신신경치료